| UNIPROT | Q14563 |
| Иммуноген | RPL917Hu01-Recombinant Semaphorin 3A (SEMA3A) |
Monoclonal Antibody to Semaphorin 3A (SEMA3A) (MAL917Hu22)
Реактивность подтвержденная:
человек
Источник (хозяин):
мышь
Валидировано для:
ICC
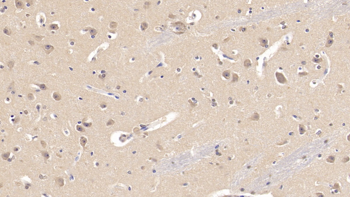
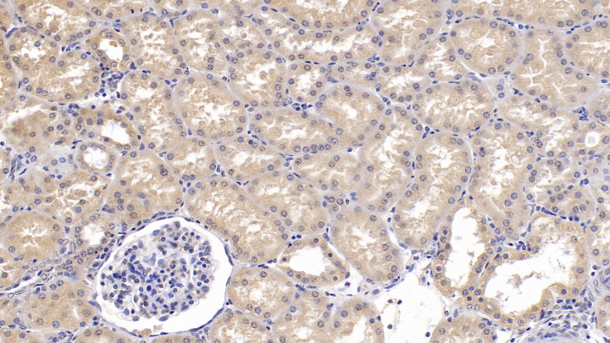
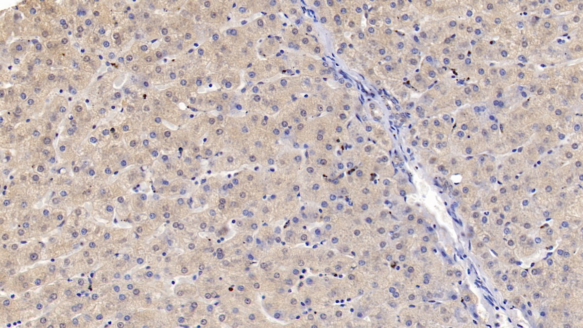
IHC
WB
Характеристики
Техническое описание
| Русское название | MAL917Hu22 Моноклональное антитело к SEMA3A (человек) <Cloud-Clone,Китай> |
| Каталожный номер | MAL917Hu22 |
| Название антигена | Semaphorin 3A (SEMA3A) |
| UNIPROT | Q14563 |
| Иммуноген | RPL917Hu01-Recombinant Semaphorin 3A (SEMA3A) |
| Английские синонимы | SEMAL, Hsema-I, Hsema-III, SEMA1, SEMAD, SEMAIII, SemD, Coll-1, Sema Domain,Immunoglobulin Domain(Ig),Transmembrane Domain(TM)and Short Cytoplasmic Domain 3A |
Реактивность подтвержденная Нужна другая реактивность? |
человек |
| Источник (хозяин) | мышь |
| Изотип | IgG2b Kappa |
| Клональность | моноклональное |
| Клон | C1 |
| Рекомбинантное | нет |
| Готовое к использованию | нет |
| Концентрация | 1 мг/мл |
| Конъюгат | По запросу: HRP, biotin, PerCP, PE, Cy3, FITC, Cy7, Cy5.5, PE-Cy5, PE-Cy7, PerCp-Cy5.5, APC, Cy5, PE-Cy3, PE-Cy5.5, APC-Cy7, Biotin-APC, FITC-Biotin, TRITC, APC-Cy5, AF488, AF594, AF405, AF555, AF700, AF647, AF750 |
| Валидировано для | ICC IHC WB Иммуноцитохимия; Иммуногистохимия; Вестерн-блоттинг |
| Рекомендуемые разведения | WB: 0.5-2 мкг/мл; IHC: 5-20 мкг/мл; ICC: 5-20 мкг/мл; Оптимальное разведение определяется конечным потребителем |
| Метод очистки | Аффинная хроматография с белком А и белком G |
| Состав буфера | 0.01M PBS, pH7.4, 0.05% Proclin-300, 50% глицерин |
| Условия доставки | термобокс с аккумуляторами холода |
| Условия хранения | Сразу после получения аликвотировать и хранить при -20ºС до 24 месяцев. Для частого использования хранить при +4ºС не более 2 недель. Избегать повторения циклов замерзания/оттаивания |
| Срок хранения | 24 месяца |
| Производитель | Cloud-Clone Corp. |
| Ссылка на страницу товара на сайте производителя | http://www.cloud-clone.com/products/MAL917Hu22.html |
|
Артикул
|
Наименование |
Производитель
|
|---|
|
Артикул
|
Наименование |
Производитель
|
|---|
|
Артикул
|
Наименование |
Производитель
|
|---|
|
Артикул
|
Наименование |
Производитель
|
|---|
|
Артикул
|
Наименование |
Производитель
|
|---|
Акции и предложения
Популярные продукты:
Rat Endoribonuclease Dicer ELISA Kit (E02D0330)
Организм: крыса
Mouse Adenosyl homocysteinase(AHCY) ELISA kit (E03A1332)
Организм: мышь
Sheep Ankycorbin(RAI14) ELISA kit (E14A1948)
Организм: овца
Rabbit Antigen peptide transporter 2(TAP2) ELISA kit (E04A2005)
Организм: кролик
Sheep CytokeRatin Fragment Antigen 21.1 ELISA kit (E14C0010)
Организм: овца

