| UNIPROT | Q13501 |
| Иммуноген | RPD198Hu01-Recombinant Sequestosome 1 (SQSTM1) |
Monoclonal Antibody to Sequestosome 1 (SQSTM1) (MAD198Hu21)
Реактивность подтвержденная:
человек
Источник (хозяин):
мышь
Валидировано для:
IHC
WB
Характеристики
Техническое описание
| Русское название | MAD198Hu21 Моноклональное антитело к SQSTM1 (человек) <Cloud-Clone,Китай> |
| Каталожный номер | MAD198Hu21 |
| Название антигена | Sequestosome 1 (SQSTM1) |
| UNIPROT | Q13501 |
| Иммуноген | RPD198Hu01-Recombinant Sequestosome 1 (SQSTM1) |
| Английские синонимы | OSIL, PDB3, ZIP3, p62, p62B, p60, A170, Paget Disease Of Bone 3, Oxidative Stress Induced Like, EBI3-associated protein of 60 kDa, Ubiquitin-binding protein p62 |
Реактивность подтвержденная Нужна другая реактивность? |
человек |
| Реактивность предсказываемая | свинья |
| Источник (хозяин) | мышь |
| Изотип | IgG3 Kappa |
| Клональность | моноклональное |
| Клон | D19 |
| Рекомбинантное | нет |
| Готовое к использованию | нет |
| Концентрация | 1 мг/мл |
| Конъюгат | По запросу: HRP, biotin, PerCP, PE, Cy3, FITC, Cy7, Cy5.5, PE-Cy5, PE-Cy7, PerCp-Cy5.5, APC, Cy5, PE-Cy3, PE-Cy5.5, APC-Cy7, Biotin-APC, FITC-Biotin, TRITC, APC-Cy5, AF488, AF594, AF405, AF555, AF700, AF647, AF750 |
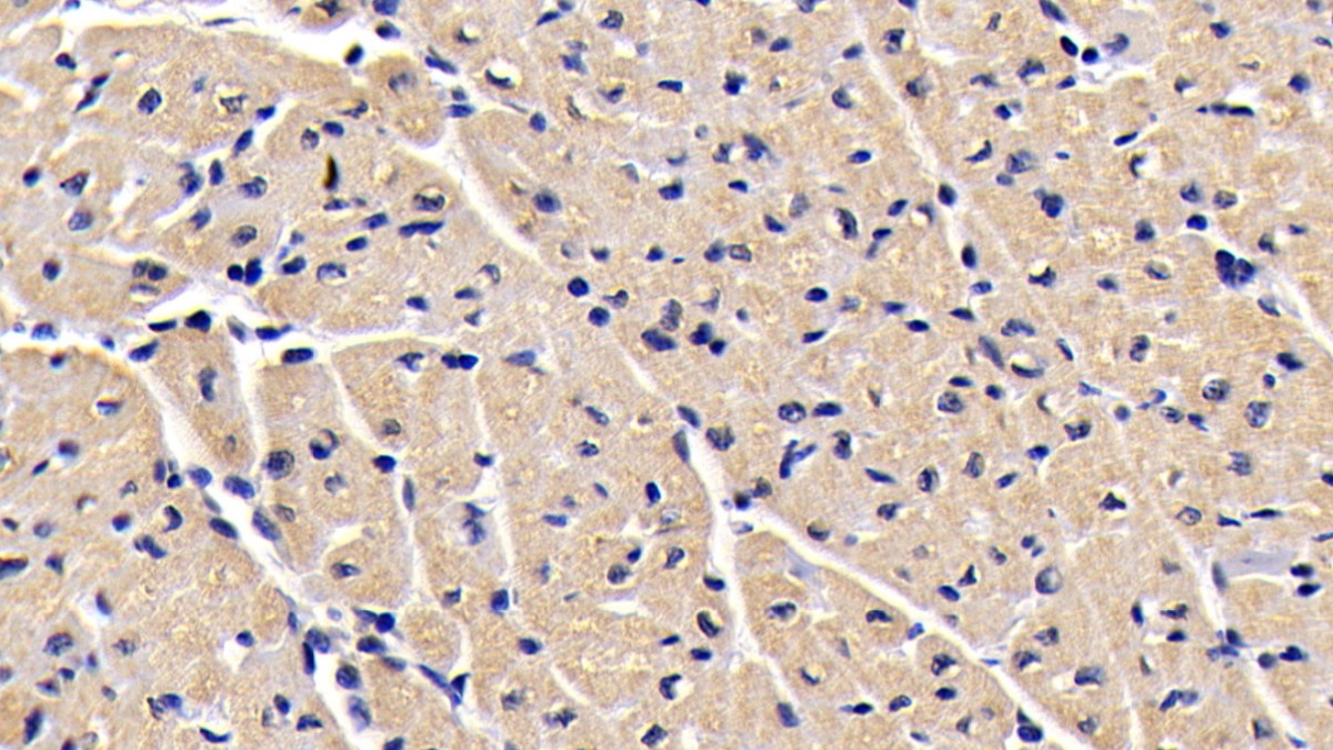
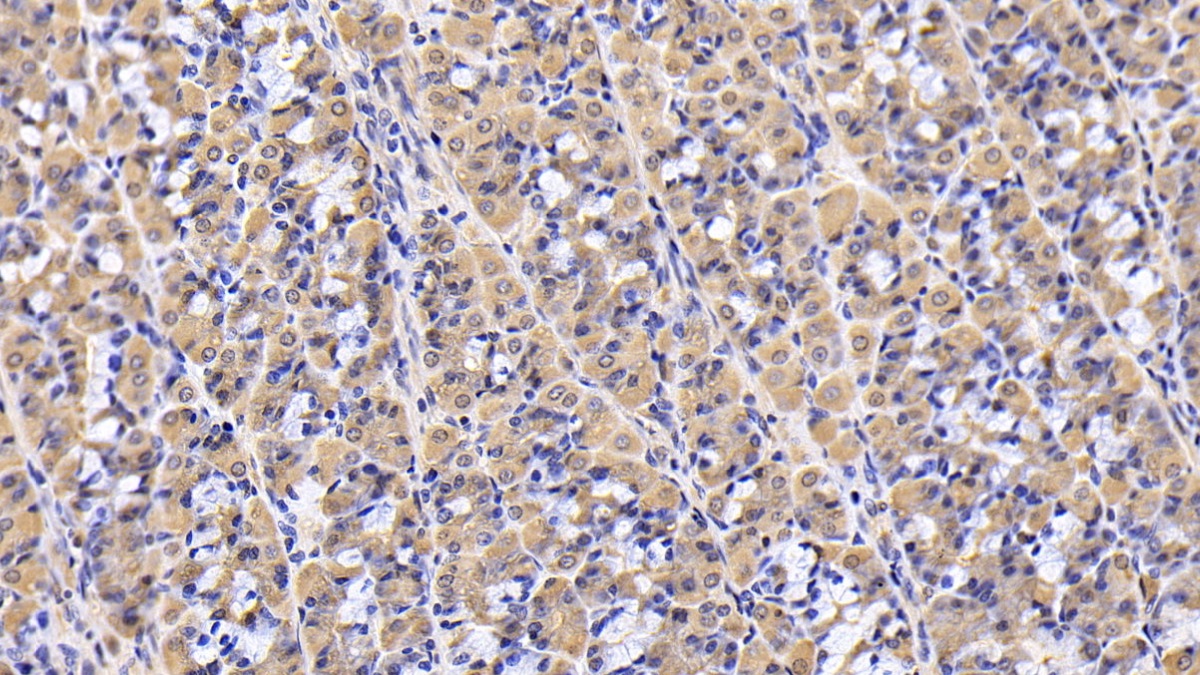
| Валидировано для | IHC WB Иммуногистохимия; Вестерн-блоттинг |
| Рекомендуемые разведения | WB: 0.01-2 мкг/мл; IHC: 5-20 мкг/мл; ICC: 5-20 мкг/мл; Оптимальное разведение определяется конечным потребителем |
| Метод очистки | Аффинная хроматография с белком А и белком G |
| Состав буфера | PBS, pH7.4, 0.02% NaN3, 50% глицерин |
| Условия доставки | термобокс с аккумуляторами холода |
| Условия хранения | Сразу после получения аликвотировать и хранить при -20ºС до 24 месяцев. Для частого использования хранить при +4ºС не более 2 недель. Избегать повторения циклов замерзания/оттаивания |
| Срок хранения | 24 месяца |
| Производитель | Cloud-Clone Corp. |
| Ссылка на страницу товара на сайте производителя | http://www.cloud-clone.com/products/MAD198Hu21.html |
|
Артикул
|
Наименование |
Производитель
|
|---|
|
Артикул
|
Наименование |
Производитель
|
|---|
|
Артикул
|
Наименование |
Производитель
|
|---|
|
Артикул
|
Наименование |
Производитель
|
|---|
|
Артикул
|
Наименование |
Производитель
|
|---|
|
Артикул
|
Наименование |
Производитель
|
|---|
Акции и предложения
Популярные продукты:
Guinea Pig G protein coupled receptor 4(GPR4) ELISA kit (E05G0439)
Организм: морская свинка
Anti-GYS1 Antibody (R3D48) (RHD01606)
Источник (хозяин): мышь
Реактивность подтвержденная: человек
Валидировано для: ELISA, FCM, WB
Реактивность подтвержденная: человек
Валидировано для: ELISA, FCM, WB
PSG3 Antibody (DF10179)
Источник (хозяин): кролик
Реактивность подтвержденная: человек, мышь
Валидировано для: IHC, WB, IF, ICC
Реактивность подтвержденная: человек, мышь
Валидировано для: IHC, WB, IF, ICC
Multiplex Assay Kit for Factor Related Apoptosis (FAS) (LMA030Mu)
Организм: мышь
Диапазон определения: 1.95-2000 пг/мл
Чувствительность: 0.65 пг/мл
Диапазон определения: 1.95-2000 пг/мл
Чувствительность: 0.65 пг/мл
Monoclonal Antibody to Galactosidase Alpha (GLa) (MAA183Hu25)
Источник (хозяин): мышь
Реактивность подтвержденная: человек
Валидировано для: IHC, WB
Реактивность подтвержденная: человек
Валидировано для: IHC, WB
Monoclonal Antibody to Galactosidase Alpha (GLa) (MAA183Hu22)
Источник (хозяин): мышь
Реактивность подтвержденная: человек
Валидировано для: IHC, WB
Реактивность подтвержденная: человек
Валидировано для: IHC, WB

