| UNIPROT | Q9UK55 |
| Иммуноген | RPC010Hu01-Recombinant Serpin A10 (SERPINA10) |
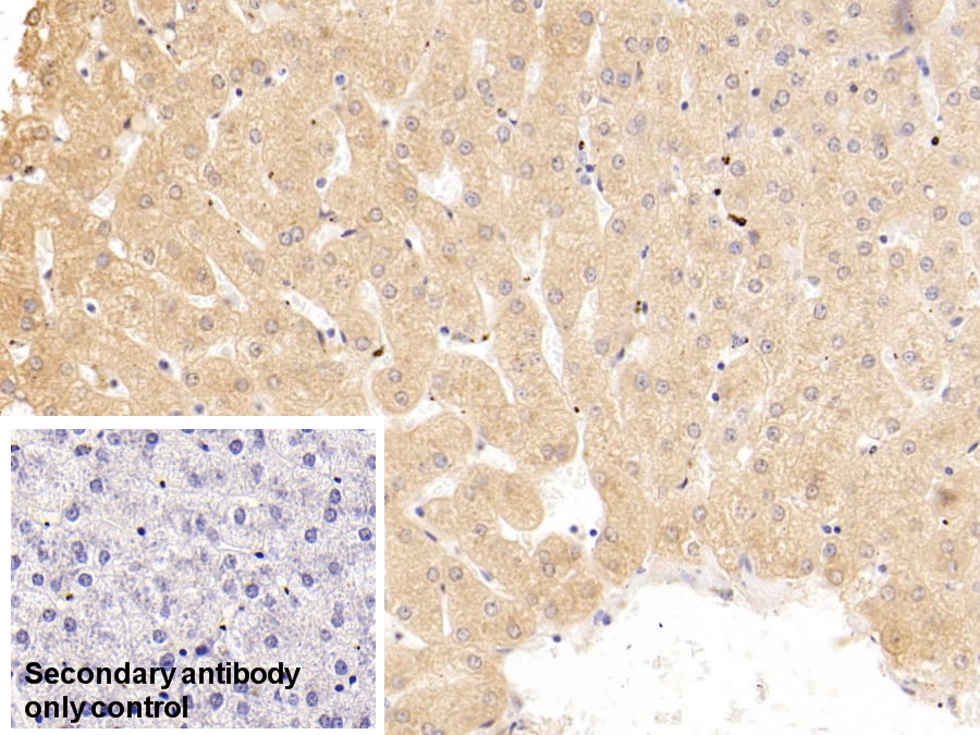
Monoclonal Antibody to Serpin A10 (SERPINA10) (MAC010Hu22)
Реактивность подтвержденная:
человек
Источник (хозяин):
мышь
Валидировано для:
IHC
WB
Характеристики
Техническое описание
| Русское название | MAC010Hu22 Моноклональное антитело к SERPINA10 (человек) <Cloud-Clone,Китай> |
| Каталожный номер | MAC010Hu22 |
| Название антигена | Protein Z Dependent Protease Inhibitor (ZPI) |
| UNIPROT | Q9UK55 |
| Иммуноген | RPC010Hu01-Recombinant Serpin A10 (SERPINA10) |
| Английские синонимы | PZI, SERPINA10, Serine(Cysteine)Proteinase Inhibitor,Clade A(Alpha-1 Antiproteinase,Antitrypsin)Member 10, Protein Z-Related Protease Inhibitor |
Реактивность подтвержденная Нужна другая реактивность? |
человек |
| Реактивность предсказываемая | крыса, свинья |
| Источник (хозяин) | мышь |
| Изотип | IgG2a Kappa |
| Клональность | моноклональное |
| Клон | C4 |
| Рекомбинантное | нет |
| Готовое к использованию | нет |
| Концентрация | 1 мг/мл |
| Конъюгат | По запросу: HRP, biotin, PerCP, PE, Cy3, FITC, Cy7, Cy5.5, PE-Cy5, PE-Cy7, PerCp-Cy5.5, APC, Cy5, PE-Cy3, PE-Cy5.5, APC-Cy7, Biotin-APC, FITC-Biotin, TRITC, APC-Cy5, AF488, AF594, AF405, AF555, AF700, AF647, AF750 |
| Валидировано для | IHC WB Иммуногистохимия; Вестерн-блоттинг |
| Рекомендуемые разведения | WB: 0.01-2 мкг/мл; IHC: 5-20 мкг/мл; Оптимальное разведение определяется конечным потребителем |
| Метод очистки | Аффинная хроматография с белком А и белком G |
| Состав буфера | 0.01M PBS, pH7.4, 0.05% Proclin-300, 50% глицерин |
| Условия доставки | термобокс с аккумуляторами холода |
| Условия хранения | Сразу после получения аликвотировать и хранить при -20ºС до 24 месяцев. Для частого использования хранить при +4ºС не более 2 недель. Избегать повторения циклов замерзания/оттаивания |
| Срок хранения | 24 месяца |
| Производитель | Cloud-Clone Corp. |
| Ссылка на страницу товара на сайте производителя | http://www.cloud-clone.com/products/MAC010Hu22.html |
|
Артикул
|
Наименование |
Производитель
|
|---|
|
Артикул
|
Наименование |
Производитель
|
|---|
|
Артикул
|
Наименование |
Производитель
|
|---|
|
Артикул
|
Наименование |
Производитель
|
|---|
Акции и предложения
Популярные продукты:
Monoclonal Antibody to Serpin A10 (SERPINA10) (MAC010Hu24)
Источник (хозяин): мышь
Реактивность подтвержденная: человек
Валидировано для: WB
Реактивность подтвержденная: человек
Валидировано для: WB
Monoclonal Antibody to Casein Alpha (CSN1) (MAJ333Bo23)
Источник (хозяин): мышь
Реактивность подтвержденная: корова
Валидировано для: WB
Реактивность подтвержденная: корова
Валидировано для: WB
Canine UMP CMP kinase(CMPK1) ELISA kit (E08U0036)
Организм: собака
Rat Zonadhesin ELISA kit (E02Z0050)
Организм: крыса
Human Zonadhesin ELISA kit (E01Z0050)
Организм: человек
Canine Cyclin G2(CCNG2) ELISA kit (E08C1158)
Организм: собака

