| UNIPROT | Q9BYH9 |
| Иммуноген | RPB372Hu01-Recombinant Serpin B3 (SERPINB3) |
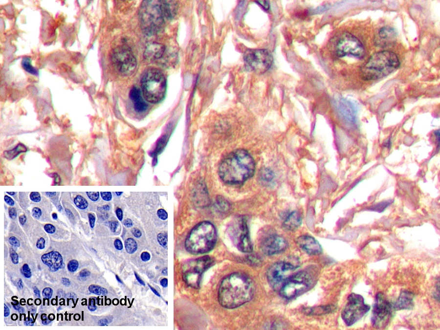
Monoclonal Antibody to Serpin B3 (SERPINB3) (MAB372Hu24)
Реактивность подтвержденная:
человек
Источник (хозяин):
мышь
Валидировано для:
IHC
WB
Характеристики
Техническое описание
| Русское название | MAB372Hu24 Моноклональное антитело к SERPINB3 (человек) <Cloud-Clone,Китай> |
| Каталожный номер | MAB372Hu24 |
| Название антигена | Squamous Cell Carcinoma Antigen 1 (SCCA1) |
| UNIPROT | Q9BYH9 |
| Иммуноген | RPB372Hu01-Recombinant Serpin B3 (SERPINB3) |
| Английские синонимы | SERPINB3, T4-A, Serpin Peptidase Inhibitor,Clade B(ovalbumin),Member 3, Serpin B3 |
Реактивность подтвержденная Нужна другая реактивность? |
человек |
| Источник (хозяин) | мышь |
| Изотип | IgG2b Kappa |
| Клональность | моноклональное |
| Клон | C1 |
| Рекомбинантное | нет |
| Готовое к использованию | нет |
| Концентрация | 1 мг/мл |
| Конъюгат | По запросу: HRP, biotin, PerCP, PE, Cy3, FITC, Cy7, Cy5.5, PE-Cy5, PE-Cy7, PerCp-Cy5.5, APC, Cy5, PE-Cy3, PE-Cy5.5, APC-Cy7, Biotin-APC, FITC-Biotin, TRITC, APC-Cy5, AF488, AF594, AF405, AF555, AF700, AF647, AF750 |
| Валидировано для | IHC WB Иммуногистохимия; Вестерн-блоттинг |
| Рекомендуемые разведения | WB: 0.01-2 мкг/мл; IHC: 5-20 мкг/мл; Оптимальное разведение определяется конечным потребителем |
| Метод очистки | Аффинная хроматография с белком А и белком G |
| Состав буфера | 0.01M PBS, pH7.4, 0.05% Proclin-300, 50% глицерин |
| Условия доставки | термобокс с аккумуляторами холода |
| Условия хранения | Сразу после получения аликвотировать и хранить при -20ºС до 24 месяцев. Для частого использования хранить при +4ºС не более 2 недель. Избегать повторения циклов замерзания/оттаивания |
| Срок хранения | 24 месяца |
| Производитель | Cloud-Clone Corp. |
| Ссылка на страницу товара на сайте производителя | http://www.cloud-clone.com/products/MAB372Hu24.html |
|
Артикул
|
Наименование |
Производитель
|
|---|
|
Артикул
|
Наименование |
Производитель
|
|---|
|
Артикул
|
Наименование |
Производитель
|
|---|
Акции и предложения
Популярные продукты:
Monoclonal Antibody to Serpin B3 (SERPINB3) (MAB372Hu25)
Источник (хозяин): мышь
Реактивность подтвержденная: человек
Валидировано для: ICC, IF
Реактивность подтвержденная: человек
Валидировано для: ICC, IF
Monoclonal Antibody to Calreticulin (CALR) (MAB486Ra26)
Источник (хозяин): мышь
Реактивность подтвержденная: крыса
Валидировано для: ICC, IF
Реактивность подтвержденная: крыса
Валидировано для: ICC, IF
Rabbit Hyaluronan Binding Protein 2 ELISA kit (E04H1456)
Организм: кролик
Rabbit Hyaluronan Binding Protein 1 ELISA kit (E04H0035)
Организм: кролик

