| UNIPROT | P0DJI8 |
| Иммуноген | RPA885Hu01-Recombinant Serum Amyloid A (SAA) |
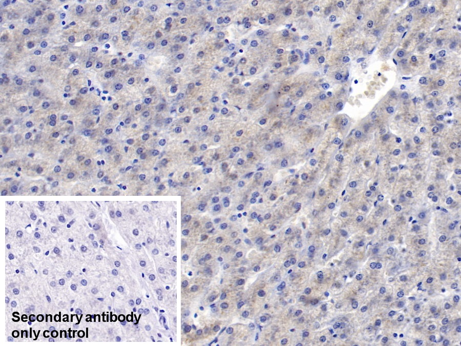
Monoclonal Antibody to Serum Amyloid A (SAA) (MAA885Hu23)
Реактивность подтвержденная:
человек
Источник (хозяин):
мышь
Валидировано для:
IHC
WB
Характеристики
Техническое описание
| Русское название | MAA885Hu23 Моноклональное антитело к SAA (человек) <Cloud-Clone,Китай> |
| Каталожный номер | MAA885Hu23 |
| Название антигена | Serum Amyloid A (SAA) |
| UNIPROT | P0DJI8 |
| Иммуноген | RPA885Hu01-Recombinant Serum Amyloid A (SAA) |
| Английские синонимы | SA-A, SAA1, PIG4, TP53I4, Amyloid protein A, Amyloid fibril protein AA, Serum amyloid A-1 protein |
Реактивность подтвержденная Нужна другая реактивность? |
человек |
| Источник (хозяин) | мышь |
| Изотип | IgG2a Kappa |
| Клональность | моноклональное |
| Клон | D5 |
| Рекомбинантное | нет |
| Готовое к использованию | нет |
| Концентрация | 1 мг/мл |
| Конъюгат | По запросу: HRP, biotin, PerCP, PE, Cy3, FITC, Cy7, Cy5.5, PE-Cy5, PE-Cy7, PerCp-Cy5.5, APC, Cy5, PE-Cy3, PE-Cy5.5, APC-Cy7, Biotin-APC, FITC-Biotin, TRITC, APC-Cy5, AF488, AF594, AF405, AF555, AF700, AF647, AF750 |
| Валидировано для | IHC WB Иммуногистохимия; Вестерн-блоттинг |
| Рекомендуемые разведения | WB: 0.01-2 мкг/мл; IHC: 5-20 мкг/мл; Оптимальное разведение определяется конечным потребителем |
| Метод очистки | Аффинная хроматография с белком А и белком G |
| Состав буфера | 0.01M PBS, pH7.4, 0.05% Proclin-300, 50% глицерин |
| Условия доставки | термобокс с аккумуляторами холода |
| Условия хранения | Сразу после получения аликвотировать и хранить при -20ºС до 24 месяцев. Для частого использования хранить при +4ºС не более 2 недель. Избегать повторения циклов замерзания/оттаивания |
| Срок хранения | 24 месяца |
| Производитель | Cloud-Clone Corp. |
| Ссылка на страницу товара на сайте производителя | http://www.cloud-clone.com/products/MAA885Hu23.html |
|
Артикул
|
Наименование |
Производитель
|
|---|
|
Артикул
|
Наименование |
Производитель
|
|---|
|
Артикул
|
Наименование |
Производитель
|
|---|
|
Артикул
|
Наименование |
Производитель
|
|---|
|
Артикул
|
Наименование |
Производитель
|
|---|
|
Артикул
|
Наименование |
Производитель
|
|---|
|
Артикул
|
Наименование |
Производитель
|
|---|
|
Артикул
|
Наименование |
Производитель
|
|---|
Акции и предложения
Популярные продукты:
Rat E3 estriol ELISA kit (E02E0024)
Организм: крыса
Recombinant Human CD252/TNFSF4 Protein, N-His (YHD58801)
Источник (хозяин): E.coli
Организм: человек
Фрагмент: Gln51-Leu183
Теги: N-His
Биоактивность: нет
Организм: человек
Фрагмент: Gln51-Leu183
Теги: N-His
Биоактивность: нет
Anti-Human CD252/TNFSF4 Antibody (SAA1993), APC (FHD58833)
Источник (хозяин): мышь
Реактивность подтвержденная: человек
Валидировано для: ELISA, FCM
Реактивность подтвержденная: человек
Валидировано для: ELISA, FCM
Monoclonal Antibody to Serum Amyloid A (SAA) (MAA885Eq22)
Источник (хозяин): мышь
Реактивность подтвержденная: лошадь
Валидировано для: ICC, IHC, WB
Реактивность подтвержденная: лошадь
Валидировано для: ICC, IHC, WB
Monoclonal Antibody to Serum Amyloid A (SAA) (MAA885Hu24)
Источник (хозяин): мышь
Реактивность подтвержденная: человек
Валидировано для: IHC, WB
Реактивность подтвержденная: человек
Валидировано для: IHC, WB

