| UNIPROT | P0DJI8 |
| Иммуноген | RPA885Hu01-Recombinant Serum Amyloid A (SAA) |
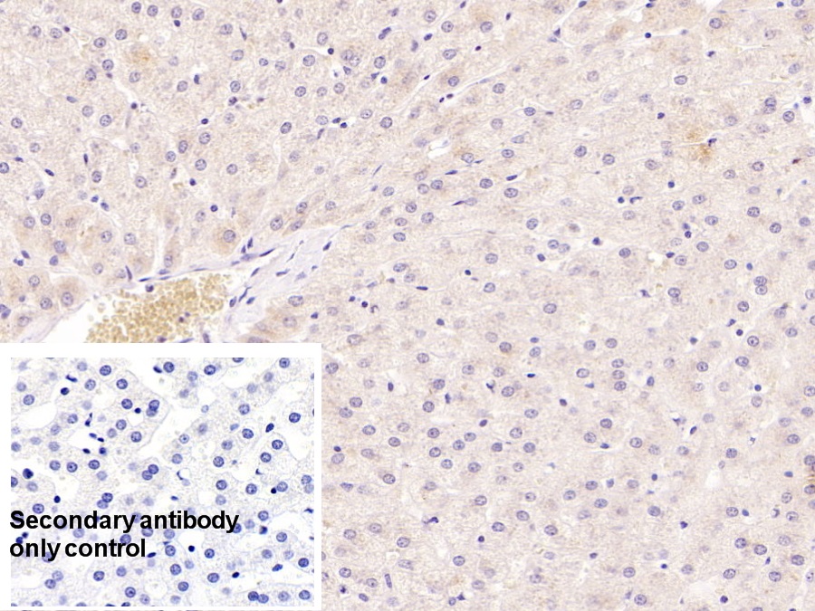
Monoclonal Antibody to Serum Amyloid A (SAA) (MAA885Hu24)
Реактивность подтвержденная:
человек
Источник (хозяин):
мышь
Валидировано для:
IHC
WB
Характеристики
Техническое описание
| Русское название | MAA885Hu24 Моноклональное антитело к SAA (человек) <Cloud-Clone,Китай> |
| Каталожный номер | MAA885Hu24 |
| Название антигена | Serum Amyloid A (SAA) |
| UNIPROT | P0DJI8 |
| Иммуноген | RPA885Hu01-Recombinant Serum Amyloid A (SAA) |
| Английские синонимы | SA-A, SAA1, PIG4, TP53I4, Amyloid protein A, Amyloid fibril protein AA, Serum amyloid A-1 protein |
Реактивность подтвержденная Нужна другая реактивность? |
человек |
| Источник (хозяин) | мышь |
| Изотип | IgG1 Kappa |
| Клональность | моноклональное |
| Клон | E1 |
| Рекомбинантное | нет |
| Готовое к использованию | нет |
| Концентрация | 1 мг/мл |
| Конъюгат | По запросу: HRP, biotin, PerCP, PE, Cy3, FITC, Cy7, Cy5.5, PE-Cy5, PE-Cy7, PerCp-Cy5.5, APC, Cy5, PE-Cy3, PE-Cy5.5, APC-Cy7, Biotin-APC, FITC-Biotin, TRITC, APC-Cy5, AF488, AF594, AF405, AF555, AF700, AF647, AF750 |
| Валидировано для | IHC WB Иммуногистохимия; Вестерн-блоттинг |
| Рекомендуемые разведения | WB: 0.5-5 мкг/мл; IHC: 5-50 мкг/мл; ICC: 5-50 мкг/мл; Оптимальное разведение определяется конечным потребителем |
| Метод очистки | Аффинная хроматография с белком А и белком G |
| Состав буфера | 0.01M PBS, pH7.4, 0.05% Proclin-300, 50% глицерин |
| Условия доставки | термобокс с аккумуляторами холода |
| Условия хранения | Сразу после получения аликвотировать и хранить при -20ºС до 24 месяцев. Для частого использования хранить при +4ºС не более 2 недель. Избегать повторения циклов замерзания/оттаивания |
| Срок хранения | 24 месяца |
| Производитель | Cloud-Clone Corp. |
| Ссылка на страницу товара на сайте производителя | http://www.cloud-clone.com/products/MAA885Hu24.html |
|
Артикул
|
Наименование |
Производитель
|
|---|
|
Артикул
|
Наименование |
Производитель
|
|---|
|
Артикул
|
Наименование |
Производитель
|
|---|
|
Артикул
|
Наименование |
Производитель
|
|---|
|
Артикул
|
Наименование |
Производитель
|
|---|
|
Артикул
|
Наименование |
Производитель
|
|---|
|
Артикул
|
Наименование |
Производитель
|
|---|
|
Артикул
|
Наименование |
Производитель
|
|---|
Акции и предложения
Популярные продукты:
ELISA Kit DIY Materials for Regucalcin (RGN) (KSC765Hu01)
Организм: человек
Диапазон определения: 0.312-20 нг/мл
Чувствительность: 0.117 нг/мл
Диапазон определения: 0.312-20 нг/мл
Чувствительность: 0.117 нг/мл
Monkey Angiopoietin 2 ELISA kit (E09A0503)
Организм: обезьяна
Canine Cancer/testis antigen 2(CTAG2) ELISA kit (E08C2141)
Организм: собака
Guinea Pig Component of gems 4(GEMIN4) ELISA kit (E05C2296)
Организм: морская свинка
Guinea Pig Patatin Like Phospholipase Domain Containing Protein 3 ELISA kit (E05P0939)
Организм: морская свинка

