| UNIPROT | P00442 |
| Иммуноген | RPB960Bo01-Recombinant Superoxide Dismutase 1 (SOD1) |
Monoclonal Antibody to Superoxide Dismutase 1 (SOD1) (MAB960Bo21)
Реактивность подтвержденная:
корова
Источник (хозяин):
мышь
Валидировано для:
IHC
WB
Характеристики
Техническое описание
| Русское название | MAB960Bo21 Моноклональное антитело к SOD1 (корова) <Cloud-Clone,Китай> |
| Каталожный номер | MAB960Bo21 |
| Название антигена | Superoxide Dismutase 1, Soluble (SOD1) |
| UNIPROT | P00442 |
| Иммуноген | RPB960Bo01-Recombinant Superoxide Dismutase 1 (SOD1) |
| Английские синонимы | ALS, ALS1, IPOA, Amyotrophic Lateral Sclerosis 1,Adult, Superoxide dismutase [Cu-Zn] |
Реактивность подтвержденная Нужна другая реактивность? |
корова |
| Источник (хозяин) | мышь |
| Изотип | IgG2b Kappa |
| Клональность | моноклональное |
| Клон | C4 |
| Рекомбинантное | нет |
| Готовое к использованию | нет |
| Концентрация | 1 мг/мл |
| Конъюгат | По запросу: HRP, biotin, PerCP, PE, Cy3, FITC, Cy7, Cy5.5, PE-Cy5, PE-Cy7, PerCp-Cy5.5, APC, Cy5, PE-Cy3, PE-Cy5.5, APC-Cy7, Biotin-APC, FITC-Biotin, TRITC, APC-Cy5, AF488, AF594, AF405, AF555, AF700, AF647, AF750 |
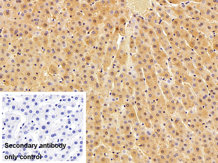
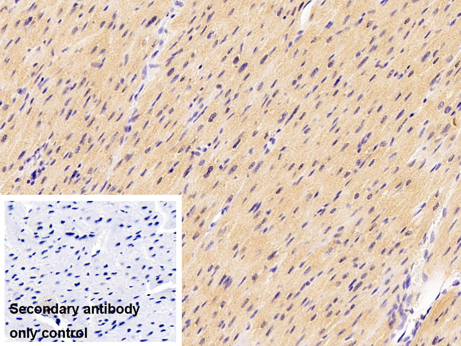
| Валидировано для | IHC WB Иммуногистохимия; Вестерн-блоттинг |
| Рекомендуемые разведения | WB: 0.01-2 мкг/мл; IHC: 5-20 мкг/мл; ICC: 5-20 мкг/мл; Оптимальное разведение определяется конечным потребителем |
| Метод очистки | Аффинная хроматография с белком А и белком G |
| Состав буфера | 0.01M PBS, pH7.4, 0.05% Proclin-300, 50% глицерин |
| Условия доставки | термобокс с аккумуляторами холода |
| Условия хранения | Сразу после получения аликвотировать и хранить при -20ºС до 24 месяцев. Для частого использования хранить при +4ºС не более 2 недель. Избегать повторения циклов замерзания/оттаивания |
| Срок хранения | 24 месяца |
| Производитель | Cloud-Clone Corp. |
| Ссылка на страницу товара на сайте производителя | http://www.cloud-clone.com/products/MAB960Bo21.html |
|
Артикул
|
Наименование |
Производитель
|
|---|
|
Артикул
|
Наименование |
Производитель
|
|---|
|
Артикул
|
Наименование |
Производитель
|
|---|
|
Артикул
|
Наименование |
Производитель
|
|---|
|
Артикул
|
Наименование |
Производитель
|
|---|
|
Артикул
|
Наименование |
Производитель
|
|---|
|
Артикул
|
Наименование |
Производитель
|
|---|
|
Артикул
|
Наименование |
Производитель
|
|---|
|
Артикул
|
Наименование |
Производитель
|
|---|
|
Артикул
|
Наименование |
Производитель
|
|---|
|
Артикул
|
Наименование |
Производитель
|
|---|
|
Артикул
|
Наименование |
Производитель
|
|---|
|
Артикул
|
Наименование |
Производитель
|
|---|
Акции и предложения
Популярные продукты:
Rat Interleukin 22 ELISA kit (E02I0203)
Организм: крыса
PE/Elab Fluor® 594 Anti-Human CD4 Antibody[RPA-T4] (E-AB-F1109P)
Источник (хозяин): мышь
Реактивность подтвержденная: человек
Валидировано для: FCM
Реактивность подтвержденная: человек
Валидировано для: FCM
Anti-Human CD246/ALK Antibody (ab324) (FHJ81210)
Источник (хозяин): мышь
Реактивность подтвержденная: человек
Валидировано для: FCM
Реактивность подтвержденная: человек
Валидировано для: FCM
Monoclonal Antibody to Superoxide Dismutase 1 (SOD1) (MAB960Bo21)
Источник (хозяин): мышь
Реактивность подтвержденная: корова
Валидировано для: IHC, WB
Реактивность подтвержденная: корова
Валидировано для: IHC, WB
CLIA Kit for D-amino Acid Oxidase Activator (DAOA) (RJ297L-Hu)
Организм: человек
Диапазон определения: 13.7-10000 пг/мл
Чувствительность: 6.4 пг/мл
Диапазон определения: 13.7-10000 пг/мл
Чувствительность: 6.4 пг/мл
ELISA Kit for Breakpoint Cluster Region (BCR) (SEC328Mu)
Организм: мышь
Диапазон определения: 0.156-10 нг/мл
Чувствительность: 0.061 нг/мл
Диапазон определения: 0.156-10 нг/мл
Чувствительность: 0.061 нг/мл

