| UNIPROT | Q9H190 |
| Иммуноген | RPD171Hu01-Recombinant Syntenin 2 (ST2) |
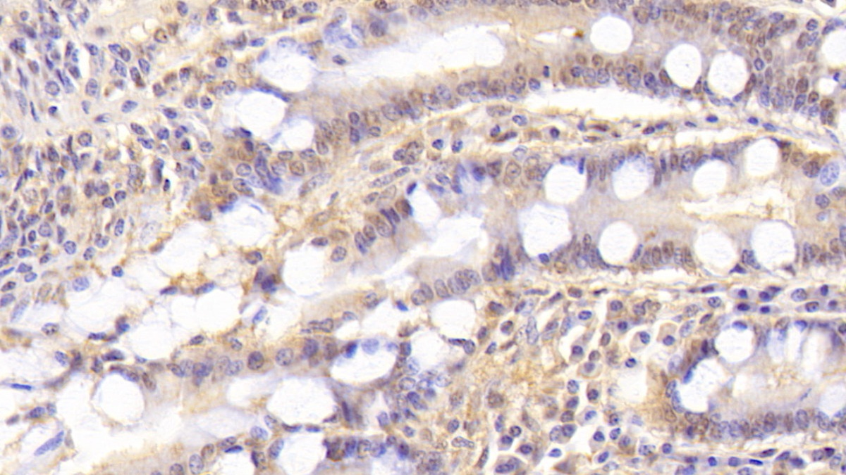
Monoclonal Antibody to Syntenin 2 (ST2) (MAD171Hu21)
Реактивность подтвержденная:
человек
Источник (хозяин):
мышь
Валидировано для:
IHC
WB
Характеристики
Техническое описание
| Русское название | MAD171Hu21 Моноклональное антитело к ST2 (человек) <Cloud-Clone,Китай> |
| Каталожный номер | MAD171Hu21 |
| Название антигена | Syntenin 2 (ST2) |
| UNIPROT | Q9H190 |
| Иммуноген | RPD171Hu01-Recombinant Syntenin 2 (ST2) |
| Английские синонимы | SDCBP2, SITAC18, Syndecan Binding Protein 2 |
Реактивность подтвержденная Нужна другая реактивность? |
человек |
| Реактивность предсказываемая | свинья |
| Источник (хозяин) | мышь |
| Изотип | IgG1 Kappa |
| Клональность | моноклональное |
| Клон | C1 |
| Рекомбинантное | нет |
| Готовое к использованию | нет |
| Концентрация | 1 мг/мл |
| Конъюгат | По запросу: HRP, biotin, PerCP, PE, Cy3, FITC, Cy7, Cy5.5, PE-Cy5, PE-Cy7, PerCp-Cy5.5, APC, Cy5, PE-Cy3, PE-Cy5.5, APC-Cy7, Biotin-APC, FITC-Biotin, TRITC, APC-Cy5, AF488, AF594, AF405, AF555, AF700, AF647, AF750 |
| Валидировано для | IHC WB Иммуногистохимия; Вестерн-блоттинг |
| Рекомендуемые разведения | WB: 0.01-5 мкг/мл; IHC: 5-30 мкг/мл; Оптимальное разведение определяется конечным потребителем |
| Метод очистки | Аффинная хроматография с белком А и белком G |
| Состав буфера | 0.01M PBS, pH7.4, 0.05% Proclin-300, 50% глицерин |
| Условия доставки | термобокс с аккумуляторами холода |
| Условия хранения | Сразу после получения аликвотировать и хранить при -20ºС до 24 месяцев. Для частого использования хранить при +4ºС не более 2 недель. Избегать повторения циклов замерзания/оттаивания |
| Срок хранения | 24 месяца |
| Производитель | Cloud-Clone Corp. |
| Ссылка на страницу товара на сайте производителя | http://www.cloud-clone.com/products/MAD171Hu21.html |
|
Артикул
|
Наименование |
Производитель
|
|---|
Акции и предложения
Популярные продукты:
Bovine Forkhead box protein N3(FOXN3) ELISA kit (E11F0371)
Организм: корова
Goat Cullin 9(CUL9) ELISA kit (E06C2188)
Организм: коза
Rabbit Claudin 11(CLDN11) ELISA kit (E04C0975)
Организм: кролик
Monkey Eukaryotic Translation Initiation Factor 2A ELISA kit (E09E0513)
Организм: обезьяна

