| UNIPROT | P24821 |
| Иммуноген | RPB975Hu01-Recombinant Tenascin C (TNC) |
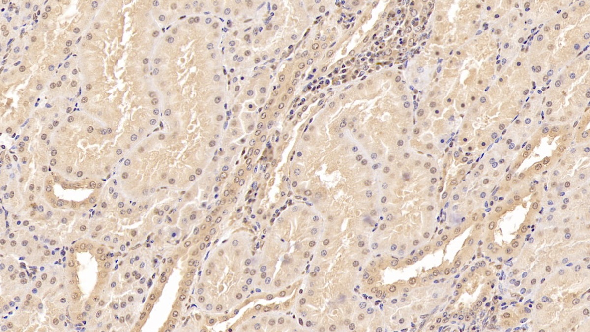
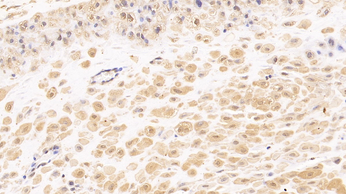
Monoclonal Antibody to Tenascin C (TNC) (MAB975Hu22)
Реактивность подтвержденная:
человек
Источник (хозяин):
мышь
Валидировано для:
IHC
Характеристики
Публикации
Техническое описание
| Русское название | MAB975Hu22 Моноклональное антитело к TNC (человек) <Cloud-Clone,Китай> |
| Каталожный номер | MAB975Hu22 |
| Название антигена | Tenascin C (TNC) |
| UNIPROT | P24821 |
| Иммуноген | RPB975Hu01-Recombinant Tenascin C (TNC) |
| Английские синонимы | TN-C, HXB, TN, GMEM, JI, Myotendinous antigen, Neuronectin, GP 150-225, Cytotactin, Hexabrachion, Glioma-associated-extracellular matrix antigen |
Реактивность подтвержденная Нужна другая реактивность? |
человек |
| Реактивность предсказываемая | крыса, свинья |
| Источник (хозяин) | мышь |
| Изотип | IgG2b Kappa |
| Клональность | моноклональное |
| Клон | C4 |
| Рекомбинантное | нет |
| Готовое к использованию | нет |
| Концентрация | 1 мг/мл |
| Конъюгат | По запросу: HRP, biotin, PerCP, PE, Cy3, FITC, Cy7, Cy5.5, PE-Cy5, PE-Cy7, PerCp-Cy5.5, APC, Cy5, PE-Cy3, PE-Cy5.5, APC-Cy7, Biotin-APC, FITC-Biotin, TRITC, APC-Cy5, AF488, AF594, AF405, AF555, AF700, AF647, AF750 |
| Валидировано для | IHC Иммуногистохимия |
| Рекомендуемые разведения | WB: 0.5-2 мкг/мл; IHC: 5-20 мкг/мл; ICC: 5-20 мкг/мл; Оптимальное разведение определяется конечным потребителем |
| Метод очистки | Аффинная хроматография с белком А и белком G |
| Состав буфера | 0.01M PBS, pH7.4, 0.05% Proclin-300, 50% глицерин |
| Условия доставки | термобокс с аккумуляторами холода |
| Условия хранения | Сразу после получения аликвотировать и хранить при -20ºС до 24 месяцев. Для частого использования хранить при +4ºС не более 2 недель. Избегать повторения циклов замерзания/оттаивания |
| Срок хранения | 24 месяца |
| Производитель | Cloud-Clone Corp. |
| Ссылка на страницу товара на сайте производителя | http://www.cloud-clone.com/products/MAB975Hu22.html |
|
Артикул
|
Наименование |
Производитель
|
|---|
|
Артикул
|
Наименование |
Производитель
|
|---|
|
Артикул
|
Наименование |
Производитель
|
|---|
|
Артикул
|
Наименование |
Производитель
|
|---|
Акции и предложения
Популярные продукты:
Human Tryptophane ELISA kit (E01T0140)
Организм: человек
Диапазон определения: 5-100 нг/мл
Чувствительность: 1 нг/мл
Диапазон определения: 5-100 нг/мл
Чувствительность: 1 нг/мл
Multiplex Assay Kit for Nucleobindin 2 (NUCB2) (LMD180Hu)
Организм: человек
Диапазон определения: 0.01-10 нг/мл
Чувствительность: 0.003 нг/мл
Диапазон определения: 0.01-10 нг/мл
Чувствительность: 0.003 нг/мл
ELISA Kit DIY Materials for Gelsolin (GSN) (KSA372Hu01)
Организм: человек
Диапазон определения: 62.5-4000 пг/мл
Чувствительность: 28.2 пг/мл
Диапазон определения: 62.5-4000 пг/мл
Чувствительность: 28.2 пг/мл
Monoclonal Antibody to Tenascin C (TNC) (MAB975Hu22)
Источник (хозяин): мышь
Реактивность подтвержденная: человек
Валидировано для: IHC
Реактивность подтвержденная: человек
Валидировано для: IHC
ELISA Kit for Sclerostin Domain Containing Protein 1 (SOSTDC1) (SEF900Mu)
Организм: мышь
Диапазон определения: 15.6-1000 пг/мл
Чувствительность: 5.9 пг/мл
Диапазон определения: 15.6-1000 пг/мл
Чувствительность: 5.9 пг/мл
Rituximab ELISA Kit (KDC90709)
Организм: человек
Диапазон определения: 31.25-2000 нг/мл
Чувствительность: 23.65 нг/мл
Диапазон определения: 31.25-2000 нг/мл
Чувствительность: 23.65 нг/мл

