| UNIPROT | P11232 |
| Иммуноген | RPA702Ra01-Recombinant Thioredoxin (Trx) |
Monoclonal Antibody to Thioredoxin (Trx) (MAA702Ra22)
Реактивность подтвержденная:
крыса
Источник (хозяин):
мышь
Валидировано для:
IHC
WB
Характеристики
Техническое описание
| Русское название | MAA702Ra22 Моноклональное антитело к Trx (крыса) <Cloud-Clone,Китай> |
| Каталожный номер | MAA702Ra22 |
| Название антигена | Thioredoxin (Trx) |
| UNIPROT | P11232 |
| Иммуноген | RPA702Ra01-Recombinant Thioredoxin (Trx) |
| Английские синонимы | TXN, ADF, SASP, TRDX, TRX1, ATL-derived factor, Surface-associated sulphydryl protein |
Реактивность подтвержденная Нужна другая реактивность? |
крыса |
| Источник (хозяин) | мышь |
| Изотип | IgG1 Kappa |
| Клональность | моноклональное |
| Клон | C12 |
| Рекомбинантное | нет |
| Готовое к использованию | нет |
| Концентрация | 1 мг/мл |
| Конъюгат | По запросу: HRP, biotin, PerCP, PE, Cy3, FITC, Cy7, Cy5.5, PE-Cy5, PE-Cy7, PerCp-Cy5.5, APC, Cy5, PE-Cy3, PE-Cy5.5, APC-Cy7, Biotin-APC, FITC-Biotin, TRITC, APC-Cy5, AF488, AF594, AF405, AF555, AF700, AF647, AF750 |
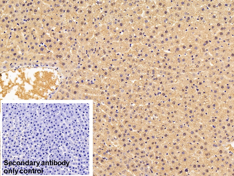
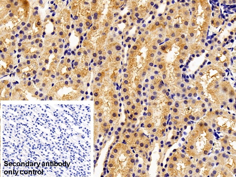
| Валидировано для | IHC WB Иммуногистохимия; Вестерн-блоттинг |
| Рекомендуемые разведения | WB: 0.2-2 мкг/мл; 1:500-5000; IHC: 5-20 мкг/мл; 1:50-200; ICC: 5-20 мкг/мл; 1:50-200; Оптимальное разведение определяется конечным потребителем |
| Метод очистки | Аффинная хроматография с белком А и белком G |
| Состав буфера | PBS, pH7.4, 0.02% NaN3, 50% глицерин |
| Условия доставки | термобокс с аккумуляторами холода |
| Условия хранения | Сразу после получения аликвотировать и хранить при -20ºС до 24 месяцев. Для частого использования хранить при +4ºС не более 2 недель. Избегать повторения циклов замерзания/оттаивания |
| Срок хранения | 24 месяца |
| Производитель | Cloud-Clone Corp. |
| Ссылка на страницу товара на сайте производителя | http://www.cloud-clone.com/products/MAA702Ra22.html |
|
Артикул
|
Наименование |
Производитель
|
|---|
|
Артикул
|
Наименование |
Производитель
|
|---|
|
Артикул
|
Наименование |
Производитель
|
|---|
|
Артикул
|
Наименование |
Производитель
|
|---|
|
Артикул
|
Наименование |
Производитель
|
|---|
|
Артикул
|
Наименование |
Производитель
|
|---|
|
Артикул
|
Наименование |
Производитель
|
|---|
|
Артикул
|
Наименование |
Производитель
|
|---|
Акции и предложения
Популярные продукты:
Anti-SNAP-25 Antibody (SAb2312) (RHF38108)
Источник (хозяин): мышь
Реактивность подтвержденная: человек
Валидировано для: ELISA
Реактивность подтвержденная: человек
Валидировано для: ELISA
Anti-MARV GP/Envelope glycoprotein Antibody (2D8) (RVV24308)
Источник (хозяин): человек
Реактивность подтвержденная: вирусы
Валидировано для: ELISA, NEUT
Реактивность подтвержденная: вирусы
Валидировано для: ELISA, NEUT
Anti-Cluster Of Differentiation 42b (CD42b) Monoclonal Antibody (FAB108Hu02)
Источник (хозяин): мышь
Реактивность подтвержденная: человек
Валидировано для: FCM
Реактивность подтвержденная: человек
Валидировано для: FCM
Multiplex Assay Kit for Chemokine C-C-Motif Receptor 10 (CCR10) (LMB024Mu)
Организм: мышь
Диапазон определения: 0.01-10 нг/мл
Чувствительность: 0.003 нг/мл
Диапазон определения: 0.01-10 нг/мл
Чувствительность: 0.003 нг/мл
Human Eosinophil peroxidase(EPX) ELISA kit (E01E0383)
Организм: человек
Диапазон определения: 5-100 нг/мл
Чувствительность: 1 нг/мл
Диапазон определения: 5-100 нг/мл
Чувствительность: 1 нг/мл

