| UNIPROT | Q9HBJ8 |
| Иммуноген | RPK477Hu01-Recombinant Transmembrane Protein 27 (TMEM27) |
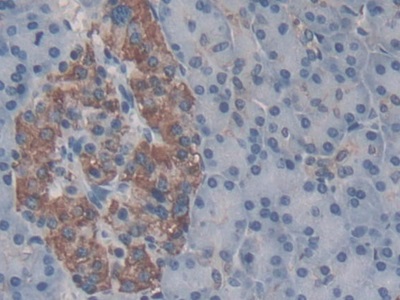
Monoclonal Antibody to Transmembrane Protein 27 (TMEM27) (MAK477Hu22)
Реактивность подтвержденная:
человек
Источник (хозяин):
мышь
Валидировано для:
IHC
Характеристики
Техническое описание
| Русское название | MAK477Hu22 Моноклональное антитело к TMEM27 (человек) <Cloud-Clone,Китай> |
| Каталожный номер | MAK477Hu22 |
| Название антигена | Transmembrane Protein 27 (TMEM27) |
| UNIPROT | Q9HBJ8 |
| Иммуноген | RPK477Hu01-Recombinant Transmembrane Protein 27 (TMEM27) |
| Английские синонимы | NX17, Collectrin |
Реактивность подтвержденная Нужна другая реактивность? |
человек |
| Источник (хозяин) | мышь |
| Изотип | IgG2b Kappa |
| Клональность | моноклональное |
| Клон | C2 |
| Рекомбинантное | нет |
| Готовое к использованию | нет |
| Концентрация | 1 мг/мл |
| Конъюгат | По запросу: HRP, biotin, PerCP, PE, Cy3, FITC, Cy7, Cy5.5, PE-Cy5, PE-Cy7, PerCp-Cy5.5, APC, Cy5, PE-Cy3, PE-Cy5.5, APC-Cy7, Biotin-APC, FITC-Biotin, TRITC, APC-Cy5, AF488, AF594, AF405, AF555, AF700, AF647, AF750 |
| Валидировано для | IHC Иммуногистохимия |
| Рекомендуемые разведения | WB: 0.5-2 мкг/мл; IHC: 5-20 мкг/мл; ICC: 5-20 мкг/мл; Оптимальное разведение определяется конечным потребителем |
| Метод очистки | Аффинная хроматография с белком А и белком G |
| Состав буфера | 0.01M PBS, pH7.4, 0.05% Proclin-300, 50% глицерин |
| Условия доставки | термобокс с аккумуляторами холода |
| Условия хранения | Сразу после получения аликвотировать и хранить при -20ºС до 24 месяцев. Для частого использования хранить при +4ºС не более 2 недель. Избегать повторения циклов замерзания/оттаивания |
| Срок хранения | 24 месяца |
| Производитель | Cloud-Clone Corp. |
| Ссылка на страницу товара на сайте производителя | http://www.cloud-clone.com/products/MAK477Hu22.html |
|
Артикул
|
Наименование |
Производитель
|
|---|
|
Артикул
|
Наименование |
Производитель
|
|---|
|
Артикул
|
Наименование |
Производитель
|
|---|
|
Артикул
|
Наименование |
Производитель
|
|---|
|
Артикул
|
Наименование |
Производитель
|
|---|
|
Артикул
|
Наименование |
Производитель
|
|---|
Акции и предложения
Популярные продукты:
Anti-Complement component 1 Q subcomponent-binding protein, mitochondrial (C1QBP) Polyclonal Antibody (FAA651Bo01)
Источник (хозяин): кролик
Реактивность подтвержденная: корова
Валидировано для: FCM
Реактивность подтвержденная: корова
Валидировано для: FCM
Rabbit Collectrin(TMEM27) ELISA kit (E04C2455)
Организм: кролик
Rat Collectrin(TMEM27) ELISA kit (E02C2455)
Организм: крыса
Bovine Telomerase Reverse Transcriptase (TERT) ELISA Kit (E11T0063)
Организм: корова
Goat Histamine ELISA kit (E06H0013)
Организм: коза
Guinea Pig Interleukin 5 ELISA kit (E05I0024)
Организм: морская свинка
Диапазон определения: 50-1000 пг/мл
Чувствительность: 1 пг/мл
Диапазон определения: 50-1000 пг/мл
Чувствительность: 1 пг/мл

