| UNIPROT | Q15661 |
| Иммуноген | RPB070Hu01-Recombinant Tryptase (TPS) |
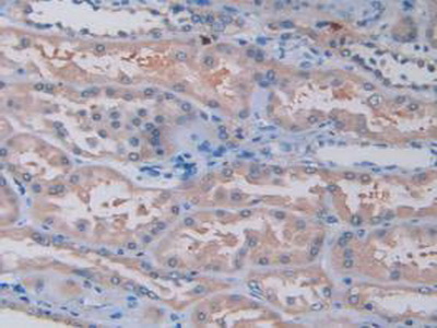
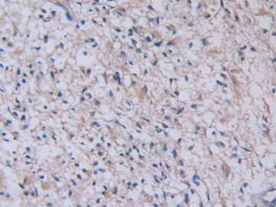
Monoclonal Antibody to Tryptase (TPS) (MAB070Hu22)
Реактивность подтвержденная:
человек
Источник (хозяин):
мышь
Валидировано для:
IHC
WB
Характеристики
Публикации
Техническое описание
| Русское название | MAB070Hu22 Моноклональное антитело к TPS (человек) <Cloud-Clone,Китай> |
| Каталожный номер | MAB070Hu22 |
| Название антигена | Tryptase (TPS) |
| UNIPROT | Q15661 |
| Иммуноген | RPB070Hu01-Recombinant Tryptase (TPS) |
| Английские синонимы | TPSAB1, Tryptase Alpha/Beta 1, Tryptase Alpha II, Tryptase Beta I, Tryptase-I, Tryptase-II, Tryptase-III |
Реактивность подтвержденная Нужна другая реактивность? |
человек |
| Источник (хозяин) | мышь |
| Изотип | IgG2a Kappa |
| Клональность | моноклональное |
| Клон | C17 |
| Рекомбинантное | нет |
| Готовое к использованию | нет |
| Концентрация | 1 мг/мл |
| Конъюгат | По запросу: HRP, biotin, PerCP, PE, Cy3, FITC, Cy7, Cy5.5, PE-Cy5, PE-Cy7, PerCp-Cy5.5, APC, Cy5, PE-Cy3, PE-Cy5.5, APC-Cy7, Biotin-APC, FITC-Biotin, TRITC, APC-Cy5, AF488, AF594, AF405, AF555, AF700, AF647, AF750 |
| Валидировано для | IHC WB Иммуногистохимия; Вестерн-блоттинг |
| Рекомендуемые разведения | WB: 0.01-2 мкг/мл; IHC: 5-40 мкг/мл; Оптимальное разведение определяется конечным потребителем |
| Метод очистки | Аффинная хроматография с белком А и белком G |
| Состав буфера | PBS, pH7.4, 0.02% NaN3, 50% глицерин |
| Условия доставки | термобокс с аккумуляторами холода |
| Условия хранения | Сразу после получения аликвотировать и хранить при -20ºС до 24 месяцев. Для частого использования хранить при +4ºС не более 2 недель. Избегать повторения циклов замерзания/оттаивания |
| Срок хранения | 24 месяца |
| Производитель | Cloud-Clone Corp. |
| Ссылка на страницу товара на сайте производителя | http://www.cloud-clone.com/products/MAB070Hu22.html |
|
Артикул
|
Наименование |
Производитель
|
|---|
|
Артикул
|
Наименование |
Производитель
|
|---|
|
Артикул
|
Наименование |
Производитель
|
|---|
|
Артикул
|
Наименование |
Производитель
|
|---|
|
Артикул
|
Наименование |
Производитель
|
|---|
|
Артикул
|
Наименование |
Производитель
|
|---|
|
Артикул
|
Наименование |
Производитель
|
|---|
|
Артикул
|
Наименование |
Производитель
|
|---|
Акции и предложения
Популярные продукты:
ELISA Kit DIY Materials for Cytochrome C Oxidase Subunit II (COX2) (KSD284Ra01)
Организм: крыса
Диапазон определения: 0.312-20 нг/мл
Чувствительность: 0.124 нг/мл
Диапазон определения: 0.312-20 нг/мл
Чувствительность: 0.124 нг/мл
Anti-Human/Mouse/Rat CD227/MUC1 Antibody (SM3) (RHD14201)
Источник (хозяин): мышь
Реактивность подтвержденная: человек, мышь, крыса
Валидировано для: ELISA, FCM, IF, IHC-P, IP, WB
Реактивность подтвержденная: человек, мышь, крыса
Валидировано для: ELISA, FCM, IF, IHC-P, IP, WB
Anti-ENO2/NSE Antibody (R3B52) (RHC38604)
Источник (хозяин): мышь
Реактивность подтвержденная: человек, мышь, крыса
Валидировано для: ELISA, WB
Реактивность подтвержденная: человек, мышь, крыса
Валидировано для: ELISA, WB
KIR3DL1 Antibody (DF6505)
Источник (хозяин): кролик
Реактивность подтвержденная: человек
Валидировано для: IHC, WB, IF, ICC
Реактивность подтвержденная: человек
Валидировано для: IHC, WB, IF, ICC
Monoclonal Antibody to Tryptase (TPS) (MAB070Hu22)
Источник (хозяин): мышь
Реактивность подтвержденная: человек
Валидировано для: IHC, WB
Реактивность подтвержденная: человек
Валидировано для: IHC, WB
Polyclonal Antibody to Annexin A4 (ANXA4) (PAE784Ra02)
Источник (хозяин): кролик
Реактивность подтвержденная: крыса
Валидировано для: IHC, WB
Реактивность подтвержденная: крыса
Валидировано для: IHC, WB

