| UNIPROT | Q15661 |
| Иммуноген | RPB070Hu01-Recombinant Tryptase (TPS) |
Monoclonal Antibody to Tryptase (TPS) (MAB070Hu26)
Реактивность подтвержденная:
человек
Источник (хозяин):
мышь
Валидировано для:
IHC
WB
Характеристики
Техническое описание
| Русское название | MAB070Hu26 Моноклональное антитело к TPS (человек) <Cloud-Clone,Китай> |
| Каталожный номер | MAB070Hu26 |
| Название антигена | Tryptase (TPS) |
| UNIPROT | Q15661 |
| Иммуноген | RPB070Hu01-Recombinant Tryptase (TPS) |
| Английские синонимы | TPSAB1, Tryptase Alpha/Beta 1, Tryptase Alpha II, Tryptase Beta I, Tryptase-I, Tryptase-II, Tryptase-III |
Реактивность подтвержденная Нужна другая реактивность? |
человек |
| Источник (хозяин) | мышь |
| Изотип | IgG2a Kappa |
| Клональность | моноклональное |
| Клон | C10 |
| Рекомбинантное | нет |
| Готовое к использованию | нет |
| Концентрация | 1 мг/мл |
| Конъюгат | По запросу: HRP, biotin, PerCP, PE, Cy3, FITC, Cy7, Cy5.5, PE-Cy5, PE-Cy7, PerCp-Cy5.5, APC, Cy5, PE-Cy3, PE-Cy5.5, APC-Cy7, Biotin-APC, FITC-Biotin, TRITC, APC-Cy5, AF488, AF594, AF405, AF555, AF700, AF647, AF750 |
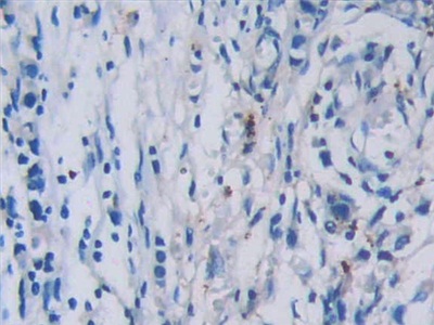
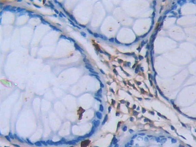
| Валидировано для | IHC WB Иммуногистохимия; Вестерн-блоттинг |
| Рекомендуемые разведения | WB: 0.5-5 мкг/мл; IHC: 5-40 мкг/мл; ICC: 5-40 мкг/мл; Оптимальное разведение определяется конечным потребителем |
| Метод очистки | Аффинная хроматография с белком А и белком G |
| Состав буфера | 0.01M PBS, pH7.4, 0.05% Proclin-300, 50% глицерин |
| Условия доставки | термобокс с аккумуляторами холода |
| Условия хранения | Сразу после получения аликвотировать и хранить при -20ºС до 24 месяцев. Для частого использования хранить при +4ºС не более 2 недель. Избегать повторения циклов замерзания/оттаивания |
| Срок хранения | 24 месяца |
| Производитель | Cloud-Clone Corp. |
| Ссылка на страницу товара на сайте производителя | http://www.cloud-clone.com/products/MAB070Hu26.html |
|
Артикул
|
Наименование |
Производитель
|
|---|
|
Артикул
|
Наименование |
Производитель
|
|---|
|
Артикул
|
Наименование |
Производитель
|
|---|
|
Артикул
|
Наименование |
Производитель
|
|---|
|
Артикул
|
Наименование |
Производитель
|
|---|
|
Артикул
|
Наименование |
Производитель
|
|---|
|
Артикул
|
Наименование |
Производитель
|
|---|
|
Артикул
|
Наименование |
Производитель
|
|---|
Акции и предложения
Популярные продукты:
Human Endoplasmic reticulum aminopeptidase 1 ELISA kit (E01E0515)
Организм: человек
Chicken Perilipin 1 ELISA kit (E12P0603)
Организм: курица
Recombinant Human Carboxypeptidase B2/CPB2 Protein (His Tag) (PKSH032172)
Источник (хозяин): HEK293
Организм: человек
Фрагмент: Phe23-Val423
Теги: C-His
Биоактивность: нет
Организм: человек
Фрагмент: Phe23-Val423
Теги: C-His
Биоактивность: нет
Anti-GSTK1 Polyclonal Antibody (PHJ86301)
Источник (хозяин): кролик
Реактивность подтвержденная: человек
Валидировано для: ELISA, IHC, WB
Реактивность подтвержденная: человек
Валидировано для: ELISA, IHC, WB
Anti-POR Antibody (R1Q13) (RHD17502)
Источник (хозяин): кролик
Реактивность подтвержденная: человек, мышь, крыса
Валидировано для: FCM, IF, IHC, WB
Реактивность подтвержденная: человек, мышь, крыса
Валидировано для: FCM, IF, IHC, WB

