| UNIPROT | Q5U5U6 |
| Иммуноген | RPA164Hu02-Recombinant Ubiquitin (Ub) |
Monoclonal Antibody to Ubiquitin (Ub) (MAA164Hu21)
Реактивность подтвержденная:
человек
Источник (хозяин):
мышь
Валидировано для:
IHC
WB
Характеристики
Техническое описание
| Русское название | MAA164Hu21 Моноклональное антитело к убиквитину (человек) <Cloud-Clone,Китай> |
| Каталожный номер | MAA164Hu21 |
| Название антигена | Ubiquitin (Ub) |
| UNIPROT | Q5U5U6 |
| Иммуноген | RPA164Hu02-Recombinant Ubiquitin (Ub) |
| Английские синонимы | Ubiquitin B, UbB, Ubiquitous Immunopoietic Polypeptide, Polyubiquitin B |
Реактивность подтвержденная Нужна другая реактивность? |
человек |
| Реактивность предсказываемая | крыса, свинья |
| Источник (хозяин) | мышь |
| Изотип | IgG1 Kappa |
| Клональность | моноклональное |
| Клон | D5 |
| Рекомбинантное | нет |
| Готовое к использованию | нет |
| Концентрация | 1 мг/мл |
| Конъюгат | По запросу: HRP, biotin, PerCP, PE, Cy3, FITC, Cy7, Cy5.5, PE-Cy5, PE-Cy7, PerCp-Cy5.5, APC, Cy5, PE-Cy3, PE-Cy5.5, APC-Cy7, Biotin-APC, FITC-Biotin, TRITC, APC-Cy5, AF488, AF594, AF405, AF555, AF700, AF647, AF750 |
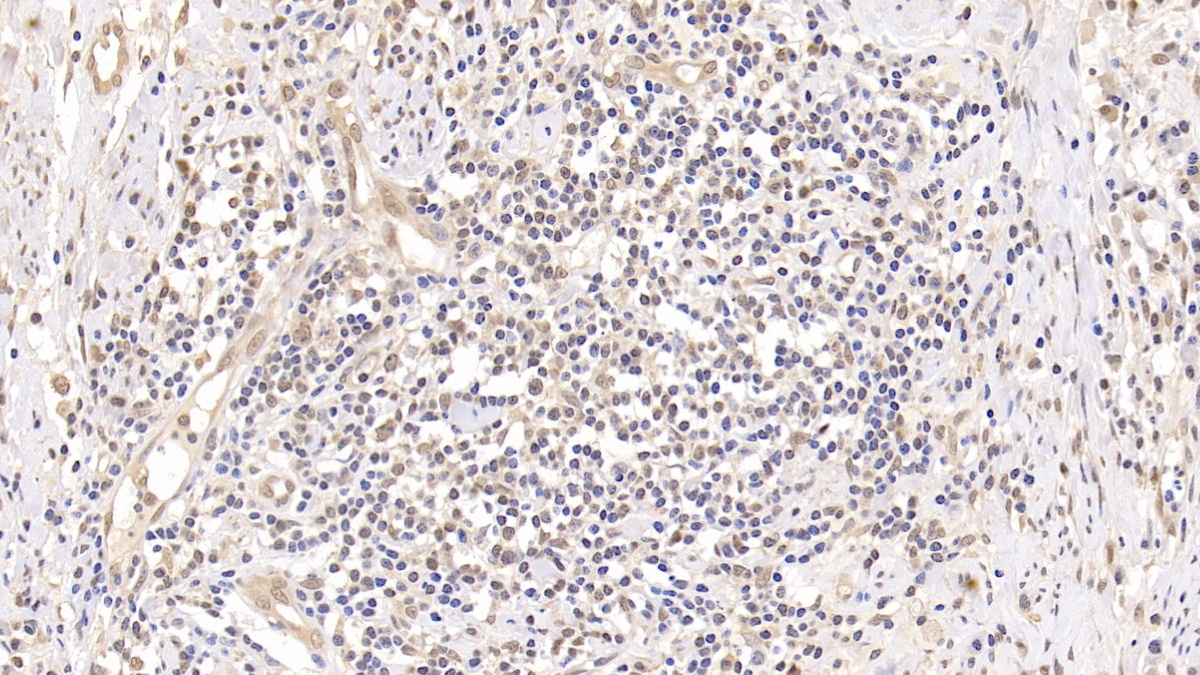
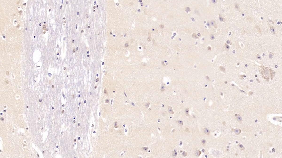
| Валидировано для | IHC WB Иммуногистохимия; Вестерн-блоттинг |
| Рекомендуемые разведения | WB: 0.5-2 мкг/мл; IHC: 5-20 мкг/мл; ICC: 5-20 мкг/мл; Оптимальное разведение определяется конечным потребителем |
| Метод очистки | Аффинная хроматография с белком А и белком G |
| Состав буфера | PBS, pH7.4, 0.02% NaN3, 50% глицерин |
| Условия доставки | термобокс с аккумуляторами холода |
| Условия хранения | Сразу после получения аликвотировать и хранить при -20ºС до 24 месяцев. Для частого использования хранить при +4ºС не более 2 недель. Избегать повторения циклов замерзания/оттаивания |
| Срок хранения | 24 месяца |
| Производитель | Cloud-Clone Corp. |
| Ссылка на страницу товара на сайте производителя | http://www.cloud-clone.com/products/MAA164Hu21.html |
|
Артикул
|
Наименование |
Производитель
|
|---|
|
Артикул
|
Наименование |
Производитель
|
|---|
|
Артикул
|
Наименование |
Производитель
|
|---|
|
Артикул
|
Наименование |
Производитель
|
|---|
|
Артикул
|
Наименование |
Производитель
|
|---|
|
Артикул
|
Наименование |
Производитель
|
|---|
|
Артикул
|
Наименование |
Производитель
|
|---|
Акции и предложения
Популярные продукты:
Anti-Human CD185/CXCR5 Antibody (Fs0373), PE (FHD99933)
Источник (хозяин): мышь
Реактивность подтвержденная: человек
Валидировано для: FCM
Реактивность подтвержденная: человек
Валидировано для: FCM
Anti-Human CD185/CXCR5 Antibody (Fs0373), APC (FHD99932)
Источник (хозяин): мышь
Реактивность подтвержденная: человек
Валидировано для: FCM
Реактивность подтвержденная: человек
Валидировано для: FCM
Anti-CD185/CXCR5 Antibody (JB11-40), PerCP (FHD99924)
Источник (хозяин): кролик
Реактивность подтвержденная: человек, мышь, крыса
Валидировано для: FCM, WB
Реактивность подтвержденная: человек, мышь, крыса
Валидировано для: FCM, WB
Anti-CD185/CXCR5 Antibody (JB11-40), FITC (FHD99921)
Источник (хозяин): кролик
Реактивность подтвержденная: человек, мышь, крыса
Валидировано для: FCM, WB
Реактивность подтвержденная: человек, мышь, крыса
Валидировано для: FCM, WB
Anti-CD185/CXCR5 Antibody (JB11-40), APC (FHD99922)
Источник (хозяин): кролик
Реактивность подтвержденная: человек, мышь, крыса
Валидировано для: FCM, WB
Реактивность подтвержденная: человек, мышь, крыса
Валидировано для: FCM, WB
Sheep Anti Filaggrin Antibody ELISA kit (E14A0428)
Организм: овца

