| UNIPROT | - |
| Иммуноген | RPA164Mi02-Recombinant Ubiquitin (Ub) |
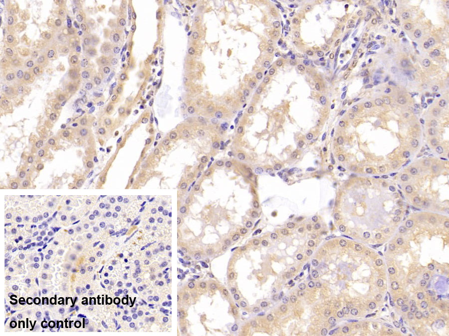
Monoclonal Antibody to Ubiquitin (Ub) (MAA164Mi21)
Реактивность подтвержденная:
человек, мышь, крыса, морская свинка, обезьяна, собака, свинья, корова, овца, лошадь, курица
Источник (хозяин):
мышь
Валидировано для:
IHC
Характеристики
Техническое описание
| Русское название | MAA164Mi21 Моноклональное антитело к убиквитину <Cloud-Clone,Китай> |
| Каталожный номер | MAA164Mi21 |
| Название антигена | Ubiquitin (Ub) |
| UNIPROT | - |
| Иммуноген | RPA164Mi02-Recombinant Ubiquitin (Ub) |
| Английские синонимы | Ubiquitin B, UbB, Ubiquitous Immunopoietic Polypeptide, Polyubiquitin B |
Реактивность подтвержденная Нужна другая реактивность? |
человек, мышь, крыса, морская свинка, обезьяна, собака, свинья, корова, овца, лошадь, курица |
| Источник (хозяин) | мышь |
| Изотип | IgG1 Kappa |
| Клональность | моноклональное |
| Клон | E7 |
| Рекомбинантное | нет |
| Готовое к использованию | нет |
| Концентрация | 1 мг/мл |
| Конъюгат | По запросу: HRP, biotin, PerCP, PE, Cy3, FITC, Cy7, Cy5.5, PE-Cy5, PE-Cy7, PerCp-Cy5.5, APC, Cy5, PE-Cy3, PE-Cy5.5, APC-Cy7, Biotin-APC, FITC-Biotin, TRITC, APC-Cy5, AF488, AF594, AF405, AF555, AF700, AF647, AF750 |
| Валидировано для | IHC Иммуногистохимия |
| Рекомендуемые разведения | WB: 0.01-2 мкг/мл; IHC: 5-40 мкг/мл; ICC: 5-20 мкг/мл; Оптимальное разведение определяется конечным потребителем |
| Метод очистки | Аффинная хроматография с белком А и белком G |
| Состав буфера | PBS, pH7.4, 0.02% NaN3, 50% глицерин |
| Условия доставки | термобокс с аккумуляторами холода |
| Условия хранения | Сразу после получения аликвотировать и хранить при -20ºС до 24 месяцев. Для частого использования хранить при +4ºС не более 2 недель. Избегать повторения циклов замерзания/оттаивания |
| Срок хранения | 24 месяца |
| Производитель | Cloud-Clone Corp. |
| Ссылка на страницу товара на сайте производителя | http://www.cloud-clone.com/products/MAA164Mi21.html |
|
Артикул
|
Наименование |
Производитель
|
|---|
|
Артикул
|
Наименование |
Производитель
|
|---|
|
Артикул
|
Наименование |
Производитель
|
|---|
|
Артикул
|
Наименование |
Производитель
|
|---|
|
Артикул
|
Наименование |
Производитель
|
|---|
|
Артикул
|
Наименование |
Производитель
|
|---|
Акции и предложения
Популярные продукты:
InVivoMAb Anti-Mouse CD210/IL10RA Antibody (1B1.3A) (VMG62901)
Источник (хозяин): крыса
Реактивность подтвержденная: мышь
Валидировано для: ELISA, FuncS
Реактивность подтвержденная: мышь
Валидировано для: ELISA, FuncS
Guinea Pig Oxidized Glutathione ELISA kit (E05O0028)
Организм: морская свинка
Bovine Ubiquitin ELISA kit (E11U0007)
Организм: корова
Диапазон определения: 5-100 нг/мл
Чувствительность: 1 нг/мл
Диапазон определения: 5-100 нг/мл
Чувствительность: 1 нг/мл
Guinea Pig Ubiquitin ELISA kit (E05U0007)
Организм: морская свинка
Recombinant Human SNX17 Protein, N-His (YHG98801)
Источник (хозяин): E.coli
Организм: человек
Фрагмент: Met1-Gly401
Теги: N-His
Биоактивность: нет
Организм: человек
Фрагмент: Met1-Gly401
Теги: N-His
Биоактивность: нет

