| UNIPROT | P43490 |
| Иммуноген | RPA638Hu01-Recombinant Visfatin (VF) |
Monoclonal Antibody to Visfatin (VF) (MAA638Hu29)
Реактивность подтвержденная:
человек
Источник (хозяин):
мышь
Валидировано для:
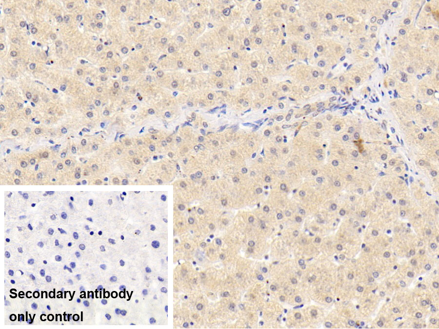
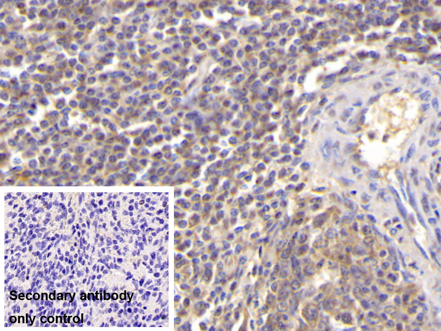
IHC
Характеристики
Техническое описание
| Русское название | MAA638Hu29 Моноклональное антитело к висфатину (человек) <Cloud-Clone,Китай> |
| Каталожный номер | MAA638Hu29 |
| Название антигена | Visfatin (VF) |
| UNIPROT | P43490 |
| Иммуноген | RPA638Hu01-Recombinant Visfatin (VF) |
| Английские синонимы | Nampt, NAmPRTase, PBEF, PBEF1, Pre-B-Cell Colony Enhancing Factor, Nicotinamide Phosphoribosyltransferase |
Реактивность подтвержденная Нужна другая реактивность? |
человек |
| Источник (хозяин) | мышь |
| Изотип | IgG1 Lambda |
| Клональность | моноклональное |
| Клон | D9 |
| Рекомбинантное | нет |
| Готовое к использованию | нет |
| Концентрация | 1 мг/мл |
| Конъюгат | По запросу: HRP, biotin, PerCP, PE, Cy3, FITC, Cy7, Cy5.5, PE-Cy5, PE-Cy7, PerCp-Cy5.5, APC, Cy5, PE-Cy3, PE-Cy5.5, APC-Cy7, Biotin-APC, FITC-Biotin, TRITC, APC-Cy5, AF488, AF594, AF405, AF555, AF700, AF647, AF750 |
| Валидировано для | IHC Иммуногистохимия |
| Рекомендуемые разведения | WB: 0.01-2 мкг/мл; IHC: 5-20 мкг/мл; ICC: 5-20 мкг/мл; Оптимальное разведение определяется конечным потребителем |
| Метод очистки | Аффинная хроматография с белком А и белком G |
| Состав буфера | 0.01M PBS, pH7.4, 0.05% Proclin-300, 50% глицерин |
| Условия доставки | термобокс с аккумуляторами холода |
| Условия хранения | Сразу после получения аликвотировать и хранить при -20ºС до 24 месяцев. Для частого использования хранить при +4ºС не более 2 недель. Избегать повторения циклов замерзания/оттаивания |
| Срок хранения | 24 месяца |
| Производитель | Cloud-Clone Corp. |
| Ссылка на страницу товара на сайте производителя | http://www.cloud-clone.com/products/MAA638Hu29.html |
|
Артикул
|
Наименование |
Производитель
|
|---|
|
Артикул
|
Наименование |
Производитель
|
|---|
|
Артикул
|
Наименование |
Производитель
|
|---|
|
Артикул
|
Наименование |
Производитель
|
|---|
|
Артикул
|
Наименование |
Производитель
|
|---|
|
Артикул
|
Наименование |
Производитель
|
|---|
|
Артикул
|
Наименование |
Производитель
|
|---|
Акции и предложения
Популярные продукты:
Mouse Endoribonuclease Dicer ELISA Kit (E03D0330)
Организм: мышь
Porcine Ceramide kinase(CERK) ELISA kit (E07C1622)
Организм: свинья
Rat DNA Methyltransferase 3A ELISA kit (E02D0321)
Организм: крыса
Sheep Beta-2-syntrophin ELISA kit (E14B0973)
Организм: овца
Porcine calpain 6(CAPN6) ELISA kit (E07C1362)
Организм: свинья
Bovine Aquaporin-7(AQP7) ELISA kit (E11A1617)
Организм: корова

