| UNIPROT | P02774 |
| Иммуноген | RPB810Hu02-Recombinant Vitamin D Binding Protein (DBP) |
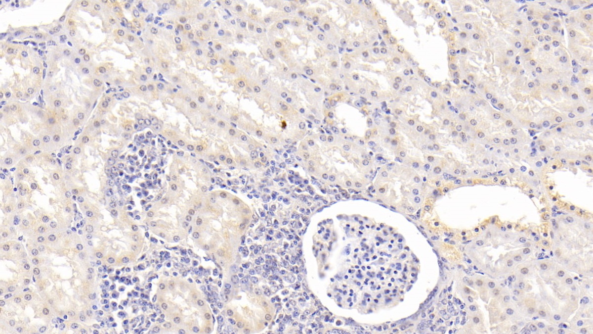
Monoclonal Antibody to Vitamin D Binding Protein (DBP) (MAB810Hu23)
Реактивность подтвержденная:
человек
Источник (хозяин):
мышь
Валидировано для:
IHC
WB
Характеристики
Техническое описание
| Русское название | MAB810Hu23 Моноклональное антитело к DBP (человек) <Cloud-Clone,Китай> |
| Каталожный номер | MAB810Hu23 |
| Название антигена | Vitamin D Binding Protein (DBP) |
| UNIPROT | P02774 |
| Иммуноген | RPB810Hu02-Recombinant Vitamin D Binding Protein (DBP) |
| Английские синонимы | GC, VDBG, VDBP, Group-Specific Component, Gc-globulin |
Реактивность подтвержденная Нужна другая реактивность? |
человек |
| Реактивность предсказываемая | крыса, свинья |
| Источник (хозяин) | мышь |
| Изотип | IgG1 Kappa |
| Клональность | моноклональное |
| Клон | C1 |
| Рекомбинантное | нет |
| Готовое к использованию | нет |
| Концентрация | 1 мг/мл |
| Конъюгат | По запросу: HRP, biotin, PerCP, PE, Cy3, FITC, Cy7, Cy5.5, PE-Cy5, PE-Cy7, PerCp-Cy5.5, APC, Cy5, PE-Cy3, PE-Cy5.5, APC-Cy7, Biotin-APC, FITC-Biotin, TRITC, APC-Cy5, AF488, AF594, AF405, AF555, AF700, AF647, AF750 |
| Валидировано для | IHC WB Иммуногистохимия; Вестерн-блоттинг |
| Рекомендуемые разведения | WB: 0.5-2 мкг/мл; IHC: 5-20 мкг/мл; ICC: 5-20 мкг/мл; Оптимальное разведение определяется конечным потребителем |
| Метод очистки | Аффинная хроматография с белком А и белком G |
| Состав буфера | 0.01M PBS, pH7.4, 0.05% Proclin-300, 50% глицерин |
| Условия доставки | термобокс с аккумуляторами холода |
| Условия хранения | Сразу после получения аликвотировать и хранить при -20ºС до 24 месяцев. Для частого использования хранить при +4ºС не более 2 недель. Избегать повторения циклов замерзания/оттаивания |
| Срок хранения | 24 месяца |
| Производитель | Cloud-Clone Corp. |
| Ссылка на страницу товара на сайте производителя | http://www.cloud-clone.com/products/MAB810Hu23.html |
|
Артикул
|
Наименование |
Производитель
|
|---|
|
Артикул
|
Наименование |
Производитель
|
|---|
|
Артикул
|
Наименование |
Производитель
|
|---|
|
Артикул
|
Наименование |
Производитель
|
|---|
Акции и предложения
Популярные продукты:
Anti-Puromycin Sensitive Aminopeptidase (PSA) Polyclonal Antibody (FAE206Hu01)
Источник (хозяин): кролик
Реактивность подтвержденная: человек
Валидировано для: FCM
Реактивность подтвержденная: человек
Валидировано для: FCM
ELISA Kit DIY Materials for Fatty Acid Synthase (FASN) (KSC470Ga01)
Организм: курица
Диапазон определения: 6.25-400 пг/мл
Чувствительность: 2.57 пг/мл
Диапазон определения: 6.25-400 пг/мл
Чувствительность: 2.57 пг/мл
Monoclonal Antibody to Tumor Susceptibility Gene 101 (TSG101) (MAC814Hu22)
Источник (хозяин): мышь
Реактивность подтвержденная: человек
Валидировано для: WB
Реактивность подтвержденная: человек
Валидировано для: WB
Rat Carbohyde sulfotransferase 10(CHST10) ELISA kit (E02C1704)
Организм: крыса
Sheep Genistein ELISA kit (E14G0608)
Организм: овца
Rat Mannose Phosphate Isomerase ELISA kit (E02M0021)
Организм: крыса

