| UNIPROT | Q14764 |
| Иммуноген | Рекомбинантный белок, соответствующий человеческому MVP |
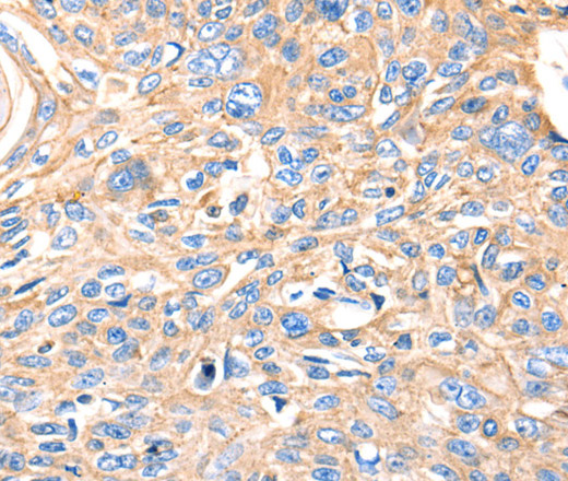
MVP Polyclonal Antibody (E-AB-10434)
Реактивность подтвержденная:
человек, мышь, крыса
Источник (хозяин):
кролик
Валидировано для:
IHC
WB
Характеристики
Техническое описание
| Каталожный номер | E-AB-10434 |
| Название антигена | Major Vault Protein (MVP) |
| UNIPROT | Q14764 |
| Иммуноген | Рекомбинантный белок, соответствующий человеческому MVP |
| Английские синонимы | LRP, VAULT1, Lung resistance-related protein |
Реактивность подтвержденная Нужна другая реактивность? |
человек, мышь, крыса |
| Источник (хозяин) | кролик |
| Изотип | IgG |
| Клональность | поликлональное |
| Рекомбинантное | нет |
| Готовое к использованию | нет |
| Концентрация | 0.3 мг/мл |
| Конъюгат | нет |
| Валидировано для | IHC WB Иммуногистохимия; Вестерн-блоттинг |
| Рекомендуемые разведения | WB 1:500-1:2000; IHC 1:50-1:200 |
| Метод очистки | Аффинная хроматография |
| Состав буфера | PBS с 0.05% азид натрия и 50% глицерин, PH7.4 |
| RRID | AB_530573 |
| Условия доставки | термобокс с аккумуляторами холода |
| Условия хранения | Хранить при -20°C - 12 месяцев. Избегать повторяющихся циклов замораживания/оттаивания |
| Срок хранения | 12 месяцев |
| Производитель | Elabscience |
| Ссылка на страницу товара на сайте производителя | https://www.elabscience.com/p-mvp_polyclonal_antibody-e_ab_10434 |
|
Артикул
|
Наименование |
Производитель
|
|---|
|
Артикул
|
Наименование |
Производитель
|
|---|
Акции и предложения
Популярные продукты:
Porcine Cytohesin 3(CYTH3) ELISA kit (E07C2266)
Организм: свинья
Anti-Major Vault Protein (MVP) Polyclonal Antibody (FAB764Hu01)
Источник (хозяин): кролик
Реактивность подтвержденная: человек
Валидировано для: FCM
Реактивность подтвержденная: человек
Валидировано для: FCM
ELISA Kit DIY Materials for Major Vault Protein (MVP) (KSB764Hu01)
Организм: человек
Диапазон определения: 0.156-10 нг/мл
Чувствительность: 0.054 нг/мл
Диапазон определения: 0.156-10 нг/мл
Чувствительность: 0.054 нг/мл
ELISA Kit DIY Materials for Gamma-cystathionase (CTH) (KSB538Ra01)
Организм: крыса
Диапазон определения: 0.312-20 нг/мл
Чувствительность: 0.117 нг/мл
Диапазон определения: 0.312-20 нг/мл
Чувствительность: 0.117 нг/мл
ELISA Kit DIY Materials for Integrin Alpha V (ITGaV) (KSB282Hu01)
Организм: человек
Диапазон определения: 0.156-10 нг/мл
Чувствительность: 0.057 нг/мл
Диапазон определения: 0.156-10 нг/мл
Чувствительность: 0.057 нг/мл
ELISA Kit DIY Materials for Thyroid Peroxidase (TPO) (KSA557Hu01)
Организм: человек
Диапазон определения: 0.78-50 нг/мл
Чувствительность: 0.31 нг/мл
Диапазон определения: 0.78-50 нг/мл
Чувствительность: 0.31 нг/мл

