| UNIPROT | P12882 |
| Иммуноген | Рекомбинантный белок, соответствующий человеческому MYH1 |
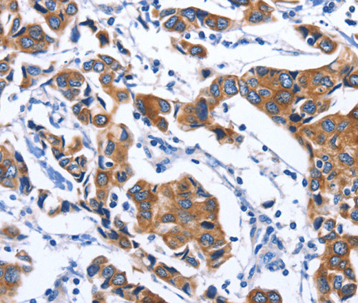
MYH1 Polyclonal Antibody (E-AB-14234)
Реактивность подтвержденная:
человек, мышь
Источник (хозяин):
кролик
Валидировано для:
IHC
Характеристики
Техническое описание
| Каталожный номер | E-AB-14234 |
| Название антигена | Myosin Heavy Chain 1, Skeletal Muscle, Adult (MYH1) |
| UNIPROT | P12882 |
| Иммуноген | Рекомбинантный белок, соответствующий человеческому MYH1 |
| Английские синонимы | MYHSA1, MYHa, MyHC-2X/D, Myosin-1, Myosin Heavy Chain IIx/d |
| Русские синонимы | Миозин II |
Реактивность подтвержденная Нужна другая реактивность? |
человек, мышь |
| Источник (хозяин) | кролик |
| Изотип | IgG |
| Клональность | поликлональное |
| Рекомбинантное | нет |
| Готовое к использованию | нет |
| Концентрация | 0.3 мг/мл |
| Конъюгат | нет |
| Валидировано для | IHC Иммуногистохимия |
| Рекомендуемые разведения | IHC 1:50-1:200 |
| Метод очистки | Аффинная хроматография |
| Состав буфера | PBS с 0.05% азид натрия и 50% глицерин, PH7.4 |
| RRID | AB_534375 |
| Условия доставки | термобокс с аккумуляторами холода |
| Условия хранения | Хранить при -20°C - 12 месяцев. Избегать повторяющихся циклов замораживания/оттаивания |
| Срок хранения | 12 месяцев |
| Производитель | Elabscience |
| Ссылка на страницу товара на сайте производителя | https://www.elabscience.com/p-myh1_polyclonal_antibody-e_ab_14234 |
|
Артикул
|
Наименование |
Производитель
|
|---|
|
Артикул
|
Наименование |
Производитель
|
|---|
|
Артикул
|
Наименование |
Производитель
|
|---|
|
Артикул
|
Наименование |
Производитель
|
|---|
|
Артикул
|
Наименование |
Производитель
|
|---|
|
Артикул
|
Наименование |
Производитель
|
|---|
|
Артикул
|
Наименование |
Производитель
|
|---|
Акции и предложения
Популярные продукты:
Sheep Fibulin 3(FBLN3) ELISA kit (E14F0394)
Организм: овца
Mouse Myosin Heavy Chain 1 (E03M0525)
Организм: мышь
MYH1 Polyclonal Antibody (E-AB-14234)
Источник (хозяин): кролик
Реактивность подтвержденная: человек, мышь
Валидировано для: IHC
Реактивность подтвержденная: человек, мышь
Валидировано для: IHC
Botensilimab ELISA Kit (KDD17204)
Организм: человек
Диапазон определения: 78.125-5000 нг/мл
Чувствительность: 33.12 нг/мл
Диапазон определения: 78.125-5000 нг/мл
Чувствительность: 33.12 нг/мл
Recombinant GRB2 Related Adaptor Protein 2 (GRAP2) (RPH967Mu01)
Источник (хозяин): E.coli
Организм: мышь
Фрагмент: Arg20-Ala262 (Accession # O89100)
Теги: N-концевой His-Tag
Биоактивность: нет
Организм: мышь
Фрагмент: Arg20-Ala262 (Accession # O89100)
Теги: N-концевой His-Tag
Биоактивность: нет
Rabbit Anti-NeuN Antibody (SAA2241) (RHA00601)
Источник (хозяин): кролик
Реактивность подтвержденная: человек, мышь, крыса
Валидировано для: FCM, ICC, IF, IHC, WB
Реактивность подтвержденная: человек, мышь, крыса
Валидировано для: FCM, ICC, IF, IHC, WB

