| UNIPROT | Q9NX14 |
| Иммуноген | Рекомбинантный гибридный белок из человеческого NDUFB11 (NP_061929.2) |
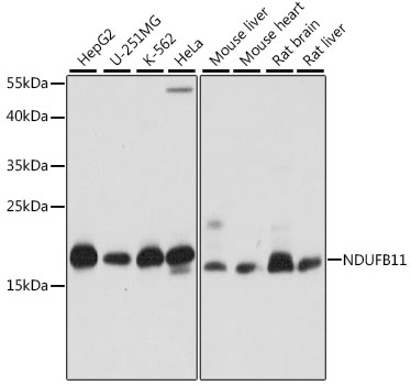
NDUFB11 Polyclonal Antibody (E-AB-66501)
Реактивность подтвержденная:
человек, мышь, крыса
Источник (хозяин):
кролик
Валидировано для:
WB
Характеристики
Техническое описание
| Каталожный номер | E-AB-66501 |
| Название антигена | NADH Dehydrogenase Ubiquinone 1 Beta Subcomplex 11 (NDUFb11) |
| UNIPROT | Q9NX14 |
| Иммуноген | Рекомбинантный гибридный белок из человеческого NDUFB11 (NP_061929.2) |
| Английские синонимы | ESSS, NP17.3, Np15, Complex I NP17.3 Subunit, Complex I-ESSS, NADH-ubiquinone oxidoreductase ESSS subunit, Neuronal protein 17.3 |
Реактивность подтвержденная Нужна другая реактивность? |
человек, мышь, крыса |
| Источник (хозяин) | кролик |
| Изотип | IgG |
| Клональность | поликлональное |
| Рекомбинантное | нет |
| Готовое к использованию | нет |
| Концентрация | 1мг/мл |
| Конъюгат | нет |
| Валидировано для | WB Вестерн-блоттинг |
| Рекомендуемые разведения | WB 1:500-1:2000 |
| Метод очистки | Аффинная хроматография |
| Состав буфера | PBS с 0.02% азид натрия, 50% глицерин, pH7.3 |
| Условия доставки | термобокс с аккумуляторами холода |
| Условия хранения | Хранить при -20°C - 12 месяцев. Избегать повторяющихся циклов замораживания/оттаивания |
| Срок хранения | 12 месяцев |
| Производитель | Elabscience |
| Ссылка на страницу товара на сайте производителя | https://www.elabscience.com/p-ndufb11_polyclonal_antibody-e_ab_66501 |
|
Артикул
|
Наименование |
Производитель
|
|---|
|
Артикул
|
Наименование |
Производитель
|
|---|
|
Артикул
|
Наименование |
Производитель
|
|---|
Акции и предложения
Популярные продукты:
Porcine Angiotensin 3 ELISA kit (E07A0205)
Организм: свинья
Bovine Angiopoietin 2 ELISA kit (E11A0503)
Организм: корова
Human CD302 antigen(CD302) ELISA kit (E01C1484)
Организм: человек
Porcine Protein Disulfide Isomerase A3 ELISA kit (E07P0079)
Организм: свинья
Porcine Acetylcholine ELISA kit (E07A0711)
Организм: свинья
Porcine Ceruloplasmin ELISA kit (E07C0090)
Организм: свинья

