| UNIPROT | O75489 |
| Иммуноген | Рекомбинантный белок, соответствующий человеческому NDUFS3 |
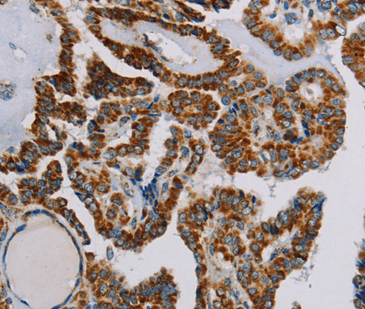
NDUFS3 Polyclonal Antibody (E-AB-11431)
Реактивность подтвержденная:
человек, мышь
Источник (хозяин):
кролик
Валидировано для:
IHC
WB
Характеристики
Техническое описание
| Каталожный номер | E-AB-11431 |
| Название антигена | NADH Dehydrogenase Ubiquinone Fe-S Protein 3 (NDUFS3) |
| UNIPROT | O75489 |
| Иммуноген | Рекомбинантный белок, соответствующий человеческому NDUFS3 |
| Английские синонимы | CI-30, Complex I 30kDa Subunit, NADH-ubiquinone oxidoreductase 30 kDa subunit, NADH dehydrogenase [ubiquinone] iron-sulfur protein 3, mitochondrial |
Реактивность подтвержденная Нужна другая реактивность? |
человек, мышь |
| Источник (хозяин) | кролик |
| Изотип | IgG |
| Клональность | поликлональное |
| Рекомбинантное | нет |
| Готовое к использованию | нет |
| Концентрация | 0.2 мг/мл |
| Конъюгат | нет |
| Валидировано для | IHC WB Иммуногистохимия; Вестерн-блоттинг |
| Рекомендуемые разведения | WB 1:500-1:2000; IHC 1:50-1:200 |
| Метод очистки | Аффинная хроматография |
| Состав буфера | PBS с 0.05% азид натрия и 50% глицерин, PH7.4 |
| RRID | AB_531571 |
| Условия доставки | термобокс с аккумуляторами холода |
| Условия хранения | Хранить при -20°C - 12 месяцев. Избегать повторяющихся циклов замораживания/оттаивания |
| Срок хранения | 12 месяцев |
| Производитель | Elabscience |
| Ссылка на страницу товара на сайте производителя | https://www.elabscience.com/p-ndufs3_polyclonal_antibody-e_ab_11431 |
|
Артикул
|
Наименование |
Производитель
|
|---|
|
Артикул
|
Наименование |
Производитель
|
|---|
Акции и предложения
Популярные продукты:
Multiplex Assay Kit for Immunoglobulin E (IgE) (LMA545Rb)
Организм: кролик
Диапазон определения: 0.98-1000 пг/мл
Чувствительность: 0.327 пг/мл
Диапазон определения: 0.98-1000 пг/мл
Чувствительность: 0.327 пг/мл
Monkey Filamin C, Gamma ELISA kit (E09F0101)
Организм: обезьяна
Sheep Thymidine phosphorylase ELISA kit (E14T0031)
Организм: овца
Human Thymidine phosphorylase ELISA kit (E01T0031)
Организм: человек
Диапазон определения: 2.5-50 нг/мл
Чувствительность: 0.1 нг/мл
Диапазон определения: 2.5-50 нг/мл
Чувствительность: 0.1 нг/мл
Monkey Forkhead Box Protein O1 ELISA kit (E09F0115)
Организм: обезьяна
Anti-Calreticulin/CALR Antibody (R1B38) (RHD75201)
Источник (хозяин): кролик
Реактивность подтвержденная: человек, мышь, крыса
Валидировано для: FCM, IF, IHC, IP, WB
Реактивность подтвержденная: человек, мышь, крыса
Валидировано для: FCM, IF, IHC, IP, WB

