| UNIPROT | Q15653 |
| Иммуноген | KLH-конъюгированный синтетический пептид, соответствующий мышиному IKBβ |
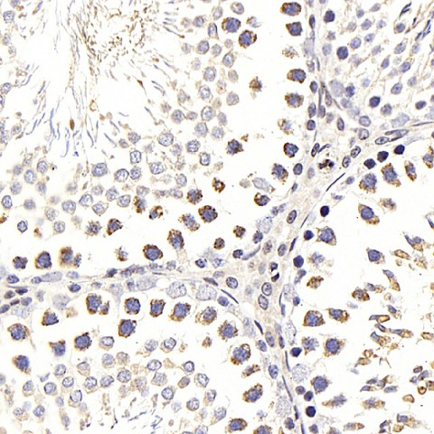
NFKBIB Polyclonal Antibody (E-AB-70167)
Реактивность подтвержденная:
человек, мышь, крыса
Источник (хозяин):
кролик
Валидировано для:
IHC
Характеристики
Техническое описание
| Каталожный номер | E-AB-70167 |
| Название антигена | Inhibitory Subunit Of NF Kappa B Beta (IkBb) |
| UNIPROT | Q15653 |
| Иммуноген | KLH-конъюгированный синтетический пептид, соответствующий мышиному IKBβ |
| Английские синонимы | TRIP9, NFKBIB, Thyroid receptor-interacting protein 9, Nuclear Factor Of Kappa Light Polypeptide Gene Enhancer In B-Cells Inhibitor,Beta, NF-Kappa-B Inhibitor Beta |
Реактивность подтвержденная Нужна другая реактивность? |
человек, мышь, крыса |
| Источник (хозяин) | кролик |
| Изотип | IgG |
| Клональность | поликлональное |
| Рекомбинантное | нет |
| Готовое к использованию | нет |
| Концентрация | 0.66 мг/мл |
| Конъюгат | нет |
| Валидировано для | IHC Иммуногистохимия |
| Рекомендуемые разведения | IHC 1:300 |
| Метод очистки | Аффинная хроматография |
| Состав буфера | PBS с 0.02% азид натрия, 1% стабилизирующий белок и 50% глицерин, pH7.4 |
| RRID | AB_558471 |
| Условия доставки | термобокс с аккумуляторами холода |
| Условия хранения | Хранить при -20°C - 12 месяцев. Избегать повторяющихся циклов замораживания/оттаивания |
| Срок хранения | 12 месяцев |
| Производитель | Elabscience |
| Ссылка на страницу товара на сайте производителя | https://www.elabscience.com/p-nfkbib_polyclonal_antibody-e_ab_70167 |
|
Артикул
|
Наименование |
Производитель
|
|---|
|
Артикул
|
Наименование |
Производитель
|
|---|
|
Артикул
|
Наименование |
Производитель
|
|---|
|
Артикул
|
Наименование |
Производитель
|
|---|
Акции и предложения
Популярные продукты:
Anti-Human SLC30A8 hIgG Antibody (SAA1702) (RHJ18802)
Источник (хозяин): человек
Реактивность подтвержденная: человек
Валидировано для: ELISA
Реактивность подтвержденная: человек
Валидировано для: ELISA
ELISA Kit DIY Materials for Cytochrome P450 1A2 (CYP1A2) (KSD294Ra01)
Организм: крыса
Диапазон определения: 0.312-20 нг/мл
Чувствительность: 0.122 нг/мл
Диапазон определения: 0.312-20 нг/мл
Чувствительность: 0.122 нг/мл
Goat Succinic Acid ELISA Kit (E06S0475)
Организм: коза
Monkey Cingulin(CGN) ELISA kit (E09C1644)
Организм: обезьяна
Human Heparan sulfate glucosamine 3 O sulfotransferase 2(HS3ST2) ELISA kit (E01H0363)
Организм: человек
Диапазон определения: 1-25 нг/мл
Чувствительность: 0.1 нг/мл
Диапазон определения: 1-25 нг/мл
Чувствительность: 0.1 нг/мл
Porcine Copine 1(CPNE1) ELISA kit (E07C2010)
Организм: свинья

