| UNIPROT | Q9Y697 |
| Иммуноген | Гибридный белок, соответствующий человеческому NFS1 |
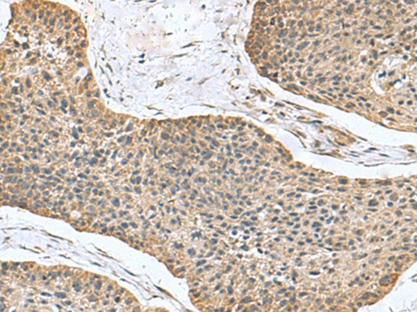
NFS1 Polyclonal Antibody (E-AB-53070)
Реактивность подтвержденная:
человек, мышь
Источник (хозяин):
кролик
Валидировано для:
IHC
WB
Характеристики
Техническое описание
| Каталожный номер | E-AB-53070 |
| Название антигена | Nitrogen Fixation 1 Homolog (NFS1) |
| UNIPROT | Q9Y697 |
| Иммуноген | Гибридный белок, соответствующий человеческому NFS1 |
| Английские синонимы | HUSSY-08, IscS, NIFS, Cysteine Desulfurase,Mitochondrial |
Реактивность подтвержденная Нужна другая реактивность? |
человек, мышь |
| Источник (хозяин) | кролик |
| Изотип | IgG |
| Клональность | поликлональное |
| Рекомбинантное | нет |
| Готовое к использованию | нет |
| Концентрация | 1.74 мг/мл |
| Конъюгат | нет |
| Валидировано для | IHC WB Иммуногистохимия; Вестерн-блоттинг |
| Рекомендуемые разведения | WB 1:1000-1:5000; IHC 1:100-1:200 |
| Метод очистки | Аффинная очистка с антигеном |
| Состав буфера | PBS с 0.05% NaN3 и 40% глицерин,pH7.4 |
| Условия доставки | термобокс с аккумуляторами холода |
| Условия хранения | Хранить при -20°C - 12 месяцев. Избегать повторяющихся циклов замораживания/оттаивания |
| Срок хранения | 12 месяцев |
| Производитель | Elabscience |
| Ссылка на страницу товара на сайте производителя | https://www.elabscience.com/p-nfs1_polyclonal_antibody-e_ab_53070 |
|
Артикул
|
Наименование |
Производитель
|
|---|
Акции и предложения
Популярные продукты:
Anti-Human CD39/ENTPD1 Nanobody (SAb2332) (RHE74004)
Источник (хозяин): альпака
Реактивность подтвержденная: человек
Валидировано для: ELISA
Реактивность подтвержденная: человек
Валидировано для: ELISA
Rat S adenosyl L methionine ELISA kit (E02S0065)
Организм: крыса
Guinea Pig 39S ribosomal protein L4, mitochondrial(MRPL4) ELISA kit (E05M0474)
Организм: морская свинка
Human Angiogenin ELISA kit (E01A0501)
Организм: человек
Диапазон определения: 50-1000 пг/мл
Чувствительность: 1 пг/мл
Диапазон определения: 50-1000 пг/мл
Чувствительность: 1 пг/мл
Recombinant Human ACTN4 protein(His tag) (PDEH100765)
Источник (хозяин): E.coli
Организм: человек
Фрагмент: Met1-Lys300
Теги: N-His & C-His
Биоактивность: нет
Организм: человек
Фрагмент: Met1-Lys300
Теги: N-His & C-His
Биоактивность: нет
Recombinant Human ACTN1 protein(His tag) (PDEH100752)
Источник (хозяин): E.coli
Организм: человек
Фрагмент: Glu30-Gln253
Теги: N-His & C-His
Биоактивность: нет
Организм: человек
Фрагмент: Glu30-Gln253
Теги: N-His & C-His
Биоактивность: нет

