| UNIPROT | O00482 |
| Иммуноген | Рекомбинантный гибридный белок из человеческого NR5A2 (NP_003813.1) |
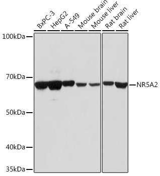
NR5A2 Polyclonal Antibody (E-AB-66126)
Реактивность подтвержденная:
человек, мышь, крыса
Источник (хозяин):
кролик
Валидировано для:
WB
Характеристики
Техническое описание
| Каталожный номер | E-AB-66126 |
| Название антигена | Liver Receptor Homolog 1 (LRH1) |
| UNIPROT | O00482 |
| Иммуноген | Рекомбинантный гибридный белок из человеческого NR5A2 (NP_003813.1) |
| Английские синонимы | NR5A2, B1F, B1F2, CPF, FTF, FTZ-F1, LRH-1, hB1F, hB1F-2, Hepatocytic transcription factor, Alpha-1-fetoprotein transcription factor, Nuclear Receptor Subfamily 5,Group A,Member 2 |
Реактивность подтвержденная Нужна другая реактивность? |
человек, мышь, крыса |
| Источник (хозяин) | кролик |
| Изотип | IgG |
| Клональность | поликлональное |
| Рекомбинантное | нет |
| Готовое к использованию | нет |
| Концентрация | 1мг/мл |
| Конъюгат | нет |
| Валидировано для | WB Вестерн-блоттинг |
| Рекомендуемые разведения | WB 1:500-1:2000 |
| Метод очистки | Аффинная хроматография |
| Состав буфера | PBS с 0.02% азид натрия, 50% глицерин, pH7.3 |
| Условия доставки | термобокс с аккумуляторами холода |
| Условия хранения | Хранить при -20°C - 12 месяцев. Избегать повторяющихся циклов замораживания/оттаивания |
| Срок хранения | 12 месяцев |
| Производитель | Elabscience |
| Ссылка на страницу товара на сайте производителя | https://www.elabscience.com/p-nr5a2_polyclonal_antibody-e_ab_66126 |
|
Артикул
|
Наименование |
Производитель
|
|---|
|
Артикул
|
Наименование |
Производитель
|
|---|
|
Артикул
|
Наименование |
Производитель
|
|---|
|
Артикул
|
Наименование |
Производитель
|
|---|
Акции и предложения
Популярные продукты:
5HT1F Receptor Mouse Monoclonal Antibody (BF9316)
Источник (хозяин): мышь
Реактивность подтвержденная: человек, мышь
Валидировано для: WB
Реактивность подтвержденная: человек, мышь
Валидировано для: WB
Cyclin F Mouse Monoclonal Antibody (BF8297)
Источник (хозяин): мышь
Реактивность подтвержденная: человек, мышь, крыса
Валидировано для: WB
Реактивность подтвержденная: человек, мышь, крыса
Валидировано для: WB
MCM2 Mouse Monoclonal Antibody (BF8427)
Источник (хозяин): мышь
Реактивность подтвержденная: человек, крыса
Валидировано для: IHC, WB
Реактивность подтвержденная: человек, крыса
Валидировано для: IHC, WB
Mouse Anti-Plasmodium berghei CSP Antibody (SAb2279) (RXX55206)
Источник (хозяин): мышь
Реактивность подтвержденная: простейшие
Валидировано для: ELISA, NEUT
Реактивность подтвержденная: простейшие
Валидировано для: ELISA, NEUT
Bovine Extracellular Matrix Protein 1 ELISA kit (E11E0039)
Организм: корова
Mouse Dysferlin ELISA kit (E03D0325)
Организм: мышь

