| UNIPROT | P30990 |
| Иммуноген | KLH-конъюгированный синтетический пептид, соответствующий мышиному Neurotensin |
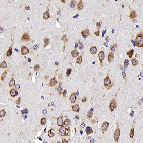
NTS Polyclonal Antibody (E-AB-70214)
Реактивность подтвержденная:
человек, мышь, крыса
Источник (хозяин):
кролик
Валидировано для:
IHC
WB
Характеристики
Техническое описание
| Каталожный номер | E-AB-70214 |
| Название антигена | Neurotensin (NT) |
| UNIPROT | P30990 |
| Иммуноген | KLH-конъюгированный синтетический пептид, соответствующий мышиному Neurotensin |
| Английские синонимы | NTS, NTS1, NmN-125, NN, Tail peptide, Large neuromedin N |
Реактивность подтвержденная Нужна другая реактивность? |
человек, мышь, крыса |
| Источник (хозяин) | кролик |
| Изотип | IgG |
| Клональность | поликлональное |
| Рекомбинантное | нет |
| Готовое к использованию | нет |
| Концентрация | 0.54 мг/мл |
| Конъюгат | нет |
| Валидировано для | IHC WB Иммуногистохимия; Вестерн-блоттинг |
| Рекомендуемые разведения | WB 1:500-1:2000; IHC 1:300-1:800 |
| Метод очистки | Аффинная хроматография |
| Состав буфера | PBS с 0.02% азид натрия, 1% стабилизирующий белок и 50% глицерин, pH7.4 |
| RRID | AB_558517 |
| Условия доставки | термобокс с аккумуляторами холода |
| Условия хранения | Хранить при -20°C - 12 месяцев. Избегать повторяющихся циклов замораживания/оттаивания |
| Срок хранения | 12 месяцев |
| Производитель | Elabscience |
| Ссылка на страницу товара на сайте производителя | https://www.elabscience.com/p-nts_polyclonal_antibody-e_ab_70214 |
|
Артикул
|
Наименование |
Производитель
|
|---|
|
Артикул
|
Наименование |
Производитель
|
|---|
|
Артикул
|
Наименование |
Производитель
|
|---|
|
Артикул
|
Наименование |
Производитель
|
|---|
|
Артикул
|
Наименование |
Производитель
|
|---|
|
Артикул
|
Наименование |
Производитель
|
|---|
Акции и предложения
Популярные продукты:
Rabbit Small heterodimer partner ELISA kit (E04S0237)
Организм: кролик
PNLIP Polyclonal Antibody (E-AB-61690)
Источник (хозяин): кролик
Реактивность подтвержденная: человек, мышь
Валидировано для: IF, IHC, WB
Реактивность подтвержденная: человек, мышь
Валидировано для: IF, IHC, WB
NTS Polyclonal Antibody (E-AB-70214)
Источник (хозяин): кролик
Реактивность подтвержденная: человек, мышь, крыса
Валидировано для: IHC, WB
Реактивность подтвержденная: человек, мышь, крыса
Валидировано для: IHC, WB
NR0B2 Polyclonal Antibody (E-AB-67353)
Источник (хозяин): кролик
Реактивность подтвержденная: человек, мышь, крыса
Валидировано для: WB
Реактивность подтвержденная: человек, мышь, крыса
Валидировано для: WB
Monoclonal Antibody to Tumor Necrosis Factor Ligand Superfamily, Member 14 (TNFSF14) (MAA827Hu21)
Источник (хозяин): мышь
Реактивность подтвержденная: человек
Валидировано для: WB
Реактивность подтвержденная: человек
Валидировано для: WB

