| UNIPROT | Q8N1F7 |
| Иммуноген | Рекомбинантный гибридный белок из человеческого NUP93 (NP_055484.3) |
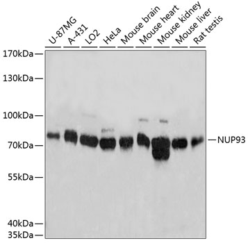
NUP93 Polyclonal Antibody (E-AB-65475)
Реактивность подтвержденная:
человек, мышь, крыса
Источник (хозяин):
кролик
Валидировано для:
WB
Характеристики
Техническое описание
| Каталожный номер | E-AB-65475 |
| Название антигена | Nucleoporin 93kDa (NUP93) |
| UNIPROT | Q8N1F7 |
| Иммуноген | Рекомбинантный гибридный белок из человеческого NUP93 (NP_055484.3) |
| Английские синонимы | Nucleoporin Nup93, Nuclear pore complex protein Nup93 |
Реактивность подтвержденная Нужна другая реактивность? |
человек, мышь, крыса |
| Источник (хозяин) | кролик |
| Изотип | IgG |
| Клональность | поликлональное |
| Рекомбинантное | нет |
| Готовое к использованию | нет |
| Концентрация | 1мг/мл |
| Конъюгат | нет |
| Валидировано для | WB Вестерн-блоттинг |
| Рекомендуемые разведения | WB 1:500-1:2000 |
| Метод очистки | Аффинная хроматография |
| Состав буфера | PBS с 0.02% азид натрия, 50% глицерин, pH7.3 |
| RRID | AB_529962 |
| Условия доставки | термобокс с аккумуляторами холода |
| Условия хранения | Хранить при -20°C - 12 месяцев. Избегать повторяющихся циклов замораживания/оттаивания |
| Срок хранения | 12 месяцев |
| Производитель | Elabscience |
| Ссылка на страницу товара на сайте производителя | https://www.elabscience.com/p-nup93_polyclonal_antibody-e_ab_65475 |
|
Артикул
|
Наименование |
Производитель
|
|---|
|
Артикул
|
Наименование |
Производитель
|
|---|
Акции и предложения
Популярные продукты:
Anti-Human NUP93 Polyclonal Antibody (PHK57701)
Источник (хозяин): кролик
Реактивность подтвержденная: человек
Валидировано для: ELISA, IHC, WB
Реактивность подтвержденная: человек
Валидировано для: ELISA, IHC, WB
SERPINF2 Polyclonal Antibody (E-AB-90725)
Источник (хозяин): кролик
Реактивность подтвержденная: человек, мышь, крыса
Валидировано для: WB
Реактивность подтвержденная: человек, мышь, крыса
Валидировано для: WB
NUP93 Polyclonal Antibody (E-AB-65475)
Источник (хозяин): кролик
Реактивность подтвержденная: человек, мышь, крыса
Валидировано для: WB
Реактивность подтвержденная: человек, мышь, крыса
Валидировано для: WB
ASC / TMS1 Polyclonal Antibody (E-AB-60228)
Источник (хозяин): кролик
Реактивность подтвержденная: человек, мышь, крыса
Валидировано для: IF, WB
Реактивность подтвержденная: человек, мышь, крыса
Валидировано для: IF, WB
Active Amine Oxidase, Copper 3 (AOC3) (APC298Hu61)
Источник (хозяин): 293F
Организм: человек
Фрагмент: Gly27-Asn763
Теги: N-концевой His-Tag
Биоактивность: да
Организм: человек
Фрагмент: Gly27-Asn763
Теги: N-концевой His-Tag
Биоактивность: да
Recombinant Amine Oxidase, Copper 3 (AOC3) (RPC298Mu01)
Источник (хозяин): E.coli
Организм: мышь
Фрагмент: Asp386-His684
Теги: N-концевой His-Tag
Биоактивность: нет
Организм: мышь
Фрагмент: Asp386-His684
Теги: N-концевой His-Tag
Биоактивность: нет

