| UNIPROT | Q13438 |
| Иммуноген | Рекомбинантный белок, соответствующий человеческому OS9 |
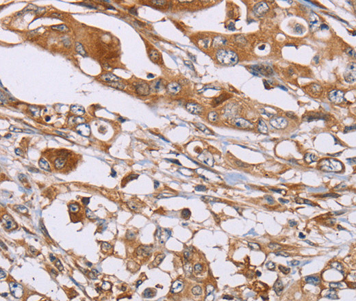
OS9 Polyclonal Antibody (E-AB-15273)
Реактивность подтвержденная:
человек, мышь
Источник (хозяин):
кролик
Валидировано для:
IHC
WB
Характеристики
Техническое описание
| Каталожный номер | E-AB-15273 |
| Название антигена | Osteosarcoma Amplified 9 (OS9) |
| UNIPROT | Q13438 |
| Иммуноген | Рекомбинантный белок, соответствующий человеческому OS9 |
| Английские синонимы | ERLEC2, Amplified In Osteosarcoma, Endoplasmic Reticulum Lectin 2, Erlectin 2 |
Реактивность подтвержденная Нужна другая реактивность? |
человек, мышь |
| Источник (хозяин) | кролик |
| Изотип | IgG |
| Клональность | поликлональное |
| Рекомбинантное | нет |
| Готовое к использованию | нет |
| Концентрация | 0.3 мг/мл |
| Конъюгат | нет |
| Валидировано для | IHC WB Иммуногистохимия; Вестерн-блоттинг |
| Рекомендуемые разведения | WB 1:500-1:2000; IHC 1:25-1:100 |
| Метод очистки | Аффинная хроматография |
| Состав буфера | PBS с 0.05% азид натрия и 50% глицерин, PH7.4 |
| RRID | AB_535415 |
| Условия доставки | термобокс с аккумуляторами холода |
| Условия хранения | Хранить при -20°C - 12 месяцев. Избегать повторяющихся циклов замораживания/оттаивания |
| Срок хранения | 12 месяцев |
| Производитель | Elabscience |
| Ссылка на страницу товара на сайте производителя | https://www.elabscience.com/p-os9_polyclonal_antibody-e_ab_15273 |
|
Артикул
|
Наименование |
Производитель
|
|---|
|
Артикул
|
Наименование |
Производитель
|
|---|
|
Артикул
|
Наименование |
Производитель
|
|---|
|
Артикул
|
Наименование |
Производитель
|
|---|
|
Артикул
|
Наименование |
Производитель
|
|---|
Акции и предложения
Популярные продукты:
Goat Zinc transporter 1 ELISA kit (E06S0855)
Организм: коза
Mouse Immunosuppressive Acidic Protein ELISA kit (E03I0052)
Организм: мышь
OS9 Polyclonal Antibody (E-AB-90389)
Источник (хозяин): кролик
Реактивность подтвержденная: человек, мышь
Валидировано для: WB
Реактивность подтвержденная: человек, мышь
Валидировано для: WB
Porcine β crystallin B3(CRYBB3) ELISA kit (E07B0893)
Организм: свинья

