| UNIPROT | P12004 |
| Иммуноген | Рекомбинантный белок, соответствующий мышиному PCNA |
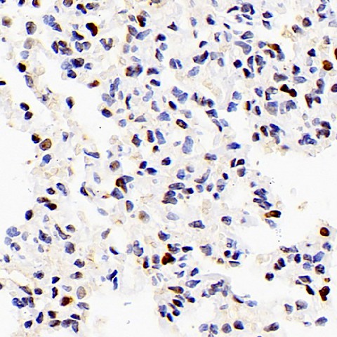
PCNA Polyclonal Antibody (E-AB-70285)
Реактивность подтвержденная:
человек, мышь, крыса
Источник (хозяин):
кролик
Валидировано для:
IHC
WB
Характеристики
Техническое описание
| Каталожный номер | E-AB-70285 |
| Название антигена | Proliferating Cell Nuclear Antigen (PCNA) |
| UNIPROT | P12004 |
| Иммуноген | Рекомбинантный белок, соответствующий мышиному PCNA |
| Английские синонимы | Cyclin |
Реактивность подтвержденная Нужна другая реактивность? |
человек, мышь, крыса |
| Источник (хозяин) | кролик |
| Изотип | IgG |
| Клональность | поликлональное |
| Рекомбинантное | нет |
| Готовое к использованию | нет |
| Концентрация | 470 мкг/мл |
| Конъюгат | нет |
| Валидировано для | IHC WB Иммуногистохимия; Вестерн-блоттинг |
| Рекомендуемые разведения | WB 1:500-1:2000; IHC 1:500-1:1000 |
| Метод очистки | Аффинная хроматография |
| Состав буфера | PBS с 0.02% азид натрия, 1% стабилизирующий белок и 50% глицерин, pH7.4 |
| RRID | AB_558587 |
| Условия доставки | термобокс с аккумуляторами холода |
| Условия хранения | Хранить при -20°C - 12 месяцев. Избегать повторяющихся циклов замораживания/оттаивания |
| Срок хранения | 12 месяцев |
| Производитель | Elabscience |
| Ссылка на страницу товара на сайте производителя | https://www.elabscience.com/p-pcna_polyclonal_antibody-e_ab_70285 |
|
Артикул
|
Наименование |
Производитель
|
|---|
|
Артикул
|
Наименование |
Производитель
|
|---|
|
Артикул
|
Наименование |
Производитель
|
|---|
|
Артикул
|
Наименование |
Производитель
|
|---|
|
Артикул
|
Наименование |
Производитель
|
|---|
|
Артикул
|
Наименование |
Производитель
|
|---|
|
Артикул
|
Наименование |
Производитель
|
|---|
|
Артикул
|
Наименование |
Производитель
|
|---|
|
Артикул
|
Наименование |
Производитель
|
|---|
|
Артикул
|
Наименование |
Производитель
|
|---|
|
Артикул
|
Наименование |
Производитель
|
|---|
|
Артикул
|
Наименование |
Производитель
|
|---|
|
Артикул
|
Наименование |
Производитель
|
|---|
Акции и предложения
Популярные продукты:
Guinea Pig Cyclic guanosine monophosphate-specific phosphodiesterase type 5 ELISA kit (E05C2783)
Организм: морская свинка
Porcine Platelet Derived Growth Factor D ELISA kit (E07P0075)
Организм: свинья
Rabbit Immunoglobulin E ELISA kit (E04I0037)
Организм: кролик
Диапазон определения: 50-1000 мг/л
Чувствительность: 1 мг/л
Диапазон определения: 50-1000 мг/л
Чувствительность: 1 мг/л
Recombinant Human NPM1 Protein, N-His (YHC21701)
Источник (хозяин): E.coli
Организм: человек
Фрагмент: Gly20-Lys154
Теги: N-His
Биоактивность: нет
Организм: человек
Фрагмент: Gly20-Lys154
Теги: N-His
Биоактивность: нет
ELISA Kit DIY Materials for Aspartate Beta Hydroxylase (ASPH) (KSG151Hu01)
Организм: человек
Диапазон определения: 0.156-10 нг/мл
Чувствительность: 0.057 нг/мл
Диапазон определения: 0.156-10 нг/мл
Чувствительность: 0.057 нг/мл

