| UNIPROT | Q9NZQ7 |
| Иммуноген | Рекомбинантный гибридный белок из человеческого PD-L1 (NP_054862.1) |
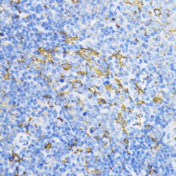
PD-L1 Polyclonal Antibody (E-AB-65810)
Реактивность подтвержденная:
человек, мышь, крыса
Источник (хозяин):
кролик
Валидировано для:
IHC
Характеристики
Техническое описание
| Каталожный номер | E-AB-65810 |
| Название антигена | Programmed Cell Death Protein 1 Ligand 1 (PDCD1LG1) |
| UNIPROT | Q9NZQ7 |
| Иммуноген | Рекомбинантный гибридный белок из человеческого PD-L1 (NP_054862.1) |
| Английские синонимы | CD274, CD 274, CD-274, PDL1, B7-H, B7H1, PD-L1, PDCD1L1, PDCD1-LG1, Programed Death Ligand 1, PDL-1 |
Реактивность подтвержденная Нужна другая реактивность? |
человек, мышь, крыса |
| Источник (хозяин) | кролик |
| Изотип | IgG |
| Клональность | поликлональное |
| Рекомбинантное | нет |
| Готовое к использованию | нет |
| Концентрация | 1мг/мл |
| Конъюгат | нет |
| Валидировано для | IHC Иммуногистохимия |
| Рекомендуемые разведения | IHC 1:50-1:200 |
| Метод очистки | Аффинная хроматография |
| Состав буфера | PBS с 0.02% азид натрия, 50% глицерин, pH7.3 |
| Условия доставки | термобокс с аккумуляторами холода |
| Условия хранения | Хранить при -20°C - 12 месяцев. Избегать повторяющихся циклов замораживания/оттаивания |
| Срок хранения | 12 месяцев |
| Производитель | Elabscience |
| Ссылка на страницу товара на сайте производителя | https://www.elabscience.com/p-pd_l1_polyclonal_antibody-e_ab_65810 |
|
Артикул
|
Наименование |
Производитель
|
|---|
|
Артикул
|
Наименование |
Производитель
|
|---|
|
Артикул
|
Наименование |
Производитель
|
|---|
|
Артикул
|
Наименование |
Производитель
|
|---|
|
Артикул
|
Наименование |
Производитель
|
|---|
|
Артикул
|
Наименование |
Производитель
|
|---|
Акции и предложения
Популярные продукты:
Rituximab ELISA Kit (KDC90709)
Организм: человек
Диапазон определения: 31.25-2000 нг/мл
Чувствительность: 23.65 нг/мл
Диапазон определения: 31.25-2000 нг/мл
Чувствительность: 23.65 нг/мл
PDCD4 Mouse Monoclonal Antibody (BF8141)
Источник (хозяин): мышь
Реактивность подтвержденная: человек, мышь
Валидировано для: IHC, WB
Реактивность подтвержденная: человек, мышь
Валидировано для: IHC, WB
Bovine Glucose Transporter 1 (GLUT1) ELISA Kit (E11G0195)
Организм: корова
Monkey C C chemokine receptor type 3(CCR3) ELISA kit (E09C1455)
Организм: обезьяна
Human C Reactive Protein ELISA kit (E01C0009)
Организм: человек
Диапазон определения: 5-100 мкг/мл
Чувствительность: 1 мкг/мл
Диапазон определения: 5-100 мкг/мл
Чувствительность: 1 мкг/мл

