| UNIPROT | P35232 |
| Иммуноген | Рекомбинантный гибридный белок из человеческого PHB |
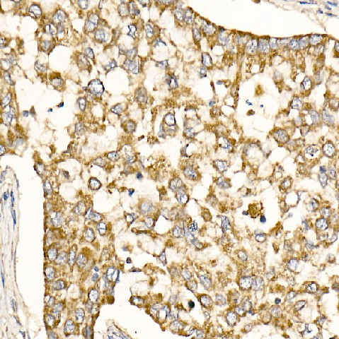
PHB Polyclonal Antibody (E-AB-66098)
Реактивность подтвержденная:
человек, мышь, крыса, обезьяна
Источник (хозяин):
кролик
Валидировано для:
IHC
WB
Характеристики
Техническое описание
| Каталожный номер | E-AB-66098 |
| Название антигена | Prohibitin (PHB) |
| UNIPROT | P35232 |
| Иммуноген | Рекомбинантный гибридный белок из человеческого PHB |
Реактивность подтвержденная Нужна другая реактивность? |
человек, мышь, крыса, обезьяна |
| Источник (хозяин) | кролик |
| Изотип | IgG |
| Клональность | поликлональное |
| Рекомбинантное | нет |
| Готовое к использованию | нет |
| Концентрация | 1 мг/мл |
| Конъюгат | нет |
| Валидировано для | IHC WB Иммуногистохимия; Вестерн-блоттинг |
| Рекомендуемые разведения | WB 1:500-1:2000; IHC 1:50-1:200 |
| Метод очистки | Аффинная хроматография |
| Состав буфера | PBS с 0.02% азид натрия,50% глицерин,pH7.3 |
| Условия доставки | термобокс с аккумуляторами холода |
| Условия хранения | Хранить при -20°C - 12 месяцев. Избегать повторяющихся циклов замораживания/оттаивания |
| Срок хранения | 12 месяцев |
| Производитель | Elabscience |
| Ссылка на страницу товара на сайте производителя | https://www.elabscience.com/p-phb_polyclonal_antibody-e_ab_66098 |
|
Артикул
|
Наименование |
Производитель
|
|---|
|
Артикул
|
Наименование |
Производитель
|
|---|
|
Артикул
|
Наименование |
Производитель
|
|---|
|
Артикул
|
Наименование |
Производитель
|
|---|
|
Артикул
|
Наименование |
Производитель
|
|---|
|
Артикул
|
Наименование |
Производитель
|
|---|
Акции и предложения
Популярные продукты:
Rabbit Integrin β 6(ITGB6) ELISA kit (E04I0444)
Организм: кролик
Anti-UNC79 Antibody (L85/23) (RHN21101)
Источник (хозяин): мышь
Реактивность подтвержденная: для всех
Валидировано для: IHC, WB
Реактивность подтвержденная: для всех
Валидировано для: IHC, WB
PTPRA Polyclonal Antibody (E-AB-52203)
Источник (хозяин): кролик
Реактивность подтвержденная: человек, мышь, крыса
Валидировано для: WB
Реактивность подтвержденная: человек, мышь, крыса
Валидировано для: WB
PHB Polyclonal Antibody (E-AB-66098)
Источник (хозяин): кролик
Реактивность подтвержденная: человек, мышь, крыса, обезьяна
Валидировано для: IHC, WB
Реактивность подтвержденная: человек, мышь, крыса, обезьяна
Валидировано для: IHC, WB
DNTT Polyclonal Antibody (E-AB-61854)
Источник (хозяин): кролик
Реактивность подтвержденная: человек, мышь, крыса
Валидировано для: WB
Реактивность подтвержденная: человек, мышь, крыса
Валидировано для: WB
DNPEP Polyclonal Antibody (E-AB-18839)
Источник (хозяин): кролик
Реактивность подтвержденная: человек, мышь
Валидировано для: IHC
Реактивность подтвержденная: человек, мышь
Валидировано для: IHC

