| UNIPROT | Q7Z3Z4 |
| Иммуноген | Рекомбинантный гибридный белок из человеческого PIWIL4 |
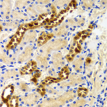
PIWIL4 Polyclonal Antibody (E-AB-92516)
Реактивность подтвержденная:
человек, крыса
Источник (хозяин):
кролик
Валидировано для:
IHC
WB
Характеристики
Техническое описание
| Каталожный номер | E-AB-92516 |
| Название антигена | Piwi Like Protein 4 (PIWIL4) |
| UNIPROT | Q7Z3Z4 |
| Иммуноген | Рекомбинантный гибридный белок из человеческого PIWIL4 |
| Английские синонимы | HIWI2, Miwi2 |
Реактивность подтвержденная Нужна другая реактивность? |
человек, крыса |
| Источник (хозяин) | кролик |
| Изотип | IgG |
| Клональность | поликлональное |
| Рекомбинантное | нет |
| Готовое к использованию | нет |
| Концентрация | 1мг/мл |
| Конъюгат | нет |
| Валидировано для | IHC WB Иммуногистохимия; Вестерн-блоттинг |
| Рекомендуемые разведения | WB 1:500-1:2000; IHC 1:50-1:200 |
| Метод очистки | Аффинная хроматография |
| Состав буфера | PBS с 0.02% азид натрия,50% глицерин,pH7.3 |
| Условия доставки | термобокс с аккумуляторами холода |
| Условия хранения | Хранить при -20°C - 12 месяцев. Избегать повторяющихся циклов замораживания/оттаивания |
| Срок хранения | 12 месяцев |
| Производитель | Elabscience |
| Ссылка на страницу товара на сайте производителя | https://www.elabscience.com/p-piwil4_polyclonal_antibody-e_ab_92516 |
|
Артикул
|
Наименование |
Производитель
|
|---|
|
Артикул
|
Наименование |
Производитель
|
|---|
Акции и предложения
Популярные продукты:
Rabbit Putrescine ELISA kit (E04P1258)
Организм: кролик
Goat Angiotensin 2 ELISA kit (E06A0204)
Организм: коза
Bovine A kinase anchor protein 2(AKAP2) ELISA kit (E11A1355)
Организм: корова
Chicken A kinase anchor protein 13(AKAP13) ELISA kit (E12A1353)
Организм: курица

