| UNIPROT | Q03405 |
| Иммуноген | Рекомбинантный белок, соответствующий человеческому PLAUR |
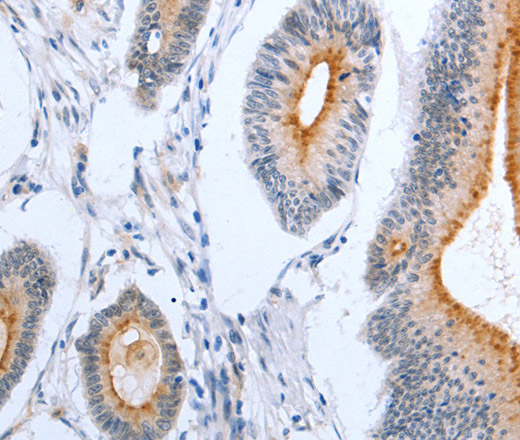
PLAUR Polyclonal Antibody (E-AB-14303)
Реактивность подтвержденная:
человек
Источник (хозяин):
кролик
Валидировано для:
IHC
WB
Характеристики
Техническое описание
| Каталожный номер | E-AB-14303 |
| Название антигена | Plasminogen Activator, Urokinase Receptor (uPAR) |
| UNIPROT | Q03405 |
| Иммуноген | Рекомбинантный белок, соответствующий человеческому PLAUR |
| Английские синонимы | CD87, CD 87, CD-87, PLAUR, PLAU-R, U-PAR, URKR, Monocyte Activation Antigen Mo3, suPAR |
Реактивность подтвержденная Нужна другая реактивность? |
человек |
| Источник (хозяин) | кролик |
| Изотип | IgG |
| Клональность | поликлональное |
| Рекомбинантное | нет |
| Готовое к использованию | нет |
| Концентрация | 0.2 мг/мл |
| Конъюгат | нет |
| Валидировано для | IHC WB Иммуногистохимия; Вестерн-блоттинг |
| Рекомендуемые разведения | WB 1:500-1:2000; IHC 1:50-1:200 |
| Метод очистки | Аффинная хроматография |
| Состав буфера | PBS с 0.05% азид натрия и 50% глицерин, PH7.4 |
| RRID | AB_534444 |
| Условия доставки | термобокс с аккумуляторами холода |
| Условия хранения | Хранить при -20°C - 12 месяцев. Избегать повторяющихся циклов замораживания/оттаивания |
| Срок хранения | 12 месяцев |
| Производитель | Elabscience |
| Ссылка на страницу товара на сайте производителя | https://www.elabscience.com/p-plaur_polyclonal_antibody-e_ab_14303 |
|
Артикул
|
Наименование |
Производитель
|
|---|
|
Артикул
|
Наименование |
Производитель
|
|---|
|
Артикул
|
Наименование |
Производитель
|
|---|
|
Артикул
|
Наименование |
Производитель
|
|---|
|
Артикул
|
Наименование |
Производитель
|
|---|
|
Артикул
|
Наименование |
Производитель
|
|---|
Акции и предложения
Популярные продукты:
ERK 1/2 Polyclonal Antibody (E-AB-31373)
Источник (хозяин): кролик
Реактивность подтвержденная: человек, мышь, крыса
Валидировано для: IHC, WB
Реактивность подтвержденная: человек, мышь, крыса
Валидировано для: IHC, WB
ABCC1 Mouse Monoclonal Antibody (BF9463)
Источник (хозяин): мышь
Реактивность подтвержденная: человек
Валидировано для: WB
Реактивность подтвержденная: человек
Валидировано для: WB
Chicken Optineurin ELISA kit (E12O0025)
Организм: курица
Rabbit Ferroportin ELISA kit (E04F0201)
Организм: кролик
Rabbit Contactin 4 ELISA kit (E04C0409)
Организм: кролик

