| UNIPROT | O14494 |
| Иммуноген | Синтетический пептид, соответствующий человеческому PPAP2A |
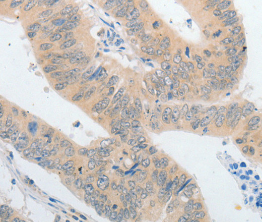
PLPP1 Polyclonal Antibody (E-AB-15817)
Реактивность подтвержденная:
человек, мышь, крыса
Источник (хозяин):
кролик
Валидировано для:
IHC
WB
Характеристики
Техническое описание
| Каталожный номер | E-AB-15817 |
| Название антигена | Phosphatidic Acid Phosphatase Type 2A (PPAP2A) |
| UNIPROT | O14494 |
| Иммуноген | Синтетический пептид, соответствующий человеческому PPAP2A |
| Английские синонимы | PPAP2-A, LLP1a, LPP1, PAP-2a, PAP2, PAP2a2, PAP2alpha2, PAPalpha1, Lipid phosphate phosphohydrolase 1, Phosphatidate phosphohydrolase type 2a |
Реактивность подтвержденная Нужна другая реактивность? |
человек, мышь, крыса |
| Источник (хозяин) | кролик |
| Изотип | IgG |
| Клональность | поликлональное |
| Рекомбинантное | нет |
| Готовое к использованию | нет |
| Концентрация | 0.4 мг/мл |
| Конъюгат | нет |
| Валидировано для | IHC WB Иммуногистохимия; Вестерн-блоттинг |
| Рекомендуемые разведения | WB 1:500-1:2000; IHC 1:25-1:100 |
| Метод очистки | Аффинная хроматография |
| Состав буфера | PBS с 0.05% азид натрия и 50% глицерин, PH7.4 |
| RRID | AB_535959 |
| Условия доставки | термобокс с аккумуляторами холода |
| Условия хранения | Хранить при -20°C - 12 месяцев. Избегать повторяющихся циклов замораживания/оттаивания |
| Срок хранения | 12 месяцев |
| Производитель | Elabscience |
| Ссылка на страницу товара на сайте производителя | https://www.elabscience.com/p-plpp1_polyclonal_antibody-e_ab_15817 |
|
Артикул
|
Наименование |
Производитель
|
|---|
Акции и предложения
Популярные продукты:
CTCF Mouse Monoclonal Antibody (BF8049)
Источник (хозяин): мышь
Реактивность подтвержденная: человек, мышь
Валидировано для: IHC, WB
Реактивность подтвержденная: человек, мышь
Валидировано для: IHC, WB
Recombinant Human BCAT1 Protein, N-His (YHF04201)
Источник (хозяин): E.coli
Организм: человек
Фрагмент: Gly174-Ser386
Теги: N-His
Биоактивность: нет
Организм: человек
Фрагмент: Gly174-Ser386
Теги: N-His
Биоактивность: нет
PLPP1 Polyclonal Antibody (E-AB-15817)
Источник (хозяин): кролик
Реактивность подтвержденная: человек, мышь, крыса
Валидировано для: IHC, WB
Реактивность подтвержденная: человек, мышь, крыса
Валидировано для: IHC, WB
Polyclonal Antibody to Complement Component 5a (C5a) (PAA388Ra01)
Источник (хозяин): кролик
Реактивность подтвержденная: крыса
Валидировано для: IHC, WB
Реактивность подтвержденная: крыса
Валидировано для: IHC, WB
ELISA Kit for Mucin 1 (MUC1) (SEA413Ra)
Организм: крыса
Диапазон определения: 0.312-20 нг/мл
Чувствительность: 0.122 нг/мл
Диапазон определения: 0.312-20 нг/мл
Чувствительность: 0.122 нг/мл

