Polyclonal Antibody to 5-Hydroxytryptamine (5-HT) (PAA808Ge01)
Реактивность подтвержденная:
для всех
Источник (хозяин):
кролик
Валидировано для:
ELISA
IHC
Характеристики
Публикации
Техническое описание
| Русское название | PAA808Ge01 Поликлональное антитело к 5-HT <Cloud-Clone,Китай> |
| Каталожный номер | PAA808Ge01 |
| Название антигена | 5-Hydroxytryptamine (5-HT) |
| Иммуноген | CPA808Ge11-BSA Conjugated 5-Hydroxytryptamine (5-HT) |
| Английские синонимы | 5HT, Serotonin, N-Methyl-Gamma |
| Русские синонимы | Динатон |
Реактивность подтвержденная Нужна другая реактивность? |
для всех |
| Источник (хозяин) | кролик |
| Клональность | поликлональное |
| Рекомбинантное | нет |
| Готовое к использованию | нет |
| Концентрация | 0.5 мг/мл |
| Конъюгат | По запросу: HRP, biotin, PerCP, PE, Cy3, FITC, Cy7, Cy5.5, PE-Cy5, PE-Cy7, PerCp-Cy5.5, APC, Cy5, PE-Cy3, PE-Cy5.5, APC-Cy7, Biotin-APC, FITC-Biotin, TRITC, APC-Cy5, AF488, AF594, AF405, AF555, AF700, AF647, AF750 |
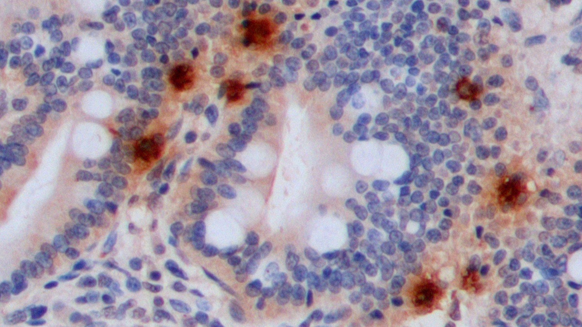
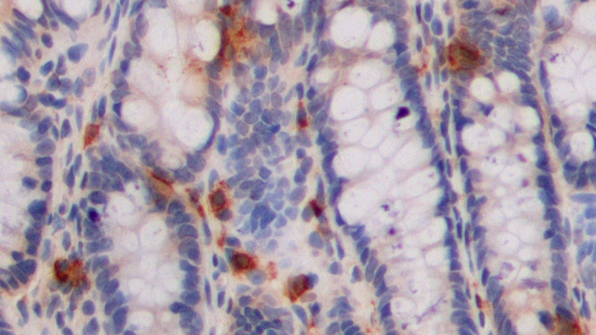
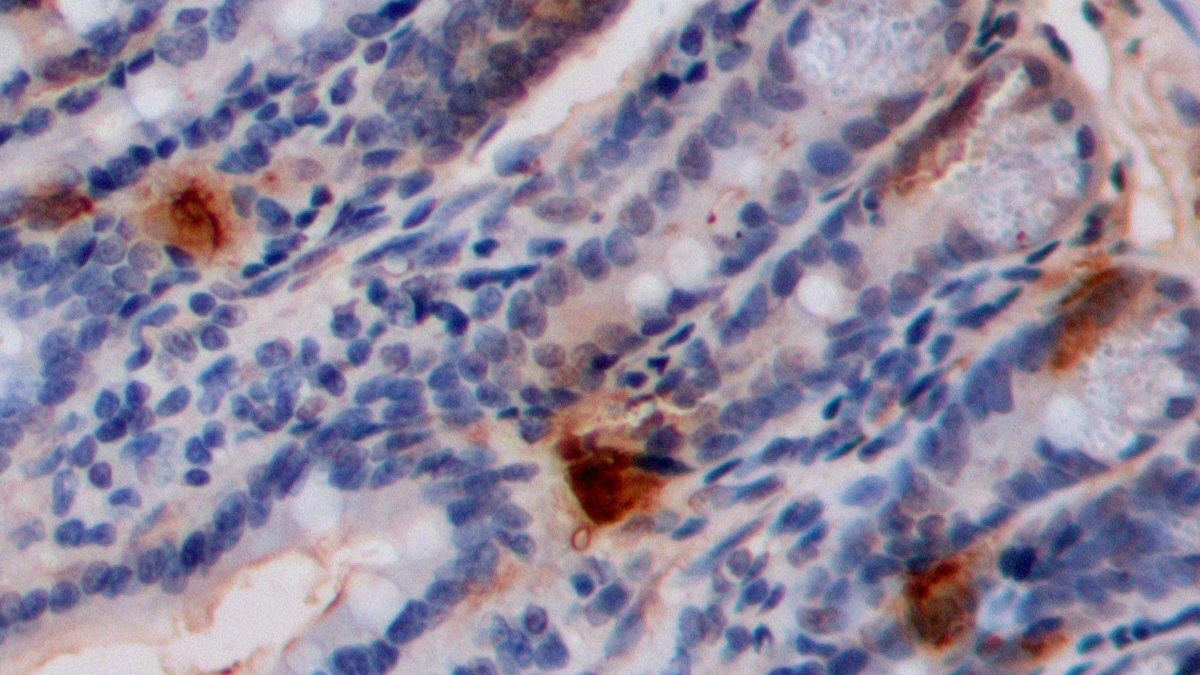
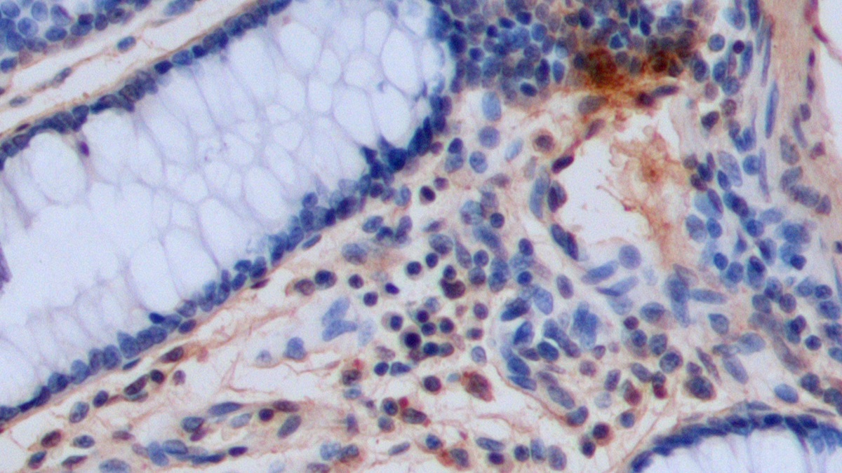
| Валидировано для | ELISA IHC Иммуноферментный анализ; Иммуногистохимия |
| Рекомендуемые разведения | ELISA: 136 нг/мл; IHC: 5-20 мкг/мл; ICC: 5-20 мкг/мл; Оптимальное разведение определяется конечным потребителем |
| Метод очистки | Антигенспецифическая аффинная хроматография с последующей аффинной хроматографией с белком А |
| Состав буфера | 0.01M PBS, pH7.4, 0.05% Proclin-300, 50% глицерин |
| Условия доставки | термобокс с аккумуляторами холода |
| Условия хранения | Сразу после получения аликвотировать и хранить при -20ºС до 24 месяцев. Для частого использования хранить при +4ºС не более 2 недель. Избегать повторения циклов замерзания/оттаивания |
| Срок хранения | 24 месяца |
| Производитель | Cloud-Clone Corp. |
| Ссылка на страницу товара на сайте производителя | http://www.cloud-clone.com/products/PAA808Ge01.html |
|
Артикул
|
Наименование |
Производитель
|
|---|
Акции и предложения
Популярные продукты:
ELISA Kit DIY Materials for Tight Junction Protein 2 (TJP2) (KSF167Hu01)
Организм: человек
Диапазон определения: 0.312-20 нг/мл
Чувствительность: 0.124 нг/мл
Диапазон определения: 0.312-20 нг/мл
Чувствительность: 0.124 нг/мл
Chicken 5-Hydroxytryptophan ELISA kit (E12H1454)
Организм: курица
Rabbit Protamine 2(PRM2) ELISA kit (E04P0867)
Организм: кролик
Mouse Protamine 2(PRM2) ELISA kit (E03P0867)
Организм: мышь
Rat Protamine 2(PRM2) ELISA kit (E02P0867)
Организм: крыса
Rabbit Methionine ELISA kit (E04M1107)
Организм: кролик

