| UNIPROT | D4A5J2 |
| Иммуноген | RPD939Ra01-Recombinant 5'-Nucleotidase, Mitochondrial (NT5M) |
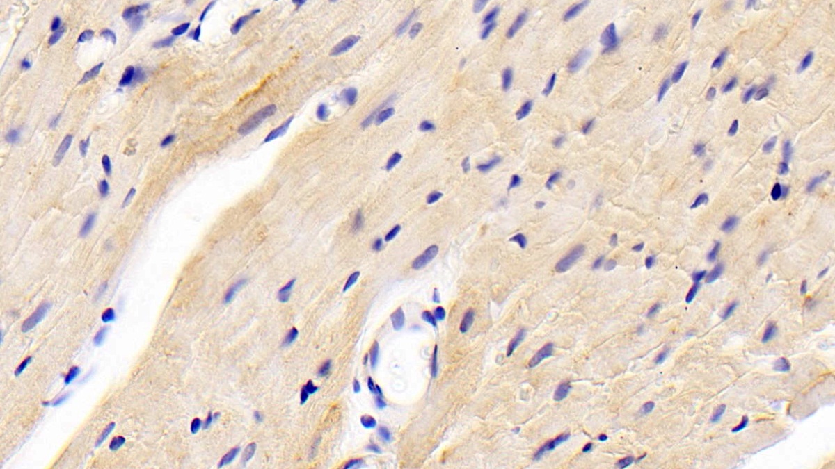
Polyclonal Antibody to 5'-Nucleotidase, Mitochondrial (NT5M) (PAD939Ra01)
Реактивность подтвержденная:
крыса
Источник (хозяин):
кролик
Валидировано для:
IHC
Характеристики
Техническое описание
| Русское название | PAD939Ra01 Поликлональное антитело к NT5M (крыса) <Cloud-Clone,Китай> |
| Каталожный номер | PAD939Ra01 |
| Название антигена | 5"-Nucleotidase, Mitochondrial (NT5M) |
| UNIPROT | D4A5J2 |
| Иммуноген | RPD939Ra01-Recombinant 5'-Nucleotidase, Mitochondrial (NT5M) |
| Английские синонимы | dNT-2, dNT2, mdN, 5"""(3""")-deoxyribonucleotidase, mitochondrial |
Реактивность подтвержденная Нужна другая реактивность? |
крыса |
| Источник (хозяин) | кролик |
| Клональность | поликлональное |
| Рекомбинантное | нет |
| Готовое к использованию | нет |
| Концентрация | 0.5 мг/мл |
| Конъюгат | По запросу: HRP, biotin, PerCP, PE, Cy3, FITC, Cy7, Cy5.5, PE-Cy5, PE-Cy7, PerCp-Cy5.5, APC, Cy5, PE-Cy3, PE-Cy5.5, APC-Cy7, Biotin-APC, FITC-Biotin, TRITC, APC-Cy5, AF488, AF594, AF405, AF555, AF700, AF647, AF750 |
| Валидировано для | IHC Иммуногистохимия |
| Рекомендуемые разведения | WB: 0.01-2 мкг/мл; IHC: 5-20 мкг/мл; ICC: 5-20 мкг/мл; Оптимальное разведение определяется конечным потребителем |
| Метод очистки | Антигенспецифическая аффинная хроматография с последующей аффинной хроматографией с белком А |
| Состав буфера | PBS, pH7.4, 0.02% NaN3, 50% глицерин |
| Условия доставки | термобокс с аккумуляторами холода |
| Условия хранения | Сразу после получения аликвотировать и хранить при -20ºС до 24 месяцев. Для частого использования хранить при +4ºС не более 2 недель. Избегать повторения циклов замерзания/оттаивания |
| Срок хранения | 24 месяца |
| Производитель | Cloud-Clone Corp. |
| Ссылка на страницу товара на сайте производителя | http://www.cloud-clone.com/products/PAD939Ra01.html |
|
Артикул
|
Наименование |
Производитель
|
|---|
|
Артикул
|
Наименование |
Производитель
|
|---|
Акции и предложения
Популярные продукты:
ELISA Kit for Tissue Inhibitors Of Metalloproteinase 3 (TIMP3) (SEA129Ra)
Организм: крыса
Диапазон определения: 0.156-10 нг/мл
Чувствительность: 0.054 нг/мл
Диапазон определения: 0.156-10 нг/мл
Чувствительность: 0.054 нг/мл
Monoclonal Antibody to Albumin (ALB) (MAB028Hu29)
Источник (хозяин): мышь
Реактивность подтвержденная: человек
Валидировано для: WB
Реактивность подтвержденная: человек
Валидировано для: WB
Human Bifunctional apoptosis regulator(BFAR) ELISA kit (E01B0794)
Организм: человек
Mouse Paralemmin 1 ELISA kit (E03P0826)
Организм: мышь
Диапазон определения: 0.5-10 нг/мл
Чувствительность: 0.1 нг/мл
Диапазон определения: 0.5-10 нг/мл
Чувствительность: 0.1 нг/мл

