| UNIPROT | Q8IZP0 |
| Иммуноген | RPJ696Hu01-Recombinant Abl Interactor 1 (ABI1) |
Polyclonal Antibody to Abl Interactor 1 (ABI1) (PAJ696Hu01)
Реактивность подтвержденная:
человек
Источник (хозяин):
кролик
Валидировано для:
IHC
WB
Характеристики
Техническое описание
| Русское название | PAJ696Hu01 Поликлональное антитело к ABI1 (человек) <Cloud-Clone,Китай> |
| Каталожный номер | PAJ696Hu01 |
| Название антигена | Abl Interactor 1 (ABI1) |
| UNIPROT | Q8IZP0 |
| Иммуноген | RPJ696Hu01-Recombinant Abl Interactor 1 (ABI1) |
| Английские синонимы | ABI-1, E3B1, NAP1BP, SSH3BP1, Spectrin SH3 Domain Binding Protein 1, Abelson interactor 1, Abl-binding protein 4, Nap1-binding protein, Eps8 SH3 domain-binding protein |
Реактивность подтвержденная Нужна другая реактивность? |
человек |
| Реактивность предсказываемая | мышь, крыса, свинья |
| Источник (хозяин) | кролик |
| Клональность | поликлональное |
| Рекомбинантное | нет |
| Готовое к использованию | нет |
| Концентрация | 0.5 мг/мл |
| Конъюгат | По запросу: HRP, biotin, PerCP, PE, Cy3, FITC, Cy7, Cy5.5, PE-Cy5, PE-Cy7, PerCp-Cy5.5, APC, Cy5, PE-Cy3, PE-Cy5.5, APC-Cy7, Biotin-APC, FITC-Biotin, TRITC, APC-Cy5, AF488, AF594, AF405, AF555, AF700, AF647, AF750 |
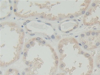
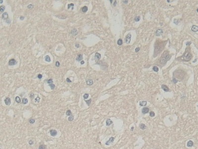
| Валидировано для | IHC WB Иммуногистохимия; Вестерн-блоттинг |
| Рекомендуемые разведения | WB: 0.01-3 мкг/мл; IHC: 5-30 мкг/мл; Оптимальное разведение определяется конечным потребителем |
| Метод очистки | Антигенспецифическая аффинная хроматография с последующей аффинной хроматографией с белком А |
| Состав буфера | 0.01M PBS, pH7.4, 0.05% Proclin-300, 50% глицерин |
| Условия доставки | термобокс с аккумуляторами холода |
| Условия хранения | Сразу после получения аликвотировать и хранить при -20ºС до 24 месяцев. Для частого использования хранить при +4ºС не более 2 недель. Избегать повторения циклов замерзания/оттаивания |
| Срок хранения | 24 месяца |
| Производитель | Cloud-Clone Corp. |
| Ссылка на страницу товара на сайте производителя | http://www.cloud-clone.com/products/PAJ696Hu01.html |
|
Артикул
|
Наименование |
Производитель
|
|---|
|
Артикул
|
Наименование |
Производитель
|
|---|
Акции и предложения
Популярные продукты:
Recombinant Human HER3/ErbB3 Protein (His Tag) (PKSH031766)
Источник (хозяин): HEK293
Организм: человек
Фрагмент: Met 1-Thr 643
Теги: C-His
Биоактивность: да
Организм: человек
Фрагмент: Met 1-Thr 643
Теги: C-His
Биоактивность: да
Recombinant Mouse DLL4 Protein (His Tag) (PKSM040570)
Источник (хозяин): HEK293
Организм: мышь
Фрагмент: Met 1-Pro 525
Теги: C-His
Биоактивность: да
Организм: мышь
Фрагмент: Met 1-Pro 525
Теги: C-His
Биоактивность: да
Anti-Human RABGEF1 Polyclonal Antibody (PHK57901)
Источник (хозяин): кролик
Реактивность подтвержденная: человек
Валидировано для: ELISA, IHC, WB
Реактивность подтвержденная: человек
Валидировано для: ELISA, IHC, WB
Anti-Mouse CD8a/Lyt2 Antibody (2.43), PE (FMB96012)
Источник (хозяин): крыса
Реактивность подтвержденная: мышь
Валидировано для: FCM
Реактивность подтвержденная: мышь
Валидировано для: FCM
ELISA Kit for Insulin Like Growth Factor 2 (IGF2) (RA051S-Mu)
Организм: мышь
Диапазон определения: 15.6-1000 пг/мл
Чувствительность: 6.0 пг/мл
Диапазон определения: 15.6-1000 пг/мл
Чувствительность: 6.0 пг/мл
Sheep Aquaporin-6(AQP6) ELISA kit (E14A1616)
Организм: овца

