Ваш браузер устарел и не обеспечивает полноценную и безопасную работу с сайтом. Пожалуйста обновите браузер чтобы улучшить взаимодействие с сайтом.
Мы обновили сайт, попробуйте новые функции в личном кабинете!

+7 (495) 798-02-48

Polyclonal Antibody to Acid Phosphatase 1 (ACP1) (PAA994Ra01)

Реактивность подтвержденная: крыса
Источник (хозяин): кролик
Валидировано для:
IHC
WB
8316
8316
Knockout Varification: ;Lane 1: Wild-type Hela cell lysate; ;Lane 2: ACP1 knockout Hela cell lysate; ;Predicted MW: 18kDa ;Observed MW: 17kDa ;Primary Ab: 1μg/ml Rabbit Anti-Rat ACP1 Antibody ;Second Ab: 0.2μg/mL HRP-Linked Caprine Anti-Rabbit IgG Polyclonal Antibody ;(Catalog: SAA544Rb19)
9677
9677
Western Blot; Sample: Rat Liver lysate; Primary Ab: 1μg/ml Rabbit Anti-Rat ACP1 Antibody Second Ab: 0.2μg/mL HRP-Linked Caprine Anti-Rabbit IgG Polyclonal Antibody (Catalog: SAA544Rb19)
13353
13353
Western Blot; Sample: Rat Kidney lysate; Primary Ab: 1μg/ml Rabbit Anti-Rat ACP1 Antibody Second Ab: 0.2μg/mL HRP-Linked Caprine Anti-Rabbit IgG Polyclonal Antibody (Catalog: SAA544Rb19)
13354
13354
Western Blot; Sample: Human Hela cell lysate; Primary Ab: 1μg/ml Rabbit Anti-Rat ACP1 Antibody Second Ab: 0.2μg/mL HRP-Linked Caprine Anti-Rabbit IgG Polyclonal Antibody (Catalog: SAA544Rb19)
21821
21821
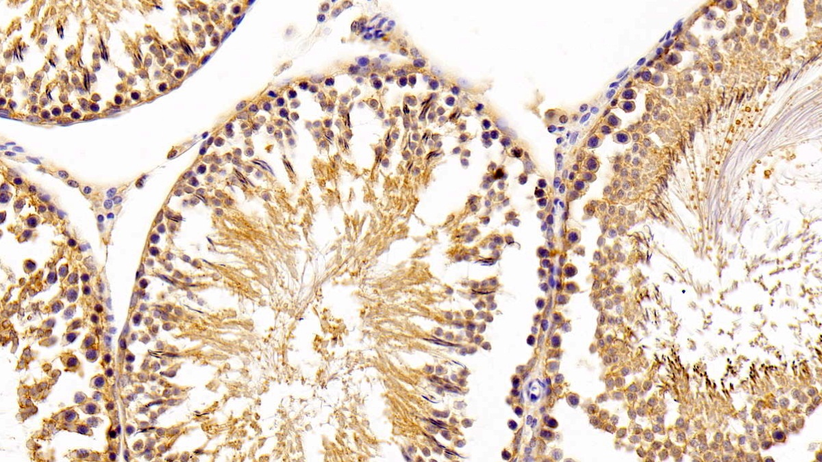
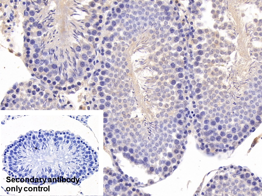
DAB staining on IHC-P; Samples: Rat Testis Tissue; Primary Ab: 10μg/ml Rabbit Anti-Rat ACP1 Antibody Second Ab: 2μg/mL HRP-Linked Caprine Anti-Rabbit IgG Polyclonal Antibody (Catalog: SAA544Rb19)
26014
26014
DAB staining on IHC-P; Sample: Rat Liver Tissue; Primary Ab: 10μg/ml Rabbit Anti-Rat ACP1 Antibody Second Ab: 2μg/mL HRP-Linked Caprine Anti-Rabbit IgG Polyclonal Antibody (Catalog: SAA544Rb19)
26015
26015
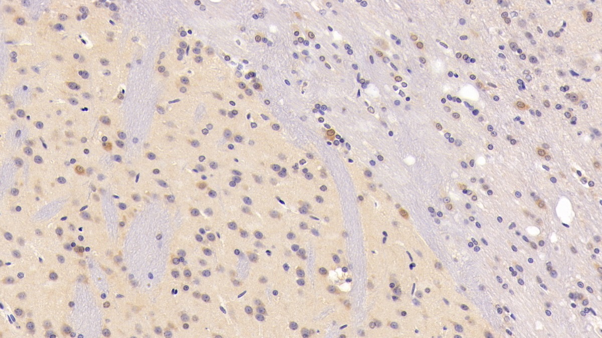
DAB staining on IHC-P; Sample: Rat Cerebrum Tissue; Primary Ab: 10μg/ml Rabbit Anti-Rat ACP1 Antibody Second Ab: 2μg/mL HRP-Linked Caprine Anti-Rabbit IgG Polyclonal Antibody (Catalog: SAA544Rb19)
26973
26973
FITC staining on IF; Sample: Human U2OS cell; Primary Ab: 30μg/ml Rabbit Anti-Rat ACP1 Antibody Second Ab: 2μg/ml FITC-Linked Caprine Anti-Rabbit IgG Polyclonal Antibody (Catalog: SAA544Rb18)
28982
28982
DAB staining on IHC-P; Sample: Rat Testis Tissue Primary Ab: 10μg/ml Rabbit Anti-Rat ACP1 Antibody Control: Used PBS instead of primary antibody Second Ab: 2μg/ml HRP-Linked Caprine Anti-Rabbit IgG Polyclonal Antibody (Catalog: SAA544Rb19)
28989
28989
DAB staining on IHC-P; Sample: Rat Liver Tissue Primary Ab: 10μg/ml Rabbit Anti-Rat ACP1 Antibody Control: Used PBS instead of primary antibody Second Ab: 2μg/ml HRP-Linked Caprine Anti-Rabbit IgG Polyclonal Antibody (Catalog: SAA544Rb19)
28994
28994
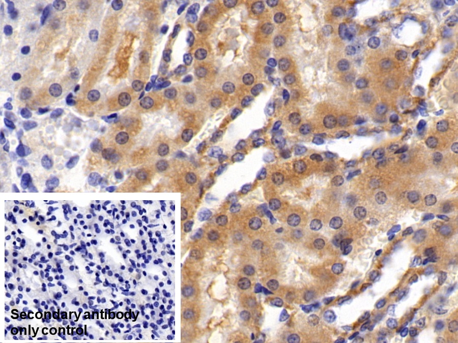
DAB staining on IHC-P; Sample: Rat Kidney Tissue Primary Ab: 10μg/ml Rabbit Anti-Rat ACP1 Antibody Control: Used PBS instead of primary antibody Second Ab: 2μg/ml HRP-Linked Caprine Anti-Rabbit IgG Polyclonal Antibody (Catalog: SAA544Rb19)
29122
29122
FITC staining on IF; Sample: U2OS cell Primary Ab: 30μg/ml Rabbit Anti-Rat ACP1 Antibody Second Ab: 2μg/ml FITC-Linked Caprine Anti-Rabbit IgG Polyclonal Antibody (Catalog: SAA544Rb11)
40009
40009
Figure. Western Blot; Sample: Recombinant ACP1, Rat.
8316
9677
13353
13354
21821
26014
26015
26973
28982
28989
28994
29122
40009
Ближайшая поставка
29.05.26
Характеристики
Техническое описание
Русское название PAA994Ra01 Поликлональное антитело к ACP1 (крыса) <Cloud-Clone,Китай>
Каталожный номер PAA994Ra01
Название антигена Acid Phosphatase 1 (ACP1)
UNIPROT P41498
Иммуноген RPA994Ra01-Recombinant Acid Phosphatase 1 (ACP1)
Английские синонимы HAAP, Low Molecular Weight Phosphotyrosine Protein Phosphatase, Adipocyte acid phosphatase, Red cell acid phosphatase 1, LMW-PTPase
Реактивность подтвержденная
Нужна другая реактивность?
крыса
Реактивность предсказываемая человек
Источник (хозяин) кролик
Клональность поликлональное
Рекомбинантное нет
Готовое к использованию нет
Концентрация 0.5 мг/мл
Конъюгат По запросу: HRP, biotin, PerCP, PE, Cy3, FITC, Cy7, Cy5.5, PE-Cy5, PE-Cy7, PerCp-Cy5.5, APC, Cy5, PE-Cy3, PE-Cy5.5, APC-Cy7, Biotin-APC, FITC-Biotin, TRITC, APC-Cy5, AF488, AF594, AF405, AF555, AF700, AF647, AF750
Валидировано для
IHC
WB
Иммуногистохимия; Вестерн-блоттинг
Рекомендуемые разведения WB: 0.5-2 мкг/мл; IHC: 5-20 мкг/мл; ICC: 5-20 мкг/мл; Оптимальное разведение определяется конечным потребителем
Метод очистки Антигенспецифическая аффинная хроматография с последующей аффинной хроматографией с белком А
Состав буфера 0.01M PBS, pH7.4, 0.05% Proclin-300, 50% глицерин
Условия доставки термобокс с аккумуляторами холода
Условия хранения Сразу после получения аликвотировать и хранить при -20ºС до 24 месяцев. Для частого использования хранить при +4ºС не более 2 недель. Избегать повторения циклов замерзания/оттаивания
Срок хранения 24 месяца
Производитель Cloud-Clone Corp.
Ссылка на страницу товара на сайте производителя http://www.cloud-clone.com/products/PAA994Ra01.html

Назначение

поликлональное антитело от производителя Cloud-Clone Corp. к Acid Phosphatase 1 (ACP1) источник — кролик предназначено для детекции целевого антигена в биологических образцах. Продукт характеризуется подтвержденной реактивностью к крыса.

Преимущества

  • Высокая специфичность и аффинность
  • Концентрация: 0.5 мг/мл
  • Оптимизированный состав буфера: 0.01M PBS, pH7.4, 0.05% Proclin-300, 50% глицерин
  • Стабильность: 24 месяца

Применение в исследованиях

Антитело валидировано для методов: IHC, WB. Подходит для научных исследований в области иммунологии, клеточной биологии и молекулярной диагностики.

Условия хранения

Срок годности: 24 месяца. Сразу после получения аликвотировать и хранить при -20ºС до 24 месяцев. Для частого использования хранить при +4ºС не более 2 недель. Избегать повторения циклов замерзания/оттаивания. Рекомендуется соблюдать температурный режим при транспортировке и хранении.
Артикул
Наименование
Производитель
Артикул
Наименование
Производитель
Артикул
Наименование
Производитель

С нами успешно сотрудничают:

Московский государственный университет им. Ломоносова
Московский государственный университет им. Ломоносова
Московский государственный университет им. Ломоносова
МФТИ
МФТИ
МФТИ
Центр вирусологии и биотехнологии „Вектор“
Центр вирусологии и биотехнологии „Вектор“
Центр вирусологии и биотехнологии „Вектор“
Институт физиологии имени Павлова
Институт физиологии имени Павлова
Институт физиологии имени Павлова
Сеченовский университет
Сеченовский университет
Сеченовский университет
Исследовательский центр им. Алмазова
Исследовательский центр им. Алмазова
Исследовательский центр им. Алмазова
BIOCAD
BIOCAD
BIOCAD
Университет Сириус
Университет Сириус
Университет Сириус
Р-Фарм
Р-Фарм
Р-Фарм
Сколтех
Сколтех
Сколтех
Курчатовский институт
Курчатовский институт
Курчатовский институт
ИБХ РАН
ИБХ РАН
ИБХ РАН
НИЦ эпидемиологии и микробиологии им. Н.Ф.Гамалеи
НИЦ эпидемиологии и микробиологии им. Н.Ф.Гамалеи
НИЦ эпидемиологии и микробиологии им. Н.Ф.Гамалеи
Томский НИМЦ
Томский НИМЦ
Томский НИМЦ
ФИЦ ВИЖ имени Л.К. Эрнста
ФИЦ ВИЖ имени Л.К. Эрнста
ФИЦ ВИЖ имени Л.К. Эрнста
Фонд "Наука - Детям"
Фонд "Наука - Детям"
Фонд "Наука - Детям"
Институт цитологии и генетики СО РАН
Институт цитологии и генетики СО РАН
Институт цитологии и генетики СО РАН
Генериум
Генериум
Генериум

Новости

0
0
0