| UNIPROT | P21399 |
| Иммуноген | RPJ683Hu02-Recombinant Aconitase 1 (ACO1) |
Polyclonal Antibody to Aconitase 1 (ACO1) (PAJ683Hu02)
Реактивность подтвержденная:
человек
Источник (хозяин):
кролик
Валидировано для:
FCM
IHC
WB
Характеристики
Техническое описание
| Русское название | PAJ683Hu02 Поликлональное антитело к ACO1 (человек) <Cloud-Clone,Китай> |
| Каталожный номер | PAJ683Hu02 |
| Название антигена | Aconitase 1 (ACO1) |
| UNIPROT | P21399 |
| Иммуноген | RPJ683Hu02-Recombinant Aconitase 1 (ACO1) |
| Английские синонимы | IREB1, IRP1, IREBP, Iron regulatory protein 1, Iron-responsive element-binding protein 1, Cytoplasmic aconitate hydratase, Citrate hydro-lyase, Ferritin repressor protein |
Реактивность подтвержденная Нужна другая реактивность? |
человек |
| Реактивность предсказываемая | мышь, крыса, свинья |
| Источник (хозяин) | кролик |
| Клональность | поликлональное |
| Рекомбинантное | нет |
| Готовое к использованию | нет |
| Концентрация | 500 мкг/мл |
| Конъюгат | По запросу: HRP, biotin, PerCP, PE, Cy3, FITC, Cy7, Cy5.5, PE-Cy5, PE-Cy7, PerCp-Cy5.5, APC, Cy5, PE-Cy3, PE-Cy5.5, APC-Cy7, Biotin-APC, FITC-Biotin, TRITC, APC-Cy5, AF488, AF594, AF405, AF555, AF700, AF647, AF750 |
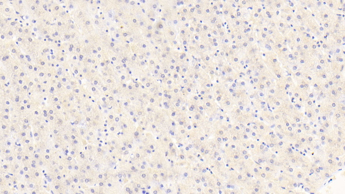
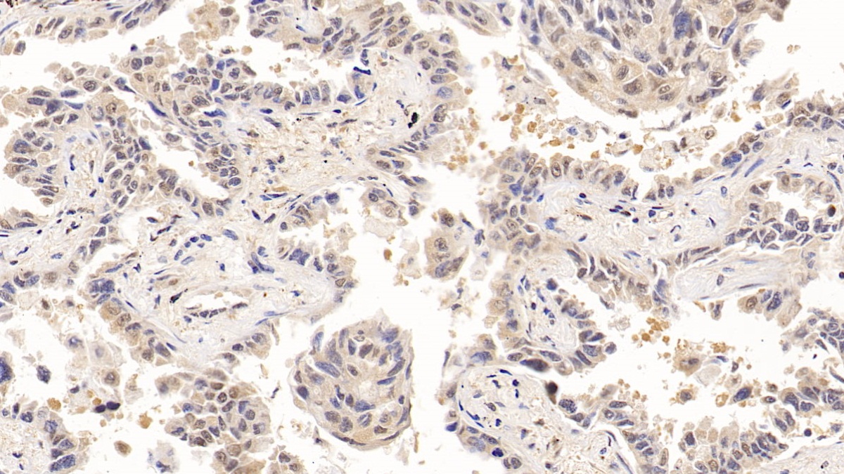
| Валидировано для | FCM IHC WB Проточная цитометрия; Иммуногистохимия; Вестерн-блоттинг |
| Рекомендуемые разведения | WB: 1-5 мкг/мл; ICC (фиксация формалином): 5-20 мкг/мл; IHC (замороженные срезы): 5-20 мкг/мл; IHC (парафиновые срезы): 5-20 мкг/мл; ELISA: 0.05-2 мкг/мл; FCM: 20 мкг/мл; Оптимальное разведение определяется конечным потребителем |
| Метод очистки | Антигенспецифическая аффинная хроматография с последующей аффинной хроматографией с белком А |
| Состав буфера | 0.01M PBS, pH7.4, 0.05% Proclin-300, 50% глицерин |
| Условия доставки | термобокс с аккумуляторами холода |
| Условия хранения | Сразу после получения аликвотировать и хранить при -20ºС до 24 месяцев. Для частого использования хранить при +4ºС не более 2 недель. Избегать повторения циклов замерзания/оттаивания |
| Срок хранения | 24 месяца |
| Производитель | Cloud-Clone Corp. |
| Ссылка на страницу товара на сайте производителя | http://www.cloud-clone.com/products/PAJ683Hu02.html |
|
Артикул
|
Наименование |
Производитель
|
|---|
|
Артикул
|
Наименование |
Производитель
|
|---|
|
Артикул
|
Наименование |
Производитель
|
|---|
|
Артикул
|
Наименование |
Производитель
|
|---|
|
Артикул
|
Наименование |
Производитель
|
|---|
Акции и предложения
Популярные продукты:
Porcine Cytokine receptor like factor 2(CRLF2) ELISA kit (E07C2072)
Организм: свинья
Goat F box only protein 32(FBXO32) ELISA kit (E06F0291)
Организм: коза
Guinea Pig Centrosomal protein of 70 kDa(CEP70) ELISA kit (E05C0957)
Организм: морская свинка
Goat Integrin β 6(ITGB6) ELISA kit (E06I0444)
Организм: коза
Mouse Transcription factor RelB(RELB) ELISA kit (E03T0640)
Организм: мышь

