| UNIPROT | P28271 |
| Иммуноген | RPJ683Mu01-Recombinant Aconitase 1 (ACO1) |
Polyclonal Antibody to Aconitase 1 (ACO1) (PAJ683Mu01)
Реактивность подтвержденная:
мышь
Источник (хозяин):
кролик
Валидировано для:
IHC
WB
Характеристики
Техническое описание
| Русское название | PAJ683Mu01 Поликлональное антитело к ACO1 (мышь) <Cloud-Clone,Китай> |
| Каталожный номер | PAJ683Mu01 |
| Название антигена | Aconitase 1 (ACO1) |
| UNIPROT | P28271 |
| Иммуноген | RPJ683Mu01-Recombinant Aconitase 1 (ACO1) |
| Английские синонимы | IREB1, IRP1, IREBP, Iron regulatory protein 1, Iron-responsive element-binding protein 1, Cytoplasmic aconitate hydratase, Citrate hydro-lyase, Ferritin repressor protein |
Реактивность подтвержденная Нужна другая реактивность? |
мышь |
| Реактивность предсказываемая | человек |
| Источник (хозяин) | кролик |
| Клональность | поликлональное |
| Рекомбинантное | нет |
| Готовое к использованию | нет |
| Концентрация | 500 мкг/мл |
| Конъюгат | По запросу: HRP, biotin, PerCP, PE, Cy3, FITC, Cy7, Cy5.5, PE-Cy5, PE-Cy7, PerCp-Cy5.5, APC, Cy5, PE-Cy3, PE-Cy5.5, APC-Cy7, Biotin-APC, FITC-Biotin, TRITC, APC-Cy5, AF488, AF594, AF405, AF555, AF700, AF647, AF750 |
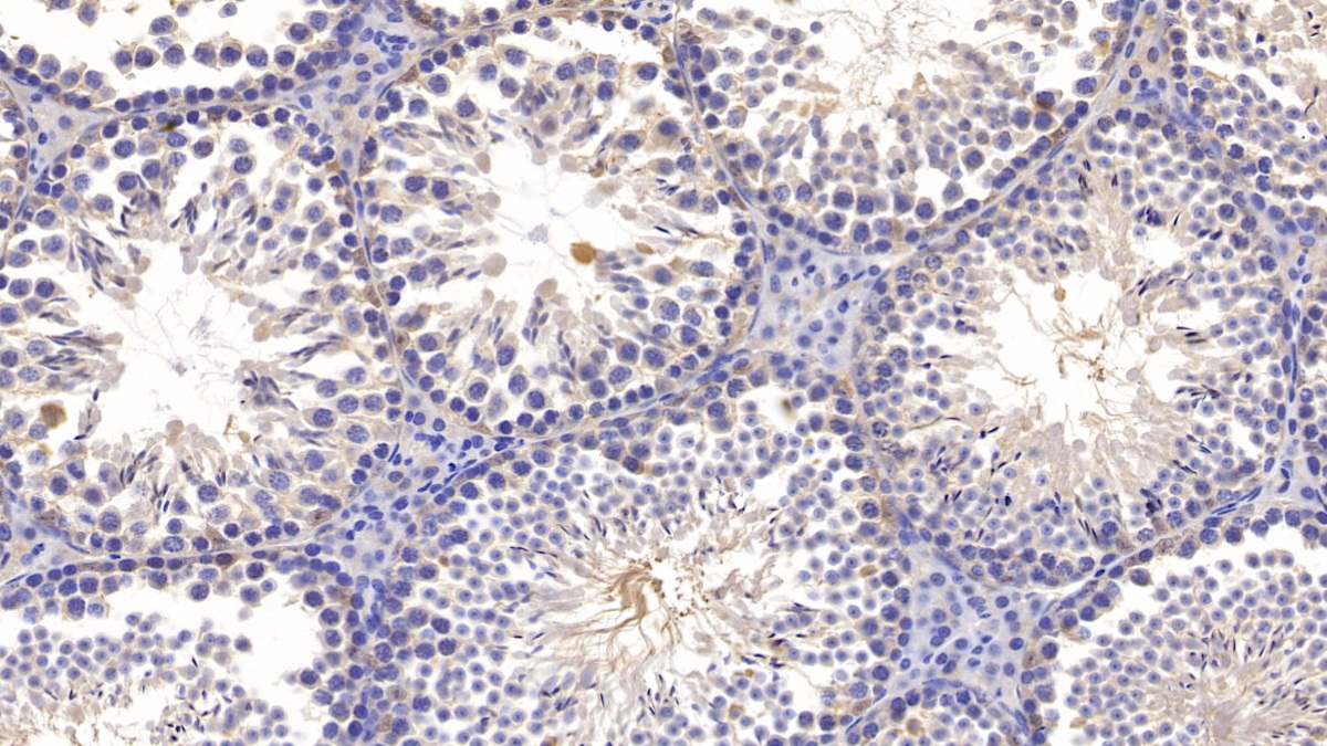
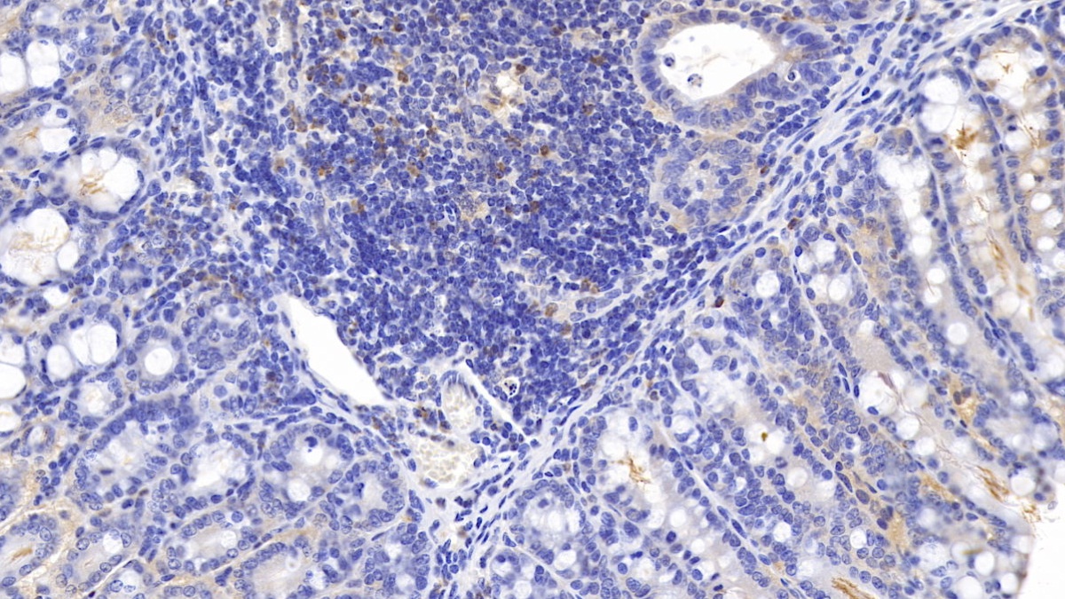
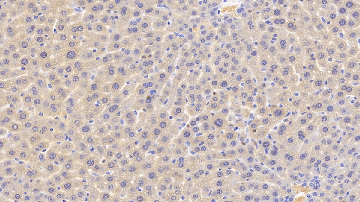
| Валидировано для | IHC WB Иммуногистохимия; Вестерн-блоттинг |
| Рекомендуемые разведения | WB: 0.2-2 мкг/мл; 1:250-2500; IHC: 5-20 мкг/мл; 1:25-100; ICC: 5-20 мкг/мл; 1:25-100; Оптимальное разведение определяется конечным потребителем |
| Метод очистки | Антигенспецифическая аффинная хроматография с последующей аффинной хроматографией с белком А |
| Состав буфера | 0.01M PBS, pH7.4, 0.05% Proclin-300, 50% глицерин |
| Условия доставки | термобокс с аккумуляторами холода |
| Условия хранения | Сразу после получения аликвотировать и хранить при -20ºС до 24 месяцев. Для частого использования хранить при +4ºС не более 2 недель. Избегать повторения циклов замерзания/оттаивания |
| Срок хранения | 24 месяца |
| Производитель | Cloud-Clone Corp. |
| Ссылка на страницу товара на сайте производителя | http://www.cloud-clone.com/products/PAJ683Mu01.html |
|
Артикул
|
Наименование |
Производитель
|
|---|
|
Артикул
|
Наименование |
Производитель
|
|---|
|
Артикул
|
Наименование |
Производитель
|
|---|
|
Артикул
|
Наименование |
Производитель
|
|---|
|
Артикул
|
Наименование |
Производитель
|
|---|
Акции и предложения
Популярные продукты:
Recombinant Human BMPR2 protein(His tag) (PDEH100771)
Источник (хозяин): E.coli
Организм: человек
Фрагмент: Ser27-Thr150
Теги: N-His
Биоактивность: нет
Организм: человек
Фрагмент: Ser27-Thr150
Теги: N-His
Биоактивность: нет
PAX3 Mouse Monoclonal Antibody (BF8598)
Источник (хозяин): мышь
Реактивность подтвержденная: человек, мышь, крыса
Валидировано для: WB
Реактивность подтвержденная: человек, мышь, крыса
Валидировано для: WB
FOXD2 Mouse Monoclonal Antibody (BF8848)
Источник (хозяин): мышь
Реактивность подтвержденная: человек, мышь, крыса
Валидировано для: WB
Реактивность подтвержденная: человек, мышь, крыса
Валидировано для: WB
InVivoMAb Anti-Human CD3 Antibody (UCHT1) (VHC27703)
Источник (хозяин): мышь
Реактивность подтвержденная: человек
Валидировано для: ELISA, FCM, NEUT
Реактивность подтвержденная: человек
Валидировано для: ELISA, FCM, NEUT
Anti-FHV-1/FeHV-1 gB/Envelope glycoprotein B Antibody (SAb2374) (RVV21301)
Источник (хозяин): мышь
Реактивность подтвержденная: вирусы
Валидировано для: ELISA
Реактивность подтвержденная: вирусы
Валидировано для: ELISA
ELISA Kit DIY Materials for Liver Receptor Homolog 1 (LRH1) (KSD965Hu01)
Организм: человек
Диапазон определения: 0.312-20 нг/мл
Чувствительность: 0.112 нг/мл
Диапазон определения: 0.312-20 нг/мл
Чувствительность: 0.112 нг/мл

