| UNIPROT | O43707 |
| Иммуноген | RPC223Hu01-Recombinant Actinin Alpha 4 (ACTN4) |
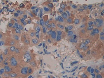
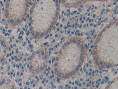
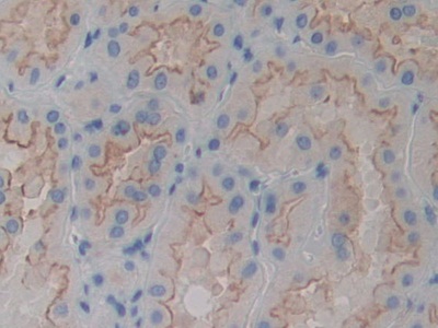
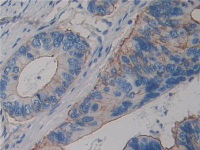
Polyclonal Antibody to Actinin Alpha 4 (ACTN4) (PAC223Hu01)
Реактивность подтвержденная:
человек
Источник (хозяин):
кролик
Валидировано для:
IHC
WB
Характеристики
Техническое описание
| Русское название | PAC223Hu01 Поликлональное антитело к ACTN4 (человек) <Cloud-Clone,Китай> |
| Каталожный номер | PAC223Hu01 |
| Название антигена | Actinin Alpha 4 (ACTN4) |
| UNIPROT | O43707 |
| Иммуноген | RPC223Hu01-Recombinant Actinin Alpha 4 (ACTN4) |
| Английские синонимы | FSGS, FSGS1, F-actin cross-linking protein, Non-muscle alpha-actinin 4 |
Реактивность подтвержденная Нужна другая реактивность? |
человек |
| Реактивность предсказываемая | свинья |
| Источник (хозяин) | кролик |
| Клональность | поликлональное |
| Рекомбинантное | нет |
| Готовое к использованию | нет |
| Концентрация | 0.5 мг/мл |
| Конъюгат | По запросу: HRP, biotin, PerCP, PE, Cy3, FITC, Cy7, Cy5.5, PE-Cy5, PE-Cy7, PerCp-Cy5.5, APC, Cy5, PE-Cy3, PE-Cy5.5, APC-Cy7, Biotin-APC, FITC-Biotin, TRITC, APC-Cy5, AF488, AF594, AF405, AF555, AF700, AF647, AF750 |
| Валидировано для | IHC WB Иммуногистохимия; Вестерн-блоттинг |
| Рекомендуемые разведения | WB: 0.01-3 мкг/мл; IHC: 5-20 мкг/мл; Оптимальное разведение определяется конечным потребителем |
| Метод очистки | Антигенспецифическая аффинная хроматография с последующей аффинной хроматографией с белком А |
| Состав буфера | 0.01M PBS, pH7.4, 0.05% Proclin-300, 50% глицерин |
| Условия доставки | термобокс с аккумуляторами холода |
| Условия хранения | Сразу после получения аликвотировать и хранить при -20ºС до 24 месяцев. Для частого использования хранить при +4ºС не более 2 недель. Избегать повторения циклов замерзания/оттаивания |
| Срок хранения | 24 месяца |
| Производитель | Cloud-Clone Corp. |
| Ссылка на страницу товара на сайте производителя | http://www.cloud-clone.com/products/PAC223Hu01.html |
|
Артикул
|
Наименование |
Производитель
|
|---|
|
Артикул
|
Наименование |
Производитель
|
|---|
Акции и предложения
Популярные продукты:
Polyclonal Antibody to Hypoxia Inducible Factor 1 Alpha (HIF1a) (PAA798Ga01)
Источник (хозяин): кролик
Реактивность подтвержденная: курица
Валидировано для: ICC, IHC, WB
Реактивность подтвержденная: курица
Валидировано для: ICC, IHC, WB
Anti-Neurofilament 3 (NEF3) Polyclonal Antibody (FAB326Hu03)
Источник (хозяин): кролик
Реактивность подтвержденная: человек
Валидировано для: FCM
Реактивность подтвержденная: человек
Валидировано для: FCM
Anti-Fibrinogen Like Protein 1 (FGL1) Polyclonal Antibody (FAD022Hu01)
Источник (хозяин): кролик
Реактивность подтвержденная: человек
Валидировано для: FCM
Реактивность подтвержденная: человек
Валидировано для: FCM
Anti-Laminin Gamma 2 (LAMC2) Polyclonal Antibody (FAC083Hu01)
Источник (хозяин): кролик
Реактивность подтвержденная: человек
Валидировано для: FCM
Реактивность подтвержденная: человек
Валидировано для: FCM
Anti-Coactosin Like Protein 1 (COTL1) Polyclonal Antibody (FAJ353Hu01)
Источник (хозяин): кролик
Реактивность подтвержденная: человек
Валидировано для: FCM
Реактивность подтвержденная: человек
Валидировано для: FCM

