| UNIPROT | O14561 |
| Иммуноген | RPA361Hu01-Recombinant Acyl Carrier Protein, Mitochondrial (ACP) |
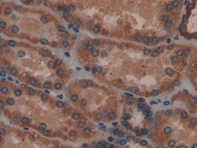
Polyclonal Antibody to Acyl Carrier Protein, Mitochondrial (ACP) (PAA361Hu01)
Реактивность подтвержденная:
человек
Источник (хозяин):
кролик
Валидировано для:
IHC
WB
Характеристики
Техническое описание
| Русское название | PAA361Hu01 Поликлональное антитело к ACP (человек) <Cloud-Clone,Китай> |
| Каталожный номер | PAA361Hu01 |
| Название антигена | Acyl Carrier Protein, Mitochondrial (ACP) |
| UNIPROT | O14561 |
| Иммуноген | RPA361Hu01-Recombinant Acyl Carrier Protein, Mitochondrial (ACP) |
| Английские синонимы | NDUFAB1, CI-SDAP, SDAP, FASN2A, NADH-Ubiquinone Oxidoreductase 9.6 kDa Subunit |
Реактивность подтвержденная Нужна другая реактивность? |
человек |
| Реактивность предсказываемая | мышь |
| Источник (хозяин) | кролик |
| Клональность | поликлональное |
| Рекомбинантное | нет |
| Готовое к использованию | нет |
| Концентрация | 0.5 мг/мл |
| Конъюгат | По запросу: HRP, biotin, PerCP, PE, Cy3, FITC, Cy7, Cy5.5, PE-Cy5, PE-Cy7, PerCp-Cy5.5, APC, Cy5, PE-Cy3, PE-Cy5.5, APC-Cy7, Biotin-APC, FITC-Biotin, TRITC, APC-Cy5, AF488, AF594, AF405, AF555, AF700, AF647, AF750 |
| Валидировано для | IHC WB Иммуногистохимия; Вестерн-блоттинг |
| Рекомендуемые разведения | WB: 0.01-2 мкг/мл; IHC: 5-20 мкг/мл; ICC: 5-20 мкг/мл; Оптимальное разведение определяется конечным потребителем |
| Метод очистки | Антигенспецифическая аффинная хроматография с последующей аффинной хроматографией с белком А |
| Состав буфера | PBS, pH7.4, 0.02% NaN3, 50% глицерин |
| Условия доставки | термобокс с аккумуляторами холода |
| Условия хранения | Сразу после получения аликвотировать и хранить при -20ºС до 24 месяцев. Для частого использования хранить при +4ºС не более 2 недель. Избегать повторения циклов замерзания/оттаивания |
| Срок хранения | 24 месяца |
| Производитель | Cloud-Clone Corp. |
| Ссылка на страницу товара на сайте производителя | http://www.cloud-clone.com/products/PAA361Hu01.html |
|
Артикул
|
Наименование |
Производитель
|
|---|
|
Артикул
|
Наименование |
Производитель
|
|---|
|
Артикул
|
Наименование |
Производитель
|
|---|
|
Артикул
|
Наименование |
Производитель
|
|---|
Акции и предложения
Популярные продукты:
Chicken CD59 glycoprotein(CD59) ELISA kit (E12C1490)
Организм: курица
Rabbit High Mobility Group box1 Protein ELISA kit (E04H0009)
Организм: кролик
Recombinant Human IMPA2 Protein, N-His (YHA28001)
Источник (хозяин): E.coli
Организм: человек
Фрагмент: Met1-Lys288
Теги: N-His
Биоактивность: нет
Организм: человек
Фрагмент: Met1-Lys288
Теги: N-His
Биоактивность: нет
Recombinant Carbonic Anhydrase IX (CA9) (RPD076Mu02)
Источник (хозяин): E.coli
Организм: мышь
Теги: N-концевой His-Tag
Биоактивность: нет
Организм: мышь
Теги: N-концевой His-Tag
Биоактивность: нет
Polyclonal Antibody to Acyl Carrier Protein, Mitochondrial (ACP) (PAA361Hu01)
Источник (хозяин): кролик
Реактивность подтвержденная: человек
Валидировано для: IHC, WB
Реактивность подтвержденная: человек
Валидировано для: IHC, WB
ELISA Kit for Laminin Gamma 1 (LAMC1) (SEC082Hu)
Организм: человек
Диапазон определения: 3.12-200 нг/мл
Чувствительность: 1.21 нг/мл
Диапазон определения: 3.12-200 нг/мл
Чувствительность: 1.21 нг/мл

