| UNIPROT | P28039 |
| Иммуноген | RPJ634Hu01-Recombinant Acyloxyacyl Hydrolase (AOAH) |
Polyclonal Antibody to Acyloxyacyl Hydrolase (AOAH) (PAJ634Hu01)
Реактивность подтвержденная:
человек
Источник (хозяин):
кролик
Валидировано для:
IHC
WB
Характеристики
Техническое описание
| Русское название | PAJ634Hu01 Поликлональное антитело к AOAH (человек) <Cloud-Clone,Китай> |
| Каталожный номер | PAJ634Hu01 |
| Название антигена | Acyloxyacyl Hydrolase (AOAH) |
| UNIPROT | P28039 |
| Иммуноген | RPJ634Hu01-Recombinant Acyloxyacyl Hydrolase (AOAH) |
Реактивность подтвержденная Нужна другая реактивность? |
человек |
| Реактивность предсказываемая | свинья |
| Источник (хозяин) | кролик |
| Клональность | поликлональное |
| Рекомбинантное | нет |
| Готовое к использованию | нет |
| Концентрация | 0.5 мг/мл |
| Конъюгат | По запросу: HRP, biotin, PerCP, PE, Cy3, FITC, Cy7, Cy5.5, PE-Cy5, PE-Cy7, PerCp-Cy5.5, APC, Cy5, PE-Cy3, PE-Cy5.5, APC-Cy7, Biotin-APC, FITC-Biotin, TRITC, APC-Cy5, AF488, AF594, AF405, AF555, AF700, AF647, AF750 |
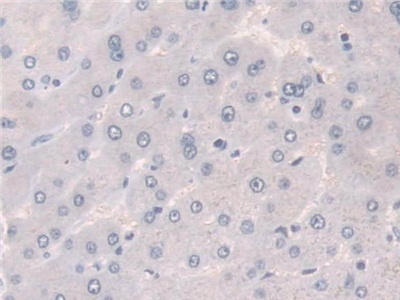
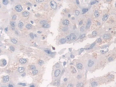
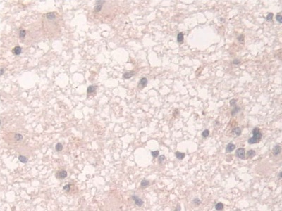
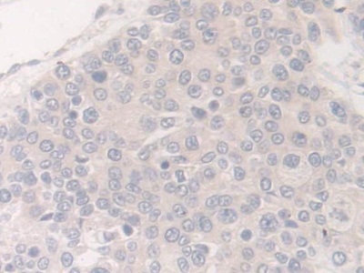
| Валидировано для | IHC WB Иммуногистохимия; Вестерн-блоттинг |
| Рекомендуемые разведения | WB: 0.01-3 мкг/мл; IHC: 5-30 мкг/мл; Оптимальное разведение определяется конечным потребителем |
| Метод очистки | Антигенспецифическая аффинная хроматография с последующей аффинной хроматографией с белком А |
| Состав буфера | 0.01M PBS, pH7.4, 0.05% Proclin-300, 50% глицерин |
| Условия доставки | термобокс с аккумуляторами холода |
| Условия хранения | Сразу после получения аликвотировать и хранить при -20ºС до 24 месяцев. Для частого использования хранить при +4ºС не более 2 недель. Избегать повторения циклов замерзания/оттаивания |
| Срок хранения | 24 месяца |
| Производитель | Cloud-Clone Corp. |
| Ссылка на страницу товара на сайте производителя | http://www.cloud-clone.com/products/PAJ634Hu01.html |
|
Артикул
|
Наименование |
Производитель
|
|---|
|
Артикул
|
Наименование |
Производитель
|
|---|
|
Артикул
|
Наименование |
Производитель
|
|---|
Акции и предложения
Популярные продукты:
Bovine Carbohyde sulfotransferase 3(CHST3) ELISA kit (E11C1710)
Организм: корова
Canine Acidic mammalian chitinase(CHIA) ELISA kit (E08A1812)
Организм: собака
Canine Iodotyrosine dehalogenase 1(IYD) ELISA kit (E08I0450)
Организм: собака
Porcine Kruppel Like Factor 16 ELISA kit (E07K0030)
Организм: свинья
Goat Hedgehog Homolog, Indian ELISA kit (E06I0020)
Организм: коза

