| UNIPROT | P23526 |
| Иммуноген | RPG465Hu01-Recombinant Adenosylhomocysteinase (AHCY) |
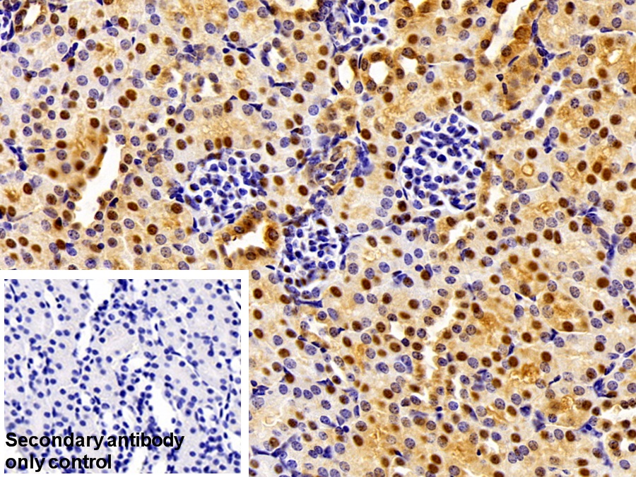
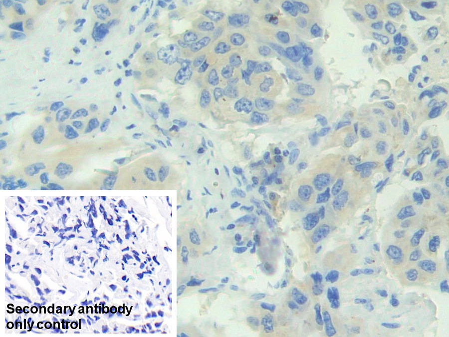
Polyclonal Antibody to Adenosylhomocysteinase (AHCY) (PAG465Hu01)
Реактивность подтвержденная:
человек
Источник (хозяин):
кролик
Валидировано для:
IHC
WB
Характеристики
Техническое описание
| Русское название | PAG465Hu01 Поликлональное антитело к AHCY (человек) <Cloud-Clone,Китай> |
| Каталожный номер | PAG465Hu01 |
| Название антигена | Adenosylhomocysteinase (AHCY) |
| UNIPROT | P23526 |
| Иммуноген | RPG465Hu01-Recombinant Adenosylhomocysteinase (AHCY) |
| Английские синонимы | SAHH, AdoHcyase, S-Adenosylhomocysteine Hydrolase, S-adenosyl-L-homocysteine hydrolase |
Реактивность подтвержденная Нужна другая реактивность? |
человек |
| Реактивность предсказываемая | мышь, крыса |
| Источник (хозяин) | кролик |
| Клональность | поликлональное |
| Рекомбинантное | нет |
| Готовое к использованию | нет |
| Концентрация | 500 мкг/мл |
| Конъюгат | По запросу: HRP, biotin, PerCP, PE, Cy3, FITC, Cy7, Cy5.5, PE-Cy5, PE-Cy7, PerCp-Cy5.5, APC, Cy5, PE-Cy3, PE-Cy5.5, APC-Cy7, Biotin-APC, FITC-Biotin, TRITC, APC-Cy5, AF488, AF594, AF405, AF555, AF700, AF647, AF750 |
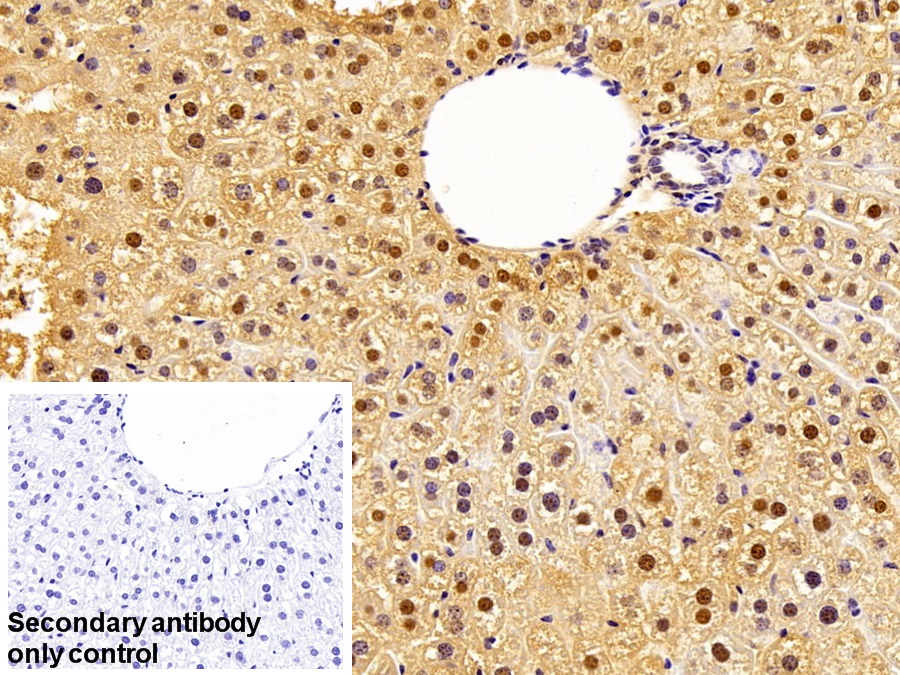
| Валидировано для | IHC WB Иммуногистохимия; Вестерн-блоттинг |
| Рекомендуемые разведения | WB: 0.2-2 мкг/мл; 1:250-2500; IHC: 5-20 мкг/мл; 1:25-100; ICC: 5-20 мкг/мл; 1:25-100; Оптимальное разведение определяется конечным потребителем |
| Метод очистки | Антигенспецифическая аффинная хроматография с последующей аффинной хроматографией с белком А |
| Состав буфера | 0.01M PBS, pH7.4, 0.05% Proclin-300, 50% глицерин |
| Условия доставки | термобокс с аккумуляторами холода |
| Условия хранения | Сразу после получения аликвотировать и хранить при -20ºС до 24 месяцев. Для частого использования хранить при +4ºС не более 2 недель. Избегать повторения циклов замерзания/оттаивания |
| Срок хранения | 24 месяца |
| Производитель | Cloud-Clone Corp. |
| Ссылка на страницу товара на сайте производителя | http://www.cloud-clone.com/products/PAG465Hu01.html |
|
Артикул
|
Наименование |
Производитель
|
|---|
|
Артикул
|
Наименование |
Производитель
|
|---|
Акции и предложения
Популярные продукты:
CLIA Kit for Fatty Acid Binding Protein 2, Intestinal (FABP2) (SCA559Hu)
Организм: человек
Диапазон определения: 13.7-10,000 пг/мл
Чувствительность: 0.118 нг/мл
Диапазон определения: 13.7-10,000 пг/мл
Чувствительность: 0.118 нг/мл
Guinea Pig Adenosyl homocysteinase(AHCY) ELISA kit (E05A1332)
Организм: морская свинка
Mouse Adenosyl homocysteinase(AHCY) ELISA kit (E03A1332)
Организм: мышь
Chicken Cadherin 23(CDH23) ELISA kit (E12C1543)
Организм: курица
Porcine Cadherin 23(CDH23) ELISA kit (E07C1543)
Организм: свинья
Goat Cadherin 23(CDH23) ELISA kit (E06C1543)
Организм: коза

