| UNIPROT | P29410 |
| Иммуноген | RPC290Ra01-Recombinant Adenylate Kinase 2 (AK2) |
Polyclonal Antibody to Adenylate Kinase 2 (AK2) (PAC290Ra01)
Реактивность подтвержденная:
крыса
Источник (хозяин):
кролик
Валидировано для:
IHC
WB
Характеристики
Техническое описание
| Русское название | PAC290Ra01 Поликлональное антитело к AK2 (крыса) <Cloud-Clone,Китай> |
| Каталожный номер | PAC290Ra01 |
| Название антигена | Adenylate Kinase 2 (AK2) |
| UNIPROT | P29410 |
| Иммуноген | RPC290Ra01-Recombinant Adenylate Kinase 2 (AK2) |
| Английские синонимы | ADK2, Adenylate monophosphate kinase, ATP-AMP transphosphorylase 2, AMP phosphotransferase |
Реактивность подтвержденная Нужна другая реактивность? |
крыса |
| Реактивность предсказываемая | человек, мышь |
| Источник (хозяин) | кролик |
| Клональность | поликлональное |
| Рекомбинантное | нет |
| Готовое к использованию | нет |
| Концентрация | 500 мкг/мл |
| Конъюгат | По запросу: HRP, biotin, PerCP, PE, Cy3, FITC, Cy7, Cy5.5, PE-Cy5, PE-Cy7, PerCp-Cy5.5, APC, Cy5, PE-Cy3, PE-Cy5.5, APC-Cy7, Biotin-APC, FITC-Biotin, TRITC, APC-Cy5, AF488, AF594, AF405, AF555, AF700, AF647, AF750 |
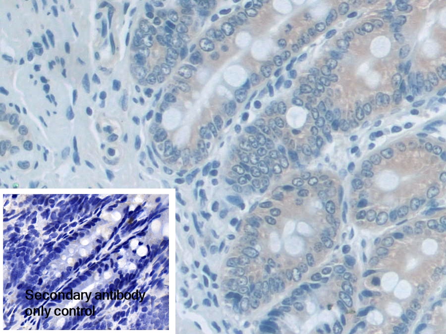
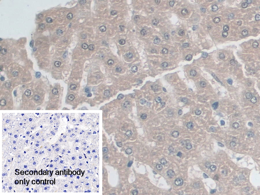
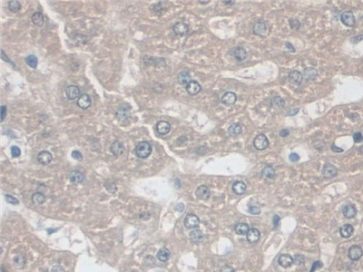
| Валидировано для | IHC WB Иммуногистохимия; Вестерн-блоттинг |
| Рекомендуемые разведения | WB: 0.5-2 мкг/мл; IHC: 5-20 мкг/мл; ICC: 5-20 мкг/мл; Оптимальное разведение определяется конечным потребителем |
| Метод очистки | Антигенспецифическая аффинная хроматография с последующей аффинной хроматографией с белком А |
| Состав буфера | 0.01M PBS, pH7.4, 0.05% Proclin-300, 50% глицерин |
| Условия доставки | термобокс с аккумуляторами холода |
| Условия хранения | Сразу после получения аликвотировать и хранить при -20ºС до 24 месяцев. Для частого использования хранить при +4ºС не более 2 недель. Избегать повторения циклов замерзания/оттаивания |
| Срок хранения | 24 месяца |
| Производитель | Cloud-Clone Corp. |
| Ссылка на страницу товара на сайте производителя | http://www.cloud-clone.com/products/PAC290Ra01.html |
|
Артикул
|
Наименование |
Производитель
|
|---|
|
Артикул
|
Наименование |
Производитель
|
|---|
|
Артикул
|
Наименование |
Производитель
|
|---|
Акции и предложения
Популярные продукты:
ELISA Kit DIY Materials for Interleukin 13 (IL13) (KSA060Po01)
Организм: свинья
Диапазон определения: 15.6-1000 пг/мл
Чувствительность: 6.3 пг/мл
Диапазон определения: 15.6-1000 пг/мл
Чувствительность: 6.3 пг/мл
Sheep Radixin(RDX) ELISA kit (E14R0401)
Организм: овца
Guinea Pig Endothelin 3(EDN3) ELISA kit (E05E0367)
Организм: морская свинка
Goat Engulfment And Cell Motility 2 ELISA kit (E06E0049)
Организм: коза
Sheep Alpha-taxilin(TXLNA) ELISA kit (E14A2018)
Организм: овца
Goat Dickkopf Related Protein 2 ELISA kit (E06D0163)
Организм: коза

