| UNIPROT | Q99541 |
| Иммуноген | RPB350Hu01-Recombinant Adipose Differentiation Related Protein (ADRP) |
Polyclonal Antibody to Adipose Differentiation Related Protein (ADRP) (PAB350Hu01)
Реактивность подтвержденная:
человек
Источник (хозяин):
кролик
Валидировано для:
IHC
WB
Характеристики
Техническое описание
| Русское название | PAB350Hu01 Поликлональное антитело к ADRP (человек) <Cloud-Clone,Китай> |
| Каталожный номер | PAB350Hu01 |
| Название антигена | Adipose Differentiation Related Protein (ADRP) |
| UNIPROT | Q99541 |
| Иммуноген | RPB350Hu01-Recombinant Adipose Differentiation Related Protein (ADRP) |
| Английские синонимы | PLIN2, ADFP, Adipophilin, Perilipin 2 |
Реактивность подтвержденная Нужна другая реактивность? |
человек |
| Реактивность предсказываемая | свинья |
| Источник (хозяин) | кролик |
| Клональность | поликлональное |
| Рекомбинантное | нет |
| Готовое к использованию | нет |
| Концентрация | 0.44 мг/мл |
| Конъюгат | По запросу: HRP, biotin, PerCP, PE, Cy3, FITC, Cy7, Cy5.5, PE-Cy5, PE-Cy7, PerCp-Cy5.5, APC, Cy5, PE-Cy3, PE-Cy5.5, APC-Cy7, Biotin-APC, FITC-Biotin, TRITC, APC-Cy5, AF488, AF594, AF405, AF555, AF700, AF647, AF750 |
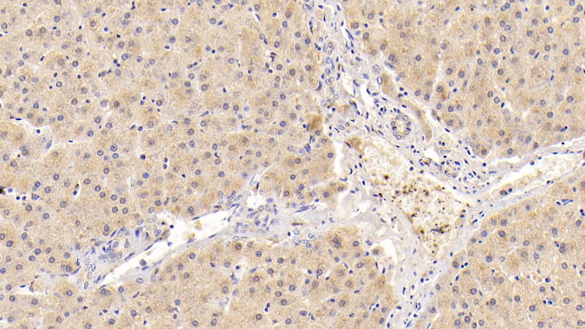
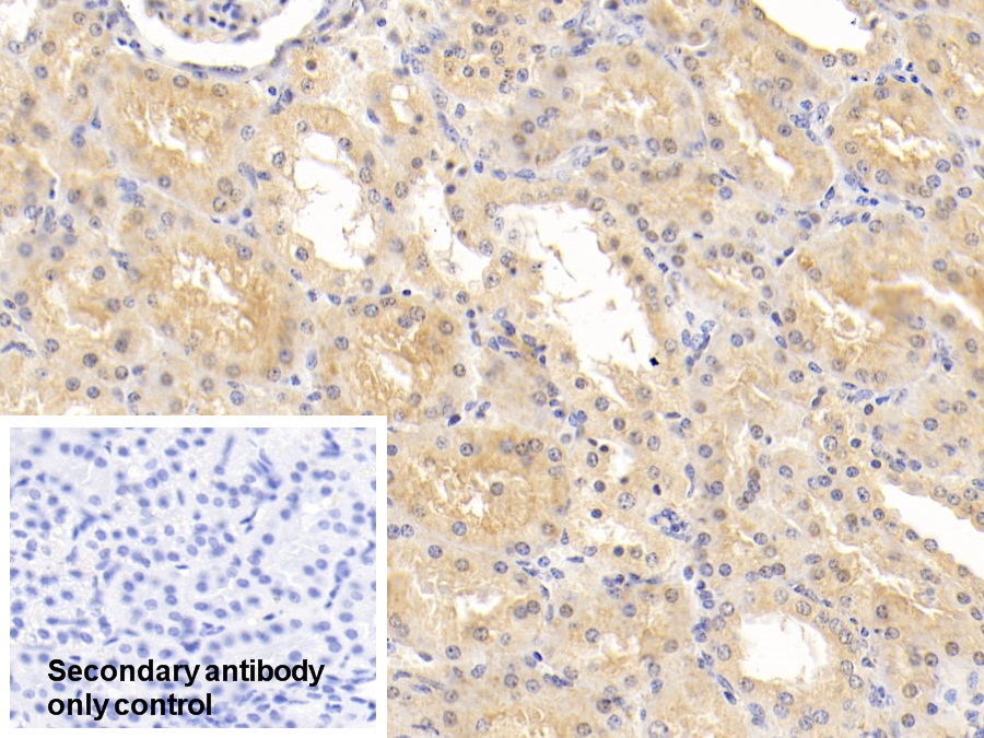
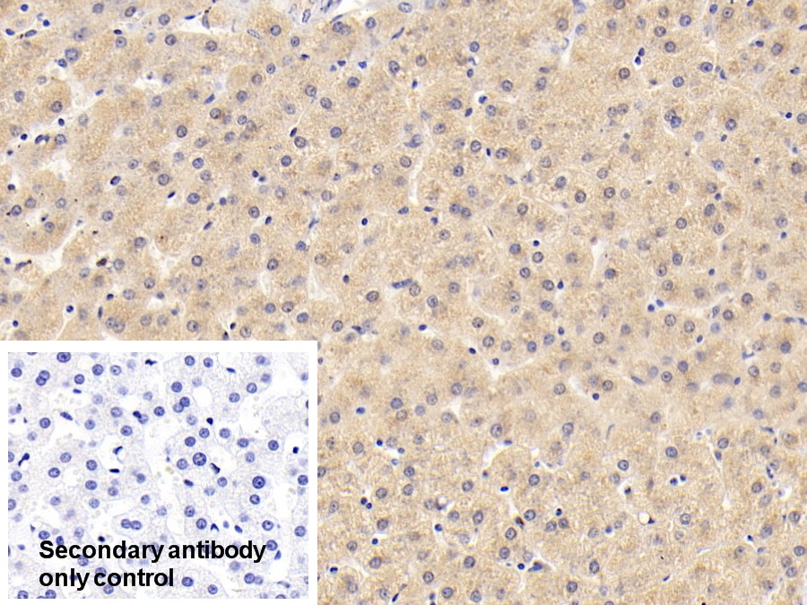
| Валидировано для | IHC WB Иммуногистохимия; Вестерн-блоттинг |
| Рекомендуемые разведения | WB: 0.01-2 мкг/мл; IHC: 5-30 мкг/мл; Оптимальное разведение определяется конечным потребителем |
| Метод очистки | Антигенспецифическая аффинная хроматография с последующей аффинной хроматографией с белком А |
| Состав буфера | PBS, pH7.4, 0.02% NaN3, 50% глицерин |
| Условия доставки | термобокс с аккумуляторами холода |
| Условия хранения | Сразу после получения аликвотировать и хранить при -20ºС до 24 месяцев. Для частого использования хранить при +4ºС не более 2 недель. Избегать повторения циклов замерзания/оттаивания |
| Срок хранения | 24 месяца |
| Производитель | Cloud-Clone Corp. |
| Ссылка на страницу товара на сайте производителя | http://www.cloud-clone.com/products/PAB350Hu01.html |
|
Артикул
|
Наименование |
Производитель
|
|---|
|
Артикул
|
Наименование |
Производитель
|
|---|
|
Артикул
|
Наименование |
Производитель
|
|---|
Акции и предложения
Популярные продукты:
Anti-HEV RdRp replicase Antibody (SAb2339) (RVV45702)
Источник (хозяин): человек
Реактивность подтвержденная: вирусы
Валидировано для: ELISA
Реактивность подтвержденная: вирусы
Валидировано для: ELISA
Anti-Chromodomain Helicase DNA Binding Protein 3 (CHD3) Polyclonal Antibody (FAA317Hu01)
Источник (хозяин): кролик
Реактивность подтвержденная: человек
Валидировано для: FCM
Реактивность подтвержденная: человек
Валидировано для: FCM
CLIA Kit for Survival Of Motor Neuron 2, Centromeric (SMN2) (SCD498Hu)
Организм: человек
Диапазон определения: 13.7-10,000 пг/мл
Чувствительность: 0.114 нг/мл
Диапазон определения: 13.7-10,000 пг/мл
Чувствительность: 0.114 нг/мл
Bovine Centrosomal protein of 55 kDa(CEP55) ELISA kit (E11C0953)
Организм: корова
Guinea Pig Atlastin 1(ATL1) ELISA kit (E05A1754)
Организм: морская свинка

