| UNIPROT | Q99541 |
| Иммуноген | RPB350Hu02-Recombinant Adipose Differentiation Related Protein (ADRP) |
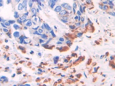
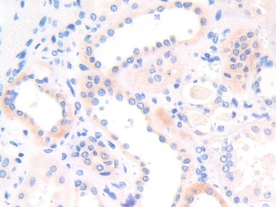
Polyclonal Antibody to Adipose Differentiation Related Protein (ADRP) (PAB350Hu02)
Реактивность подтвержденная:
человек
Источник (хозяин):
кролик
Валидировано для:
ICC
IHC
WB
Характеристики
Техническое описание
| Русское название | PAB350Hu02 Поликлональное антитело к ADRP (человек) <Cloud-Clone,Китай> |
| Каталожный номер | PAB350Hu02 |
| Название антигена | Adipose Differentiation Related Protein (ADRP) |
| UNIPROT | Q99541 |
| Иммуноген | RPB350Hu02-Recombinant Adipose Differentiation Related Protein (ADRP) |
| Английские синонимы | PLIN2, ADFP, Adipophilin, Perilipin 2 |
Реактивность подтвержденная Нужна другая реактивность? |
человек |
| Источник (хозяин) | кролик |
| Клональность | поликлональное |
| Рекомбинантное | нет |
| Готовое к использованию | нет |
| Концентрация | 0.5 мг/мл |
| Конъюгат | По запросу: HRP, biotin, PerCP, PE, Cy3, FITC, Cy7, Cy5.5, PE-Cy5, PE-Cy7, PerCp-Cy5.5, APC, Cy5, PE-Cy3, PE-Cy5.5, APC-Cy7, Biotin-APC, FITC-Biotin, TRITC, APC-Cy5, AF488, AF594, AF405, AF555, AF700, AF647, AF750 |
| Валидировано для | ICC IHC WB Иммуноцитохимия; Иммуногистохимия; Вестерн-блоттинг |
| Рекомендуемые разведения | WB: 0.5-2 мкг/мл; 1:500-2000; IHC: 5-20 мкг/мл; 1:50-200; ICC: 5-20 мкг/мл; 1:50-200; Оптимальное разведение определяется конечным потребителем |
| Метод очистки | Антигенспецифическая аффинная хроматография с последующей аффинной хроматографией с белком А |
| Состав буфера | PBS, pH7.4, 0.02% NaN3, 50% глицерин |
| Условия доставки | термобокс с аккумуляторами холода |
| Условия хранения | Сразу после получения аликвотировать и хранить при -20ºС до 24 месяцев. Для частого использования хранить при +4ºС не более 2 недель. Избегать повторения циклов замерзания/оттаивания |
| Срок хранения | 24 месяца |
| Производитель | Cloud-Clone Corp. |
| Ссылка на страницу товара на сайте производителя | http://www.cloud-clone.com/products/PAB350Hu02.html |
|
Артикул
|
Наименование |
Производитель
|
|---|
|
Артикул
|
Наименование |
Производитель
|
|---|
|
Артикул
|
Наименование |
Производитель
|
|---|
Акции и предложения
Популярные продукты:
Guinea Pig 5-Hydroxytryptophan ELISA kit (E05H1454)
Организм: морская свинка
Guinea Pig adrenomedullin 2 (ADM2) ELISA kit (E05A1275)
Организм: морская свинка
Rat Carbohyde sulfotransferase 8(CHST8) ELISA kit (E02C1715)
Организм: крыса
Chicken Succinate receptor 1 ELISA kit (E12S0856)
Организм: курица
Rabbit Secretogranin II ELISA kit (E04S0840)
Организм: кролик
Monkey Atlastin 1(ATL1) ELISA kit (E09A1754)
Организм: обезьяна

