| UNIPROT | P24298 |
| Иммуноген | RPA207Hu01-Recombinant Alanine Aminotransferase (ALT) |
Polyclonal Antibody to Alanine Aminotransferase (ALT) (PAA207Hu01)
Реактивность подтвержденная:
человек
Источник (хозяин):
кролик
Валидировано для:
IHC
WB
Характеристики
Техническое описание
| Русское название | PAA207Hu01 Поликлональное антитело к ALT (человек) <Cloud-Clone,Китай> |
| Каталожный номер | PAA207Hu01 |
| Название антигена | Alanine Aminotransferase (ALT) |
| UNIPROT | P24298 |
| Иммуноген | RPA207Hu01-Recombinant Alanine Aminotransferase (ALT) |
| Английские синонимы | GPT, ALAT, SGPT, AAT1, GPT1, Serum Glutamic Pyruvic Transaminase, Alanine Transaminase, Glutamate pyruvate transaminase 1, Glutamic--alanine transaminase 1 |
| Русские синонимы | АЛТ, АлАт |
Реактивность подтвержденная Нужна другая реактивность? |
человек |
| Реактивность предсказываемая | крыса |
| Источник (хозяин) | кролик |
| Клональность | поликлональное |
| Рекомбинантное | нет |
| Готовое к использованию | нет |
| Концентрация | 0.49 мг/мл |
| Конъюгат | По запросу: HRP, biotin, PerCP, PE, Cy3, FITC, Cy7, Cy5.5, PE-Cy5, PE-Cy7, PerCp-Cy5.5, APC, Cy5, PE-Cy3, PE-Cy5.5, APC-Cy7, Biotin-APC, FITC-Biotin, TRITC, APC-Cy5, AF488, AF594, AF405, AF555, AF700, AF647, AF750 |
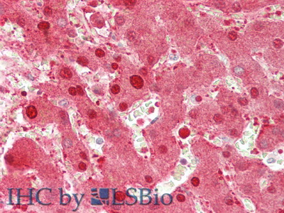
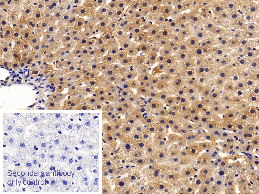
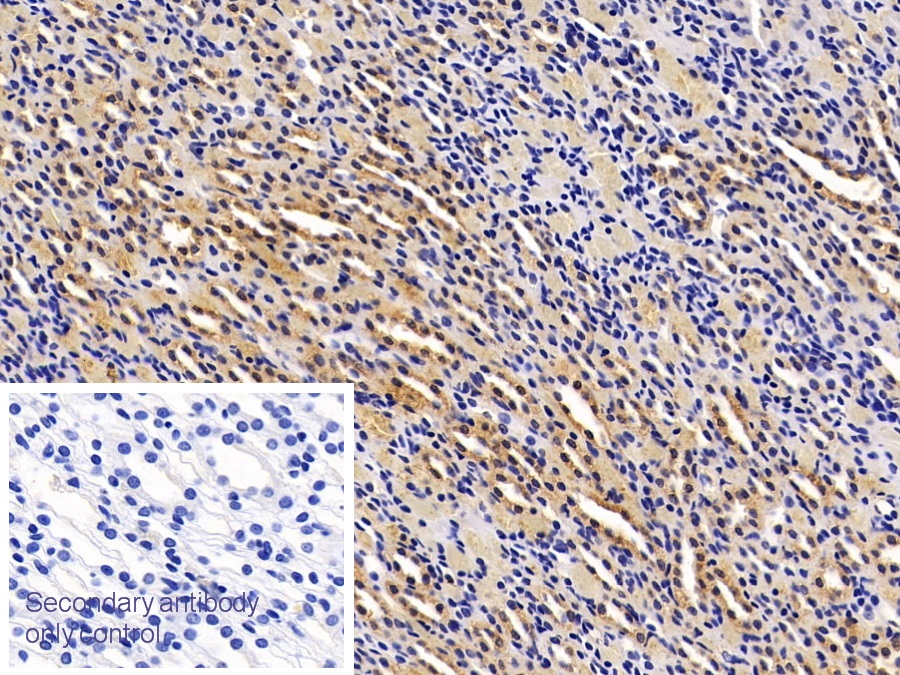
| Валидировано для | IHC WB Иммуногистохимия; Вестерн-блоттинг |
| Рекомендуемые разведения | WB: 0.01-2 мкг/мл; IHC: 5-20 мкг/мл; ICC: 5-20 мкг/мл; Оптимальное разведение определяется конечным потребителем |
| Метод очистки | Антигенспецифическая аффинная хроматография с последующей аффинной хроматографией с белком А |
| Состав буфера | PBS, pH7.4, 0.02% NaN3, 50% глицерин |
| Условия доставки | термобокс с аккумуляторами холода |
| Условия хранения | Сразу после получения аликвотировать и хранить при -20ºС до 24 месяцев. Для частого использования хранить при +4ºС не более 2 недель. Избегать повторения циклов замерзания/оттаивания |
| Срок хранения | 24 месяца |
| Производитель | Cloud-Clone Corp. |
| Ссылка на страницу товара на сайте производителя | http://www.cloud-clone.com/products/PAA207Hu01.html |
|
Артикул
|
Наименование |
Производитель
|
|---|
|
Артикул
|
Наименование |
Производитель
|
|---|
|
Артикул
|
Наименование |
Производитель
|
|---|
|
Артикул
|
Наименование |
Производитель
|
|---|
|
Артикул
|
Наименование |
Производитель
|
|---|
|
Артикул
|
Наименование |
Производитель
|
|---|
|
Артикул
|
Наименование |
Производитель
|
|---|
|
Артикул
|
Наименование |
Производитель
|
|---|
Акции и предложения
Популярные продукты:
Human Amylase Alpha 2,Pancreatic ELISA kit (E01A0475)
Организм: человек
Диапазон определения: 50-1000 пг/мл
Чувствительность: 0.1 нг/мл
Диапазон определения: 50-1000 пг/мл
Чувствительность: 0.1 нг/мл
Chicken Pancreatic Polypeptide ELISA kit (E12P0134)
Организм: курица
Goat Alanine Aminotransferase ELISA kit (E06A0388)
Организм: коза
Anti-AZT/Aztreonam Antibody (SAA0566) (RGK33201)
Источник (хозяин): человек
Реактивность подтвержденная: для всех
Валидировано для: ELISA
Реактивность подтвержденная: для всех
Валидировано для: ELISA
Recombinant Human RFWD3 Protein, N-His (YHK58401)
Источник (хозяин): E.coli
Организм: человек
Фрагмент: Gly430-Glu774
Теги: N-His
Биоактивность: нет
Организм: человек
Фрагмент: Gly430-Glu774
Теги: N-His
Биоактивность: нет
Recombinant Human MEF2C Protein, N-His-SUMO & C-Strep (YHG08701)
Источник (хозяин): E.coli
Организм: человек
Фрагмент: Arg10-Gly95
Теги: N-His-SUMO & C-Strep
Биоактивность: нет
Организм: человек
Фрагмент: Arg10-Gly95
Теги: N-His-SUMO & C-Strep
Биоактивность: нет

