| UNIPROT | P04075 |
| Иммуноген | RPA642Hu01-Recombinant Aldolase A, Fructose Bisphosphate (ALDOA) |
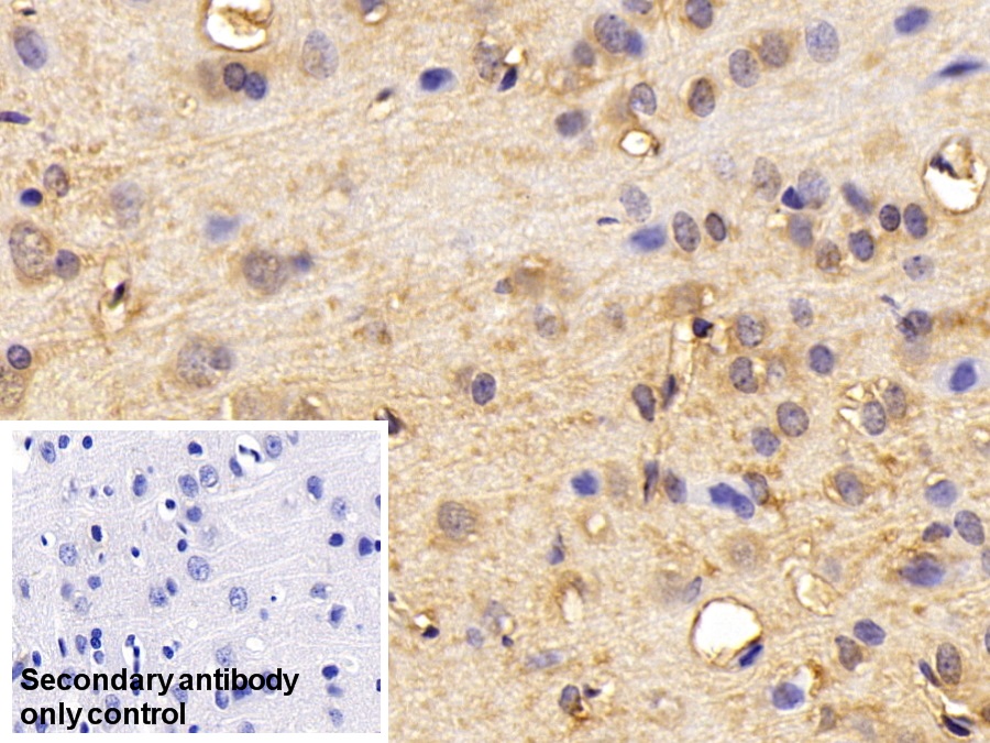
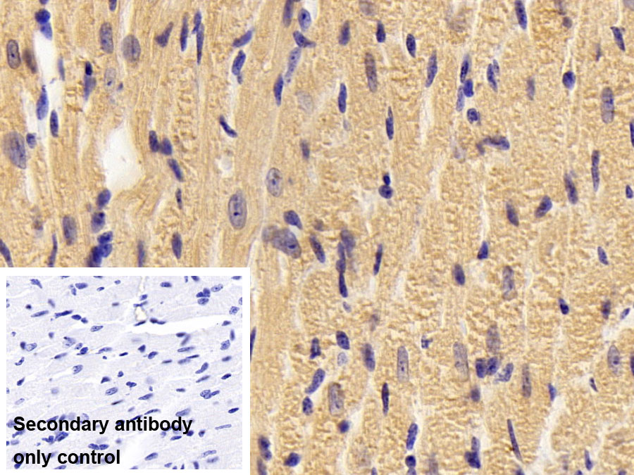
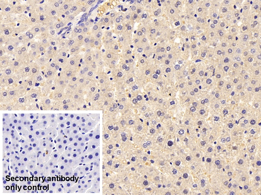
Polyclonal Antibody to Aldolase A, Fructose Bisphosphate (ALDOA) (PAA642Hu01)
Реактивность подтвержденная:
человек
Источник (хозяин):
кролик
Валидировано для:
FCM
IHC
WB
Характеристики
Техническое описание
| Русское название | PAA642Hu01 Поликлональное антитело к ALDOA (человек) <Cloud-Clone,Китай> |
| Каталожный номер | PAA642Hu01 |
| Название антигена | Aldolase A, Fructose Bisphosphate (ALDOA) |
| UNIPROT | P04075 |
| Иммуноген | RPA642Hu01-Recombinant Aldolase A, Fructose Bisphosphate (ALDOA) |
| Английские синонимы | FBA, ALDO-A, Fructose 1,6 Bisphosphate Aldolase, Lung cancer antigen NY-LU-1, Muscle-type aldolase |
Реактивность подтвержденная Нужна другая реактивность? |
человек |
| Реактивность предсказываемая | мышь, крыса |
| Источник (хозяин) | кролик |
| Клональность | поликлональное |
| Рекомбинантное | нет |
| Готовое к использованию | нет |
| Концентрация | 500 мкг/мл |
| Конъюгат | По запросу: HRP, biotin, PerCP, PE, Cy3, FITC, Cy7, Cy5.5, PE-Cy5, PE-Cy7, PerCp-Cy5.5, APC, Cy5, PE-Cy3, PE-Cy5.5, APC-Cy7, Biotin-APC, FITC-Biotin, TRITC, APC-Cy5, AF488, AF594, AF405, AF555, AF700, AF647, AF750 |
| Валидировано для | FCM IHC WB Проточная цитометрия; Иммуногистохимия; Вестерн-блоттинг |
| Рекомендуемые разведения | WB: 0.5-2 мкг/мл; IHC: 5-20 мкг/мл; ICC: 5-20 мкг/мл; Оптимальное разведение определяется конечным потребителем |
| Метод очистки | Антигенспецифическая аффинная хроматография с последующей аффинной хроматографией с белком А |
| Состав буфера | 0.01M PBS, pH7.4, 0.05% Proclin-300, 50% глицерин |
| Условия доставки | термобокс с аккумуляторами холода |
| Условия хранения | Сразу после получения аликвотировать и хранить при -20ºС до 24 месяцев. Для частого использования хранить при +4ºС не более 2 недель. Избегать повторения циклов замерзания/оттаивания |
| Срок хранения | 24 месяца |
| Производитель | Cloud-Clone Corp. |
| Ссылка на страницу товара на сайте производителя | http://www.cloud-clone.com/products/PAA642Hu01.html |
|
Артикул
|
Наименование |
Производитель
|
|---|
|
Артикул
|
Наименование |
Производитель
|
|---|
|
Артикул
|
Наименование |
Производитель
|
|---|
|
Артикул
|
Наименование |
Производитель
|
|---|
Акции и предложения
Популярные продукты:
Bovine Aldolase ELISA kit (E11A0212)
Организм: корова
Bovine Aldolase A, Fructose Bisphosphate ELISA kit (E11A0398)
Организм: корова
Canine Aldolase A, Fructose Bisphosphate ELISA kit (E08A0398)
Организм: собака
Monoclonal Antibody to Aldolase A, Fructose Bisphosphate (ALDOA) (MAA642Ra21)
Источник (хозяин): мышь
Реактивность подтвержденная: крыса
Валидировано для: ICC, IHC, IP, WB
Реактивность подтвержденная: крыса
Валидировано для: ICC, IHC, IP, WB
Polyclonal Antibody to Aldolase A, Fructose Bisphosphate (ALDOA) (PAA642Ra01)
Источник (хозяин): кролик
Реактивность подтвержденная: крыса
Валидировано для: ICC, IHC, WB
Реактивность подтвержденная: крыса
Валидировано для: ICC, IHC, WB
Anti-Staphylococcus aureus lukF-PV Antibody (Fs0350) (RXX09801)
Источник (хозяин): человек
Реактивность подтвержденная: бактерии
Валидировано для: ELISA, FCM, NEUT
Реактивность подтвержденная: бактерии
Валидировано для: ELISA, FCM, NEUT

