| UNIPROT | P05062 |
| Иммуноген | RPD319Hu01-Recombinant Aldolase B, Fructose Bisphosphate (ALDOB) |
Polyclonal Antibody to Aldolase B, Fructose Bisphosphate (ALDOB) (PAD319Hu01)
Реактивность подтвержденная:
человек
Источник (хозяин):
кролик
Валидировано для:
IHC
Характеристики
Техническое описание
| Русское название | PAD319Hu01 Поликлональное антитело к ALDOB (человек) <Cloud-Clone,Китай> |
| Каталожный номер | PAD319Hu01 |
| Название антигена | Aldolase B, Fructose Bisphosphate (ALDOB) |
| UNIPROT | P05062 |
| Иммуноген | RPD319Hu01-Recombinant Aldolase B, Fructose Bisphosphate (ALDOB) |
| Английские синонимы | ALDO-BL, Liver-type aldolase |
Реактивность подтвержденная Нужна другая реактивность? |
человек |
| Реактивность предсказываемая | крыса |
| Источник (хозяин) | кролик |
| Клональность | поликлональное |
| Рекомбинантное | нет |
| Готовое к использованию | нет |
| Концентрация | 500 мкг/мл |
| Конъюгат | По запросу: HRP, biotin, PerCP, PE, Cy3, FITC, Cy7, Cy5.5, PE-Cy5, PE-Cy7, PerCp-Cy5.5, APC, Cy5, PE-Cy3, PE-Cy5.5, APC-Cy7, Biotin-APC, FITC-Biotin, TRITC, APC-Cy5, AF488, AF594, AF405, AF555, AF700, AF647, AF750 |
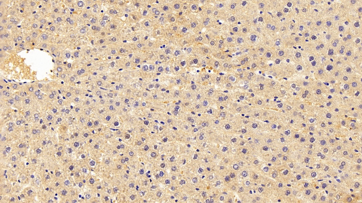
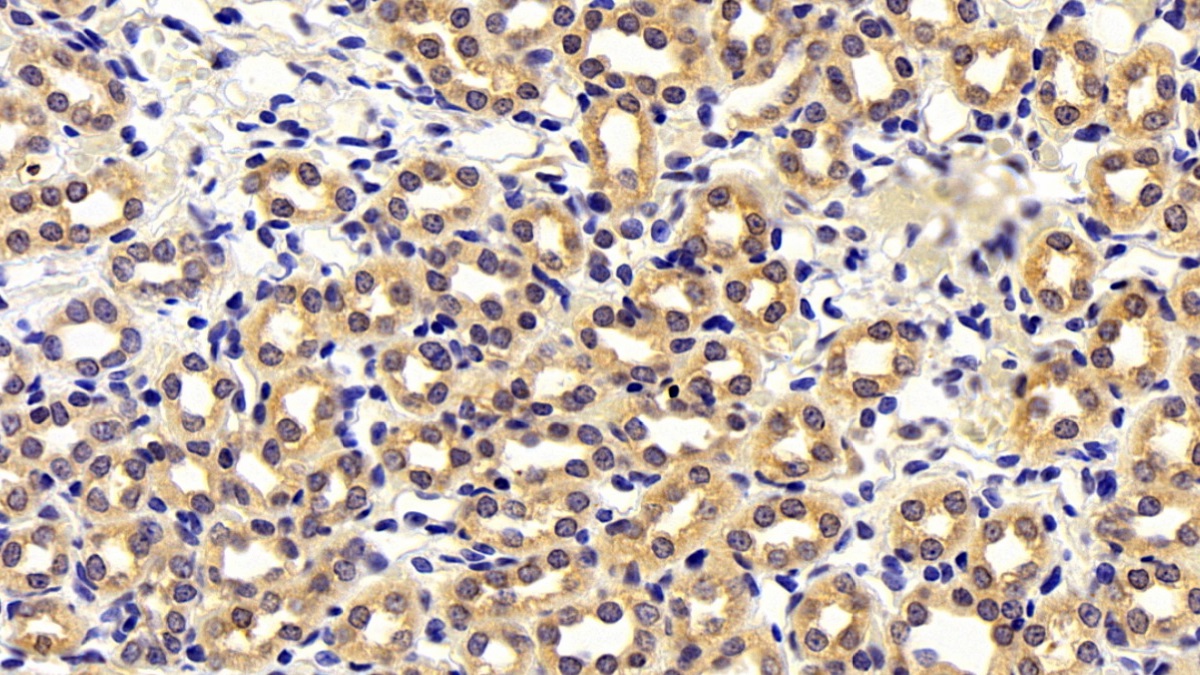
| Валидировано для | IHC Иммуногистохимия |
| Рекомендуемые разведения | WB: 0.2-2 мкг/мл; 1:250-2500; IHC: 5-20 мкг/мл; 1:25-100; ICC: 5-20 мкг/мл; 1:25-100; Оптимальное разведение определяется конечным потребителем |
| Метод очистки | Антигенспецифическая аффинная хроматография с последующей аффинной хроматографией с белком А |
| Состав буфера | 0.01M PBS, pH7.4, 0.05% Proclin-300, 50% глицерин |
| Условия доставки | термобокс с аккумуляторами холода |
| Условия хранения | Сразу после получения аликвотировать и хранить при -20ºС до 24 месяцев. Для частого использования хранить при +4ºС не более 2 недель. Избегать повторения циклов замерзания/оттаивания |
| Срок хранения | 24 месяца |
| Производитель | Cloud-Clone Corp. |
| Ссылка на страницу товара на сайте производителя | http://www.cloud-clone.com/products/PAD319Hu01.html |
|
Артикул
|
Наименование |
Производитель
|
|---|
|
Артикул
|
Наименование |
Производитель
|
|---|
|
Артикул
|
Наименование |
Производитель
|
|---|
Акции и предложения
Популярные продукты:
EFNB1/2 Mouse Monoclonal Antibody (BF8156)
Источник (хозяин): мышь
Реактивность подтвержденная: человек, мышь, крыса, обезьяна
Валидировано для: WB
Реактивность подтвержденная: человек, мышь, крыса, обезьяна
Валидировано для: WB
Chicken Amino terminal enhancer of split(AES) ELISA kit (E12A1297)
Организм: курица
Goat Protein capicua homolog ELISA kit (E06C1725)
Организм: коза
Human Galactoside 2 Alpha L fucosyltransferase 1(FUT1) ELISA kit (E01G0409)
Организм: человек
Диапазон определения: 0.5-10 нг/мл
Чувствительность: 0.1 нг/мл
Диапазон определения: 0.5-10 нг/мл
Чувствительность: 0.1 нг/мл
Bovine alpha-L-fucosidase,AFU ELISA Kit (E11A1860)
Организм: корова
Rabbit Leukotriene A4 Hydrolase (LTA4H) ELISA kit (E04L0040)
Организм: кролик

