| UNIPROT | P05186 |
| Иммуноген | RPB091Hu01-Recombinant Alkaline Phosphatase, Tissue-nonspecific (ALPL) |
Polyclonal Antibody to Alkaline Phosphatase, Tissue-nonspecific (ALPL) (PAB091Hu01)
Реактивность подтвержденная:
человек
Источник (хозяин):
кролик
Валидировано для:
IHC
WB
Характеристики
Техническое описание
| Русское название | PAB091Hu01 Поликлональное антитело к ALPL (человек) <Cloud-Clone,Китай> |
| Каталожный номер | PAB091Hu01 |
| Название антигена | Alkaline Phosphatase, Liver/Bone/Kidney (ALPL) |
| UNIPROT | P05186 |
| Иммуноген | RPB091Hu01-Recombinant Alkaline Phosphatase, Tissue-nonspecific (ALPL) |
| Английские синонимы | BALP, BSAP, HOPS, AP-TNAP, TNSALP, Bone Alkaline Phosphatase, Alkaline Phosphatase,Tissue-Nonspecific Isozyme |
| Русские синонимы | Неспецифическая щелочная фосфатаза |
Реактивность подтвержденная Нужна другая реактивность? |
человек |
| Реактивность предсказываемая | мышь, крыса, свинья |
| Источник (хозяин) | кролик |
| Клональность | поликлональное |
| Рекомбинантное | нет |
| Готовое к использованию | нет |
| Концентрация | 0.5 мг/мл |
| Конъюгат | По запросу: HRP, biotin, PerCP, PE, Cy3, FITC, Cy7, Cy5.5, PE-Cy5, PE-Cy7, PerCp-Cy5.5, APC, Cy5, PE-Cy3, PE-Cy5.5, APC-Cy7, Biotin-APC, FITC-Biotin, TRITC, APC-Cy5, AF488, AF594, AF405, AF555, AF700, AF647, AF750 |
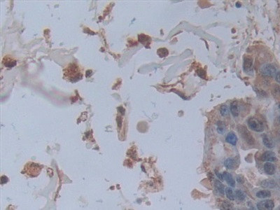
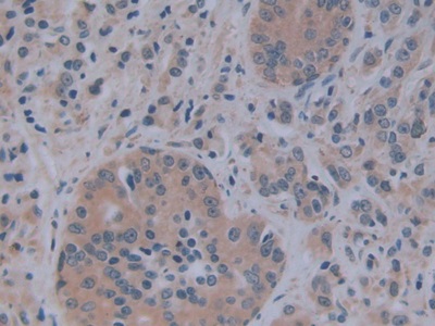
| Валидировано для | IHC WB Иммуногистохимия; Вестерн-блоттинг |
| Рекомендуемые разведения | WB: 0.01-3 мкг/мл; IHC: 5-20 мкг/мл; ICC: 5-20 мкг/мл; Оптимальное разведение определяется конечным потребителем |
| Метод очистки | Антигенспецифическая аффинная хроматография с последующей аффинной хроматографией с белком А |
| Состав буфера | 0.01M PBS, pH7.4, 0.05% Proclin-300, 50% глицерин |
| Условия доставки | термобокс с аккумуляторами холода |
| Условия хранения | Сразу после получения аликвотировать и хранить при -20ºС до 24 месяцев. Для частого использования хранить при +4ºС не более 2 недель. Избегать повторения циклов замерзания/оттаивания |
| Срок хранения | 24 месяца |
| Производитель | Cloud-Clone Corp. |
| Ссылка на страницу товара на сайте производителя | http://www.cloud-clone.com/products/PAB091Hu01.html |
|
Артикул
|
Наименование |
Производитель
|
|---|
|
Артикул
|
Наименование |
Производитель
|
|---|
|
Артикул
|
Наименование |
Производитель
|
|---|
|
Артикул
|
Наименование |
Производитель
|
|---|
|
Артикул
|
Наименование |
Производитель
|
|---|
|
Артикул
|
Наименование |
Производитель
|
|---|
|
Артикул
|
Наименование |
Производитель
|
|---|
|
Артикул
|
Наименование |
Производитель
|
|---|
Акции и предложения
Популярные продукты:
ELISA Kit DIY Materials for Wingless Type MMTV Integration Site Family, Member 5B (WNT5B) (KSP122Hu01)
Организм: человек
Диапазон определения: 1.56-100 нг/мл
Чувствительность: 0.56 нг/мл
Диапазон определения: 1.56-100 нг/мл
Чувствительность: 0.56 нг/мл
ELISA Kit DIY Materials for Alpha-Fetoprotein (AFP) (KSA153Ra01)
Организм: крыса
Диапазон определения: 0.312-20 нг/мл
Чувствительность: 0.114 нг/мл
Диапазон определения: 0.312-20 нг/мл
Чувствительность: 0.114 нг/мл
Bovine Alpha methylacyl CoA racemase(AMACR) ELISA kit (E11A1414)
Организм: корова
Rabbit Protein capicua homolog ELISA kit (E04C1725)
Организм: кролик
Guinea Pig Heparan sulfate glucosamine 3 O sulfotransferase 2(HS3ST2) ELISA kit (E05H0363)
Организм: морская свинка
Human pregnancy specific glycoprotein 9 ELISA kit (E01P1062)
Организм: человек

